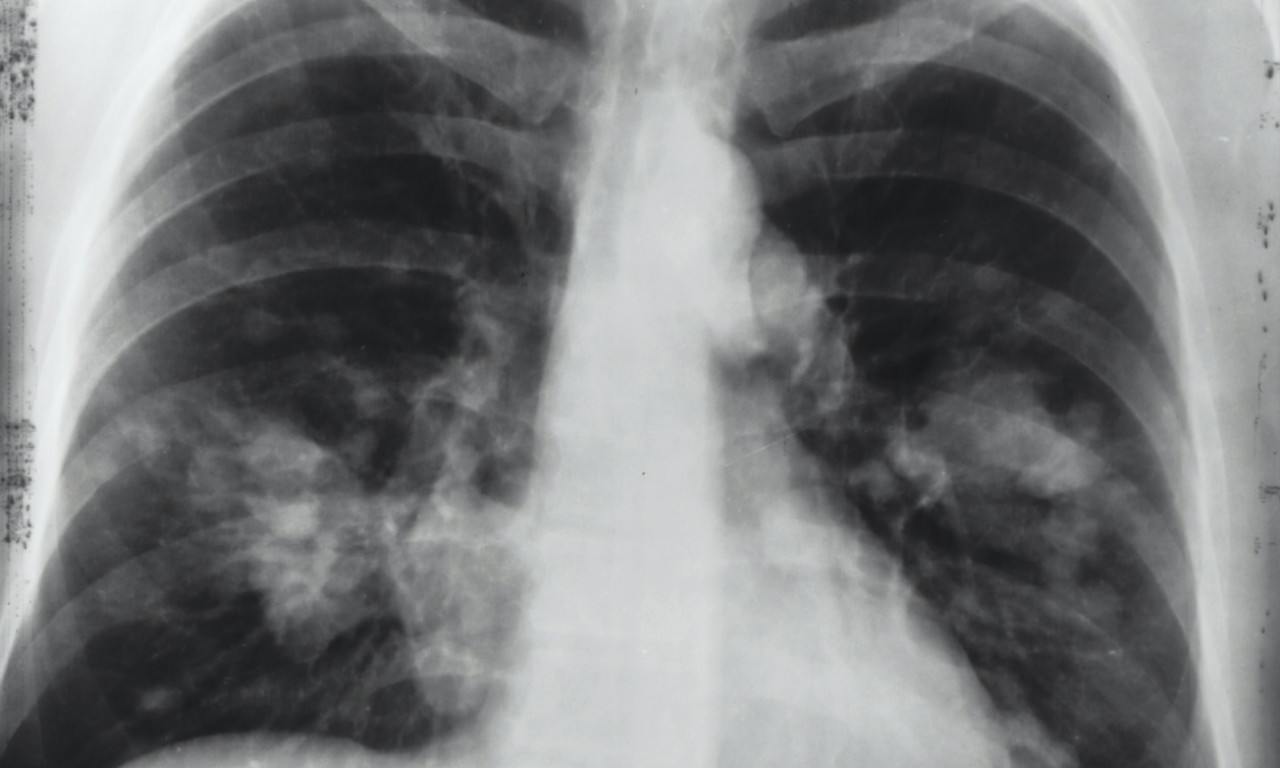
ALARMANTNI PODACI U SRBIJI! Od RAKA PLUĆA oboli 7.000 SRBA godišnje, što nas stavlja na drugo mesto u Evropi
Podatak koji ohrabruje je da se posle pojave prvih simptoma većina pacijenata odmah obrati lekaru
26.04.2024
SrbijaPodatak koji ohrabruje je da se posle pojave prvih simptoma većina pacijenata odmah obrati lekaru
26.04.2024
SrbijaNa primer, svakodnevna konzumacija orašastih plodova smanjuje rizik od umiranja od respiratornih bolesti za čak 50%
25.04.2024
VestiPreterana konzumacija alkohola povezana je sa različitim vrstama bolesti, pa tako i kancerom
25.04.2024
VestiNove rakete imaju domet od 300 kilometara
24.04.2024
SvetDragan Milanović je bio poznat i omiljen među svim zvezdašima, radio je dugo kao ekonom
23.04.2024
FudbalErdogan je rekao kako je saradnja u području bezbednosti i borbe protiv terorizma bila jedna od najvažnijih tačaka dnevnog reda
22.04.2024
SvetSrpska teniserka Olga Danilović plasirala se u drugo, poslednje kolo kvalifikacija za glavni žreb WTA turnira u Madridu
22.04.2024
TenisNapadnut je severoistok Sirije
22.04.2024
SvetOružane snage Ukrajine neprestano pokušavaju da napadnu brodove Crnomorske flote, kao i grad Sevastopolj i glavnu bazu u tom gradu
21.04.2024
SvetLicitiralo se sa tim ko bi mogao da bude zamena
20.04.2024
FudbalBrnabić je informisala O’Brajana o statusu oko primene preporuka ODIHR za unapređenje izbornog procesa
20.04.2024
PolitikaPevač se vraća na scenu na velika vrata
20.04.2024
CelebrityTokom prošle godine identifikovana su 182 deteta u maloletničkim brakovima
19.04.2024
SrbijaIran preusmerio letove u svom vazdušnom prostoru
19.04.2024
SvetU toku su i saslušanja svedoka
18.04.2024
HronikaVeze i brakovi slavnih su kulturološki fenomen koji sve više intrigira javnost, jer naši poznati sav "prljav veš izbace" na površinu
18.04.2024
HoroskopMilica Rakić postala je simbol stradanja tokom agresije NATO-a na našu zemlju, imala je samo tri godine kada ju je usmrtila NATO bomba
17.04.2024
SrbijaOkupljajući se iz godine u godinu ovim povodom stoji želja da se suprotstavimo zaboravu kao najvećem neprijatelju, dodao je on
17.04.2024
PolitikaU Vinči je izgrađen najsavremeniji centar za upravljanje čvrstim otpadom po svim evropskim standardima
15.04.2024
BeogradDa li živimo predugo? Produžen životni vek donosi nove strahove. Tehnologija i veštačka inteligencija menjaju smisao života
09.04.2026
Vesti