Tanjug
live Bella
  • najnovije
  • Vesti
    • Srbija
    • Beograd
    • Politika
    • Hronika
    • Region
    • Svet
  • VREME
  • Bella
  • Zdravlje
  • Ekonomija
    • Čuvarkuća
    • Biznis
    • Banke
  • Sport
    • Fudbal
    • Košarka
    • EP U VATERPOLU 2026
    • Tenis
    • Ostali sportovi
    • Time Out
    • EUROBASKET 2025
    • Olimpijske igre
  • Showbizz
    • Prvi Red
    • Balkan
    • Celebrity
    • Display
    • Svet
    • KATEDRA ZA ŠOU-BIZNIS
    • EVROVIZIJA 2026
  • Priče
    • Reportaža
    • Green World
    • Sudbine
    • Avantura
    • STAV
  • Fun Box
    • Misterije
    • ZANIMLJIVOSTI
    • Nećete verovati
    • Putovanja
    • Tehnologija
    • Automobili
  • Kultura i umetnost
    • Muzika
    • Knjige
    • Art
    • Pozorište
    • Film/Serija
    • MOJA TELEVIZIJA

Pratite nas

facebook link icon instagram link icon youtube link icon
  • Najnovije
  • vremenska prognoza
  • Vaterpolo
  • vesti
  • Aleksandar Vučić
  • Crvena zvezda
  • Partizan
  • penzije
  • sport
  • K1 tv program
  • Tanjug tv program
K1TV Live Tanjug Live
dr Spasoje Popević
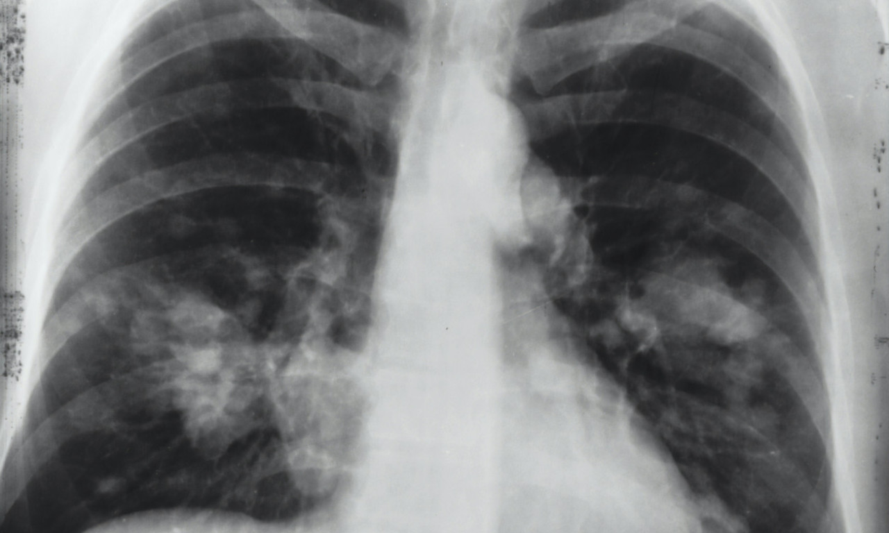
ALARMANTNI PODACI U SRBIJI! Od RAKA PLUĆA oboli 7.000 SRBA godišnje, što nas stavlja na drugo mesto u Evropi
facebook

ALARMANTNI PODACI U SRBIJI! Od RAKA PLUĆA oboli 7.000 SRBA godišnje, što nas stavlja na drugo mesto u Evropi

Podatak koji ohrabruje je da se posle pojave prvih simptoma većina pacijenata odmah obrati lekaru

26.04.2024

Srbija
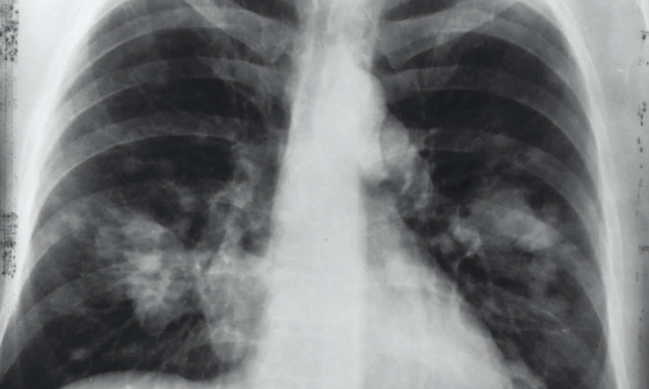
CRNA STATISTIKA: 70% obolelih RAK PLUĆA otkrije tek kad su ŠANSE ZA IZLEČENJE MINIMALNE, ovo je NAJVEĆI PROBLEM
facebook

CRNA STATISTIKA: 70% obolelih RAK PLUĆA otkrije tek kad su ŠANSE ZA IZLEČENJE MINIMALNE, ovo je NAJVEĆI PROBLEM

Doktor je objasnio koje metode lečenja postoje u Srbiji i na koji način se određuje da li će pacijent biti podvrgnut inovativnom lečenju

14.12.2023

Srbija
najnovije

POŽAR NA PALILULI: Vatrena stihija kod Cvijićeve, vatrogasci na terenu

Vesti
POŽAR NA PALILULI: Vatrena stihija kod Cvijićeve, vatrogasci na terenu

REVOLUCIJA NA BEOGRADSKOM MARATONU: Trči se dva dana, start na Trgu Republike i navijačka stanica iz Čikaga!

Vesti
REVOLUCIJA NA BEOGRADSKOM MARATONU: Trči se dva dana, start na Trgu Republike i navijačka stanica iz Čikaga!

VIŠE LJUDI POVREĐENO, DETE (13) NASTRADALO: Autobus probio ogradu i završio u porodičnoj kući

Vesti
VIŠE LJUDI POVREĐENO, DETE (13) NASTRADALO: Autobus probio ogradu i završio u porodičnoj kući

ZANEMELI POSLE REKORDNE ZAPLENE MARIHUANE KOD KRUŠEVCA Detalji sa saslušanja, ovako je funkcionisala šema šverca

Vesti
ZANEMELI POSLE REKORDNE ZAPLENE MARIHUANE KOD KRUŠEVCA Detalji sa saslušanja, ovako je funkcionisala šema šverca

ŠTA OVO RADE AMERI? Jokić se vratio na teren, a novinari u studiju odmah ustali i opleli srpsko kolo! Snimak o kom bruji planeta

Sport
ŠTA OVO RADE AMERI? Jokić se vratio na teren, a novinari u studiju odmah ustali i opleli srpsko kolo! Snimak o kom bruji planeta
najčitanije
POZNATO KO JE VLASNIK RUŠEVINE U DŽORDŽA VAŠINGTONA! Pao deo napuštene kuće i skele (VIDEO/FOTO)
facebook

POZNATO KO JE VLASNIK RUŠEVINE U DŽORDŽA VAŠINGTONA! Pao deo napuštene kuće i skele (VIDEO/FOTO)

pre 6 sati

Hronika
ĐOKOVIĆ OTKRIO ZA KOGA SU REČI: "NEŠTO STE REKLI?" Evo zašto je baš ovo ispisao na kameri posle pobede (FOTO)
facebook

ĐOKOVIĆ OTKRIO ZA KOGA SU REČI: "NEŠTO STE REKLI?" Evo zašto je baš ovo ispisao na kameri posle pobede (FOTO)

pre 13 sati

Tenis
SVI „DIVLJAJU“, NJEMU IDU SUZE: Ko je čovek koji je plakao u loži dok je Novak slavio istoriju? (VIDEO)
facebook

SVI „DIVLJAJU“, NJEMU IDU SUZE: Ko je čovek koji je plakao u loži dok je Novak slavio istoriju? (VIDEO)

pre 4 sata

Tenis
KOLIKO KOŠTAJU ULAZNICE ZA MEČ ĐOKOVIĆ - ALKARAZ? Pašće vam vilice... Navijač tvrdi da je sve zbog Srbina (FOTO)
facebook

KOLIKO KOŠTAJU ULAZNICE ZA MEČ ĐOKOVIĆ - ALKARAZ? Pašće vam vilice... Navijač tvrdi da je sve zbog Srbina (FOTO)

pre 11 sati

Tenis
ZEMLJOTRES U SRBIJI Zatresla se planina!
facebook

ZEMLJOTRES U SRBIJI Zatresla se planina!

pre 12 sati

Srbija
vremenska prognoza

Beograd

Mestimično oblačno

icon

4°C

Min temp: 4 °C

Max temp: 7 °C

Vetar: 2 m/s

Vlažnost: 88 %

Novi Sad

Mestimično oblačno

icon

4°C

Min temp: 4 °C

Max temp: 5 °C

Vetar: 2 m/s

Vlažnost: 96 %

Niš

Mestimično oblačno

icon

5°C

Min temp: 5 °C

Max temp: 8 °C

Vetar: 3 m/s

Vlažnost: 81 %

Vesti
POŽAR NA PALILULI: Vatrena stihija kod Cvijićeve, vatrogasci na terenu
facebook

POŽAR NA PALILULI: Vatrena stihija kod Cvijićeve, vatrogasci na terenu

pre 5 minuta

Hronika
REVOLUCIJA NA BEOGRADSKOM MARATONU: Trči se dva dana, start na Trgu Republike i navijačka stanica iz Čikaga!
facebook

REVOLUCIJA NA BEOGRADSKOM MARATONU: Trči se dva dana, start na Trgu Republike i navijačka stanica iz Čikaga!

pre 7 minuta

Beograd
VIŠE LJUDI POVREĐENO, DETE (13) NASTRADALO: Autobus probio ogradu i završio u porodičnoj kući
facebook

VIŠE LJUDI POVREĐENO, DETE (13) NASTRADALO: Autobus probio ogradu i završio u porodičnoj kući

pre 8 minuta

Svet
ZANEMELI POSLE REKORDNE ZAPLENE MARIHUANE KOD KRUŠEVCA Detalji sa saslušanja, ovako je funkcionisala šema šverca
facebook

ZANEMELI POSLE REKORDNE ZAPLENE MARIHUANE KOD KRUŠEVCA Detalji sa saslušanja, ovako je funkcionisala šema šverca

pre 36 minuta

Hronika
PORUKA ZA STRADALOG MATEA RASPLAKALA SRBIJU Drugari iz osnovne škole neutešni nakon tragedije na vodopadu Tupavica
facebook

PORUKA ZA STRADALOG MATEA RASPLAKALA SRBIJU Drugari iz osnovne škole neutešni nakon tragedije na vodopadu Tupavica

27.08.2025

video
KAKO SE PRAVILNO PRIČEŠĆUJE? Evo šta poručuje veroučiteljka pred završetak Gospojinskog posta!
facebook

KAKO SE PRAVILNO PRIČEŠĆUJE? Evo šta poručuje veroučiteljka pred završetak Gospojinskog posta!

Mnogi nakon pričešća odmah napuste hram, a ima i onih koji u crkvu dolaze samo da se pričeste i odu.

27.08.2025

VERA I TRADICIJA
RODITELJI, STIGLE PARE Sjajne vesti za žitelje ovog srpskog grada, treba vam samo lična karta da ih podignete
facebook

RODITELJI, STIGLE PARE Sjajne vesti za žitelje ovog srpskog grada, treba vam samo lična karta da ih podignete

27.08.2025

Čuvarkuća
EVO KOGA MRZE SVE OBOŽAVATELJKE ALKARAZA Španac otkrio ko ga je ošišao na nularicu
facebook

EVO KOGA MRZE SVE OBOŽAVATELJKE ALKARAZA Španac otkrio ko ga je ošišao na nularicu

27.08.2025

Tenis
DRASTIČNA PROMENA KOJU JE UVELA UEFA Stari način žreba ide u istoriju, od sada sve digitalno
facebook

DRASTIČNA PROMENA KOJU JE UVELA UEFA Stari način žreba ide u istoriju, od sada sve digitalno

27.08.2025

Fudbal
POŽAR U VRTIĆU NA VOŽDOVCU Deca i zaposleni evakuisani
facebook

POŽAR U VRTIĆU NA VOŽDOVCU Deca i zaposleni evakuisani

27.08.2025

Hronika
SINIŠA MALI ZA ROĐENDAN DOBIO NAJNOVIJI MODEL NIKE PATIKA Evo koliko koštaju i zašto su posebne (VIDEO)
facebook

SINIŠA MALI ZA ROĐENDAN DOBIO NAJNOVIJI MODEL NIKE PATIKA Evo koliko koštaju i zašto su posebne (VIDEO)

27.08.2025

Lepota/Moda
EVO KOGA MATIĆ DOVODI U JEDINSTVO Prvi čovek kluba sa Uba dovodi sina legendarnog napadača Čelsija
facebook

EVO KOGA MATIĆ DOVODI U JEDINSTVO Prvi čovek kluba sa Uba dovodi sina legendarnog napadača Čelsija

27.08.2025

Fudbal
POSLE 50 GODINA OTKRIVEN AUTO IZ SNOVA U STAROJ GARAŽI Da li znate za model Lamborghini Miura SV?
facebook

POSLE 50 GODINA OTKRIVEN AUTO IZ SNOVA U STAROJ GARAŽI Da li znate za model Lamborghini Miura SV?

27.08.2025

Automobili
ŠTA OBUĆI NA SVADBU U SEPTEMBRU ZA MANJE OD 5.000 DINARA Ove haljine oduzimaju dah, a ne probijaju budžet (FOTO)
facebook

ŠTA OBUĆI NA SVADBU U SEPTEMBRU ZA MANJE OD 5.000 DINARA Ove haljine oduzimaju dah, a ne probijaju budžet (FOTO)

27.08.2025

Lepota/Moda
VREME
SRBIJA NA UDARU METEOROLOŠKE VRTEŠKE: Ristić i Čubrilo otkrili šta nas čeka – od sutrašnjeg snega do prolećnog otopljenja, a evo šta stiže 12. februara!
facebook

SRBIJA NA UDARU METEOROLOŠKE VRTEŠKE: Ristić i Čubrilo otkrili šta nas čeka – od sutrašnjeg snega do prolećnog otopljenja, a evo šta stiže 12. februara!

pre 4 sata

Vesti
U NIŽIM PREDELIMA MOGUĆA KIŠA U 3 REGIONA Tokom dana prijatno toplo, vetar u pojačanju ali uspećete da prošetate
facebook

U NIŽIM PREDELIMA MOGUĆA KIŠA U 3 REGIONA Tokom dana prijatno toplo, vetar u pojačanju ali uspećete da prošetate

pre 16 sati

Vesti
SNEG U OVOM DELU SRBIJE NE PRESTAJE DA VEJE! Prizori su nestvarni, zima se ne predaje – a RHMZ najavljuje još gori scenario! (VIDEO)
facebook

SNEG U OVOM DELU SRBIJE NE PRESTAJE DA VEJE! Prizori su nestvarni, zima se ne predaje – a RHMZ najavljuje još gori scenario! (VIDEO)

30.01.2026

Vesti
NEDELJKO TODOROVIĆ DAO NAJTAČNIJU PROGNOZU Da li nas očekuje ledena oluja u Srbiji?
facebook

NEDELJKO TODOROVIĆ DAO NAJTAČNIJU PROGNOZU Da li nas očekuje ledena oluja u Srbiji?

30.01.2026

Vesti
TOPLIJE SE OBUCITE NEGO JUČE Biće vetra i kratkotrajne kiše, na planinama će se zabeleti
facebook

TOPLIJE SE OBUCITE NEGO JUČE Biće vetra i kratkotrajne kiše, na planinama će se zabeleti

30.01.2026

Vesti
ATLANTIK "ZAKLJUČAO" ZIMU? Od 17 stepeni do ledene košave i mraza – ovo su ključni datumi u februaru!
facebook

ATLANTIK "ZAKLJUČAO" ZIMU? Od 17 stepeni do ledene košave i mraza – ovo su ključni datumi u februaru!

29.01.2026

Vesti
ZANEMELI POSLE REKORDNE ZAPLENE MARIHUANE KOD KRUŠEVCA Detalji sa saslušanja, ovako je funkcionisala šema šverca
facebook

ZANEMELI POSLE REKORDNE ZAPLENE MARIHUANE KOD KRUŠEVCA Detalji sa saslušanja, ovako je funkcionisala šema šverca

pre 36 minuta

foto
ARHITEKTA ZA K1INFO O URUŠAVANJU ZGRADE U DŽORDŽA VAŠINGTONA: Evo gde se desila greška, da li oštećeni građani imaju pravo da tuže?
facebook

ARHITEKTA ZA K1INFO O URUŠAVANJU ZGRADE U DŽORDŽA VAŠINGTONA: Evo gde se desila greška, da li oštećeni građani imaju pravo da tuže?

pre 1 sat

Hronika
ČAUŠIĆ O KATASTROFI NA DORĆOLU: Srušila se napuštena zgrada, strahovalo se od žrtava – evo šta su zatekli spasioci!
facebook

ČAUŠIĆ O KATASTROFI NA DORĆOLU: Srušila se napuštena zgrada, strahovalo se od žrtava – evo šta su zatekli spasioci!

pre 5 sati

Hronika
POZNATO KO JE VLASNIK RUŠEVINE U DŽORDŽA VAŠINGTONA! Pao deo napuštene kuće i skele (VIDEO/FOTO)
facebook

POZNATO KO JE VLASNIK RUŠEVINE U DŽORDŽA VAŠINGTONA! Pao deo napuštene kuće i skele (VIDEO/FOTO)

pre 6 sati

Hronika
OTKRIVENO DA LI IMA POVREĐENIH U DŽORDŽA VAŠINGTONA! Pao deo napuštene kuće i skele, ovo su najnoviji detalji (FOTO)
facebook

OTKRIVENO DA LI IMA POVREĐENIH U DŽORDŽA VAŠINGTONA! Pao deo napuštene kuće i skele, ovo su najnoviji detalji (FOTO)

pre 7 sati

Hronika
CELA ULICA POD NAPONOM, SKELA PALA NA TRAMVAJSKU ŽICU Pogledajte prvi snimak ruševine u ulici Džordža Vašingtona (VIDEO)
facebook

CELA ULICA POD NAPONOM, SKELA PALA NA TRAMVAJSKU ŽICU Pogledajte prvi snimak ruševine u ulici Džordža Vašingtona (VIDEO)

pre 7 sati

Hronika
KO JE BORIS NIKOLIĆ KOJI SE POMINJE U EPSTINOVIM DOKUMENTIMA? Isplivale privatne poruke - šokiraće vas (FOTO)
facebook

KO JE BORIS NIKOLIĆ KOJI SE POMINJE U EPSTINOVIM DOKUMENTIMA? Isplivale privatne poruke - šokiraće vas (FOTO)

pre 8 sati

Svet
JEDNA EMOTIVNA SCENA - MORE OŠTRIH REAKCIJA Šta film "Melanija" zapravo pokazuje – a šta nam prećutkuje (FOTO+VIDEO)
facebook

JEDNA EMOTIVNA SCENA - MORE OŠTRIH REAKCIJA Šta film "Melanija" zapravo pokazuje – a šta nam prećutkuje (FOTO+VIDEO)

pre 10 sati

Film/Serija
BRITANCI STALI UZ EKSPO 2027! Potpisan veoma važan sporazum, a evo šta to donosi Srbiji (FOTO)
facebook

BRITANCI STALI UZ EKSPO 2027! Potpisan veoma važan sporazum, a evo šta to donosi Srbiji (FOTO)

pre 10 sati

Biznis
KAKVO JE STANJE NA GRANICAMA NAKON BLOKADE TERETNJAKA Kamere prikazuju identičnu situaciju na svim prelazima (FOTO)
facebook

KAKVO JE STANJE NA GRANICAMA NAKON BLOKADE TERETNJAKA Kamere prikazuju identičnu situaciju na svim prelazima (FOTO)

pre 12 sati

Srbija
HILJADE LJUDI NA ULICAMA ŠIROM AMERIKE PROTIV FEDERALNIH SLUŽBI U štrajku i studenti, došao Brus Springstin (FOTO+VIDEO)
facebook

HILJADE LJUDI NA ULICAMA ŠIROM AMERIKE PROTIV FEDERALNIH SLUŽBI U štrajku i studenti, došao Brus Springstin (FOTO+VIDEO)

pre 21 sat

Svet
ARENA U DELIRIJUMU, DOŠLI ZLATNI VATERPOLISTI! Glušac i Martinović bodre crveno-bele protiv Dubaija (FOTO+VIDEO)
facebook

ARENA U DELIRIJUMU, DOŠLI ZLATNI VATERPOLISTI! Glušac i Martinović bodre crveno-bele protiv Dubaija (FOTO+VIDEO)

30.01.2026

Košarka
OVO SU OTAC I SIN KOJI SU ZARADILI MILIONE OD MARIHUANE! Iza voćnjaka, ruža i loze policija pronašla ovo (FOTO)
facebook

OVO SU OTAC I SIN KOJI SU ZARADILI MILIONE OD MARIHUANE! Iza voćnjaka, ruža i loze policija pronašla ovo (FOTO)

30.01.2026

Hronika
ĐEDOVIĆ HANDANOVIĆ U SMEDEREVU Počelo zapunjavanje dizelom novih skladišta, Srbija ima dodatnu sigurnost (FOTO)
facebook

ĐEDOVIĆ HANDANOVIĆ U SMEDEREVU Počelo zapunjavanje dizelom novih skladišta, Srbija ima dodatnu sigurnost (FOTO)

30.01.2026

Biznis
JOŠ JEDNA OSOBA UKLJUČENA U SE*S SKANDAL? Isplivali novi detalji o aferi Mirjane Pajković i Dejana Vukšića (FOTO)
facebook

JOŠ JEDNA OSOBA UKLJUČENA U SE*S SKANDAL? Isplivali novi detalji o aferi Mirjane Pajković i Dejana Vukšića (FOTO)

30.01.2026

Region
ZAVIRITE NA SASTANAK OPERATIVNOG TIMA ZA EU Za stolom Apostolović, Dačić, Brnabić, Mali... (VIDEO, FOTO)
facebook

ZAVIRITE NA SASTANAK OPERATIVNOG TIMA ZA EU Za stolom Apostolović, Dačić, Brnabić, Mali... (VIDEO, FOTO)

30.01.2026

Politika
KARLOS NA JEDNOJ NOZI SRUŠIO ZVEREVA! Novak zna ko ga čeka u borbi za tron
facebook

KARLOS NA JEDNOJ NOZI SRUŠIO ZVEREVA! Novak zna ko ga čeka u borbi za tron

30.01.2026

Tenis
BEOGRAD DOBIJA OPERU, PANORAMSKI TOČAK I LUKSUZNU MARINU Nova četvrt menja grad zauvek, Mali otkrio sve detalje (FOTO)
facebook

BEOGRAD DOBIJA OPERU, PANORAMSKI TOČAK I LUKSUZNU MARINU Nova četvrt menja grad zauvek, Mali otkrio sve detalje (FOTO)

30.01.2026

Beograd
ALKARAZ SE POVREDIO! Haos na AO, Španac u bolovima, a Zverev napao Srpkinju, ovaj prizor je zaledio navijače (VIDEO)
facebook

ALKARAZ SE POVREDIO! Haos na AO, Španac u bolovima, a Zverev napao Srpkinju, ovaj prizor je zaledio navijače (VIDEO)

30.01.2026

Tenis
SMRTONOSNA ZIMA U AMERICI Najmanje 85 ljudi stradalo, ekstremni minusi potrajaće do kraja februara
facebook

SMRTONOSNA ZIMA U AMERICI Najmanje 85 ljudi stradalo, ekstremni minusi potrajaće do kraja februara

30.01.2026

Svet
Zdravlje
MARIJA JE IZGUBILA OBA RODITELJA, A NJEN MUŽ JE ZBOG PUŠENJA OSTAO BEZ NOGE! Priča koju nijedan pušač ne sme da propusti
facebook

MARIJA JE IZGUBILA OBA RODITELJA, A NJEN MUŽ JE ZBOG PUŠENJA OSTAO BEZ NOGE! Priča koju nijedan pušač ne sme da propusti

Potresna ispovest novinarke iz Beograda povodom Nacionalnog dana bez duvanskog dima

pre 11 sati

Vesti
RODITELJI, OPREZ! Čak 93 odsto jabuka iz prodavnica bilo bi zabranjeno u hrani za bebe, a ovo je razlog
facebook

RODITELJI, OPREZ! Čak 93 odsto jabuka iz prodavnica bilo bi zabranjeno u hrani za bebe, a ovo je razlog

29.01.2026

Vesti
DA LI JE OVO KRAJ GUBITKA MIRISA POSLE KOVIDA? Nova metoda daje rezultate bez lekova i operacija
facebook

DA LI JE OVO KRAJ GUBITKA MIRISA POSLE KOVIDA? Nova metoda daje rezultate bez lekova i operacija

29.01.2026

Vesti
SVE VIŠE MLADIH GUBI SMISAO ŽIVOTA Kako prepoznati poziv u pomoć na vreme
facebook

SVE VIŠE MLADIH GUBI SMISAO ŽIVOTA Kako prepoznati poziv u pomoć na vreme

29.01.2026

Vesti
K1
  • Vesti
  • VREME
  • Zdravlje
  • Ekonomija
  • Sport
  • Showbizz
  • Priče
  • Slobodno vreme
  • Fun Box
  • Kultura i umetnost
  • Pravila korišćenja
  • Impressum
  • O nama
  • Tanjug TV program
  • Marketing
  • Kontakt

Tel: 011 33 47 049

Email: redakcija@k1info.rs

Adresa: Dečanska 12, Beograd, Srbija

Pratite nas

facebook link icon instagram link icon youtube link icon

©2026 K1. Sva prava zadržana