Trećina odraslih KONZUMIRA CIGARETE! Srbija uvodi skrining na rano otkrivanje RAKA PLUĆA, a evo zašto je to VAŽNO
Udruženje za borbu protiv raka pluća "Punim Plućima" organizovalo je, povodom Svetskog dana bez duvanskog dima
31.05.2024
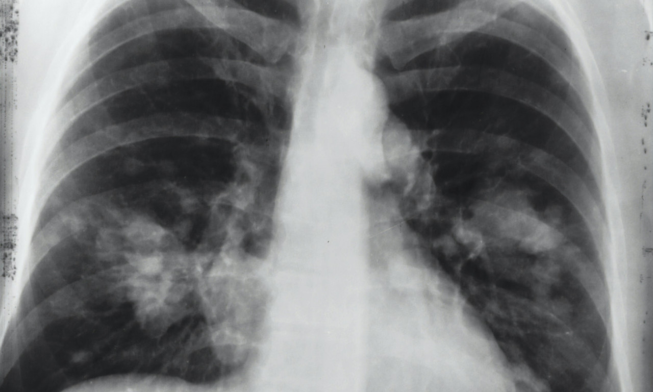
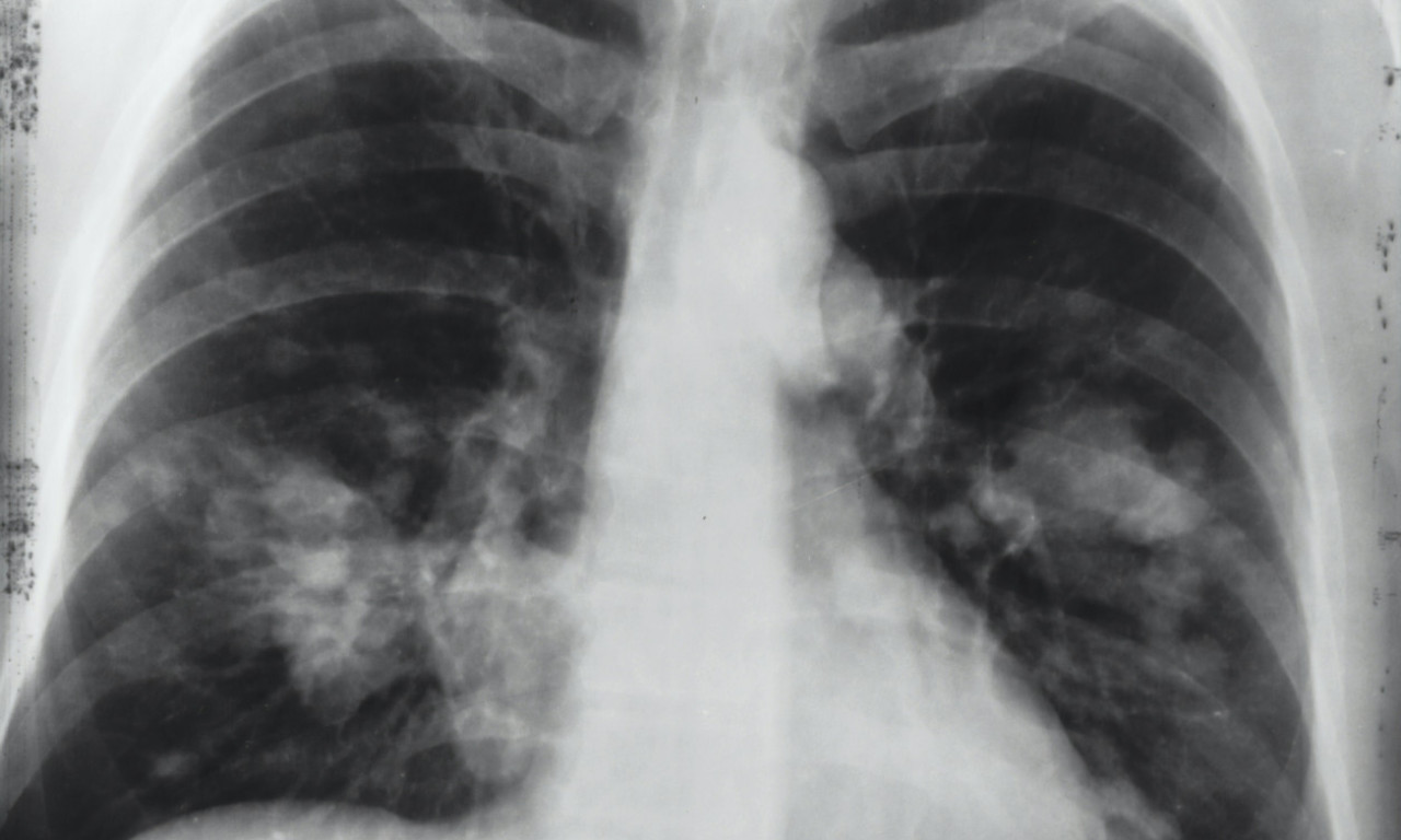
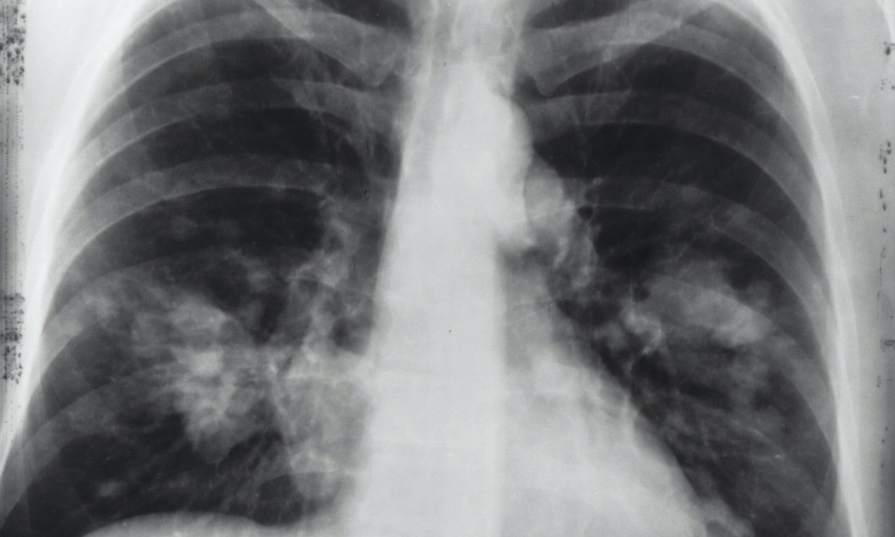
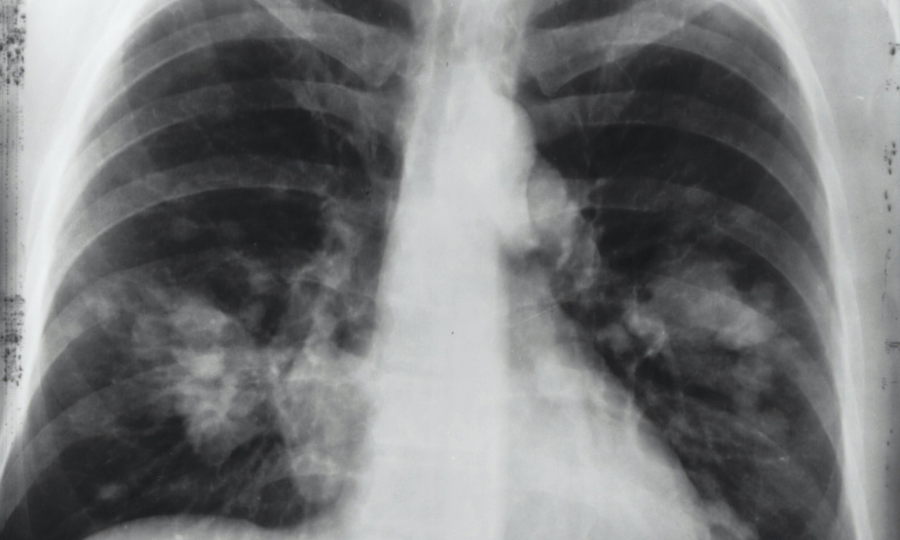
SrbijaRak pluća je vodeći uzrok smrti od raka u svetu, a godišnje ima 1,8 miliona smrtnih slučajeva od kancera pluća
podeli vest:
 
                    Lek lorlatinib najefikasnije zaustavlja rak pluća od svih lekova primenjenih do sada, a više od polovine pacijenata sa uznapredovalim oblicima bolesti koji su uzimali taj lek i dalje su bili živi posle pet godina bez progresije bolesti, objavljeno je danas na godišnjem sastanku Američkog udruženja za kliničku onkologiju (ASCO) u Čikagu.
Lekari su pozdravili rezultate ispitivanja australijskih naučnika koji pokazuju da je novi lek zaustavio napredovanje raka pluća duže nego bilo koji drugi tretman kod 60 odsto pacijenata, preneo je "The Guardian".
Udruženje za borbu protiv raka pluća "Punim Plućima" organizovalo je, povodom Svetskog dana bez duvanskog dima
31.05.2024
SrbijaPodatak koji ohrabruje je da se posle pojave prvih simptoma većina pacijenata odmah obrati lekaru
26.04.2024
SrbijaKod pacijenata koji su lečeni standardnim lekom - krizotinibom, rak pluća nije napredovao tokom pet godina kod osam odsto pacijenata.
Vodeći autor studije je Benjamin Solomon iz Centra za kancer u Melburnu u Australiji.
Rak pluća je vodeći uzrok smrti od raka u svetu, a godišnje ima 1,8 miliona smrtnih slučajeva od kancera pluća.
                                                                            
                                        
                                                                                                                                            
                                
                                                                                                         
                                                                                                                                                                                        
                                
                                                                                                        
                                                                                                                                                                                        
Doktor je objasnio koje metode lečenja postoje u Srbiji i na koji način se određuje da li će pacijent biti podvrgnut inovativnom lečenju
14.12.2023
SrbijaPneumolog, dr Vesna Ćerima Krstić u emisiji "Uranak" na televiziji K1 objašnjava da u ranoj fazi karcinom pluća nema nikakve simptome
27.11.2023
VestiU Vojvodini je u periodu od 20. septembra 2020. do 1. avgusta 2023. pregledano 4.354 pacijenata
31.08.2023
SrbijaDo kraja ove godine očekuje se da u praksi zaživi Zakon o zaštiti stanovništva od izloženosti duvanskom dimu
03.06.2023
Srbija
Ostavite komentar