Tanjug
live Bella
  • najnovije
  • Vesti
    • Srbija
    • Beograd
    • Politika
    • Hronika
    • Region
    • Svet
  • VREME
  • Bella
  • Zdravlje
  • Ekonomija
    • Čuvarkuća
    • Biznis
    • Banke
  • Sport
    • Fudbal
    • Košarka
    • Tenis
    • Ostali sportovi
    • Time Out
    • EUROBASKET 2025
    • OI 2024
  • Showbizz
    • Prvi Red
    • Balkan
    • Celebrity
    • Display
    • Svet
    • KATEDRA ZA ŠOU-BIZNIS
    • EVROVIZIJA 2025
  • Priče
    • Reportaža
    • Green World
    • Sudbine
    • Avantura
    • STAV
  • Fun Box
    • Misterije
    • ZANIMLJIVOSTI
    • Nećete verovati
    • Putovanja
    • Tehnologija
    • Automobili
  • Kultura i umetnost
    • Muzika
    • Knjige
    • Art
    • Pozorište
    • Film/Serija
    • MOJA TELEVIZIJA

Pratite nas

facebook link icon instagram link icon youtube link icon
  • Najnovije
  • bella portal
  • vremenska prognoza
  • vesti
  • Beograd
  • politika
  • svet
  • Crvena zvezda
  • Partizan
  • penzije
  • studenti
  • sport
  • K1 tv program
  • Tanjug tv program
K1TV Live Tanjug Live
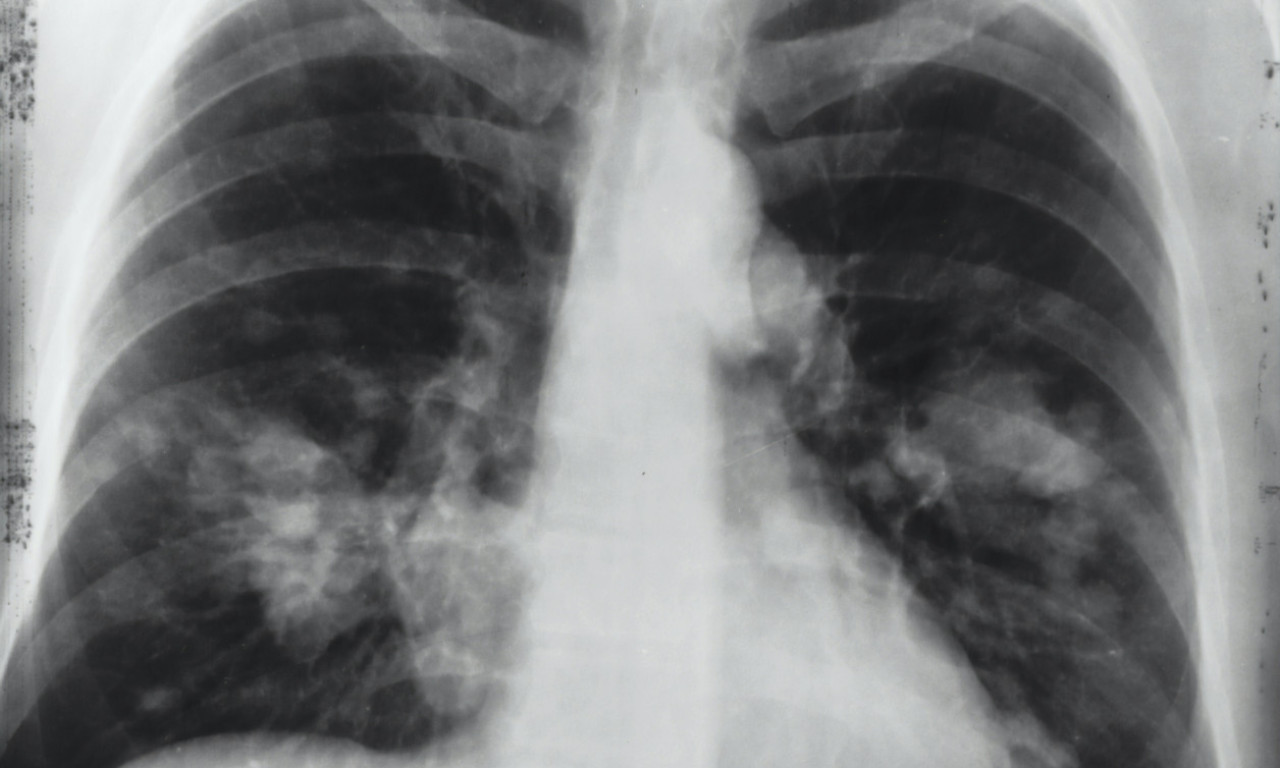
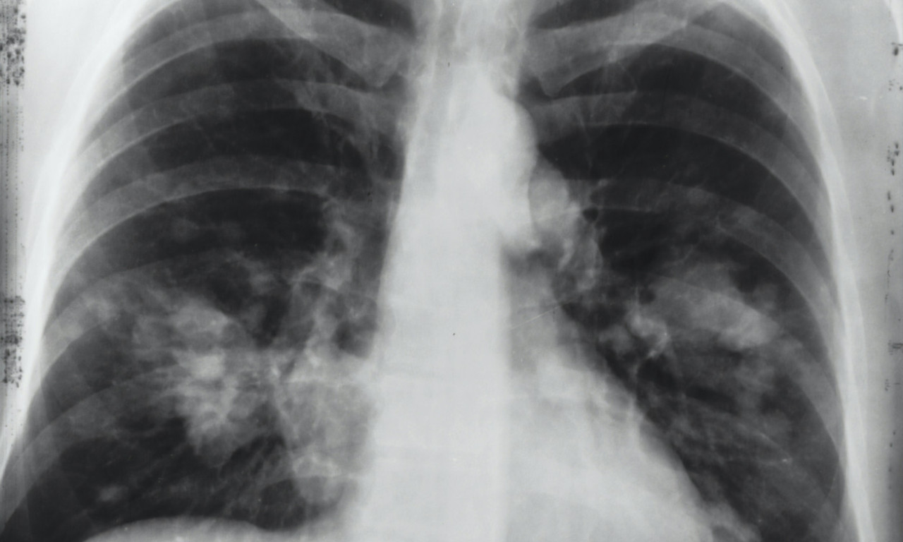
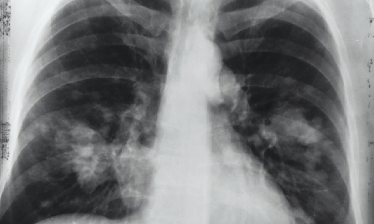
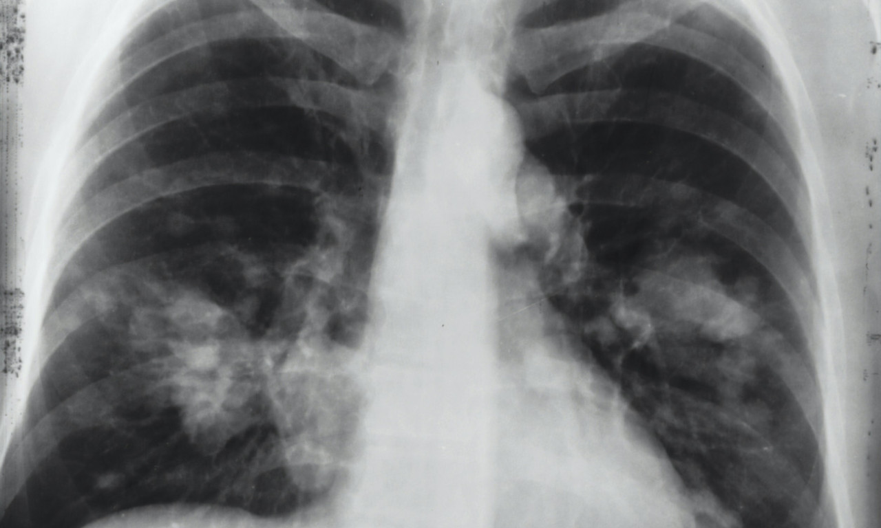
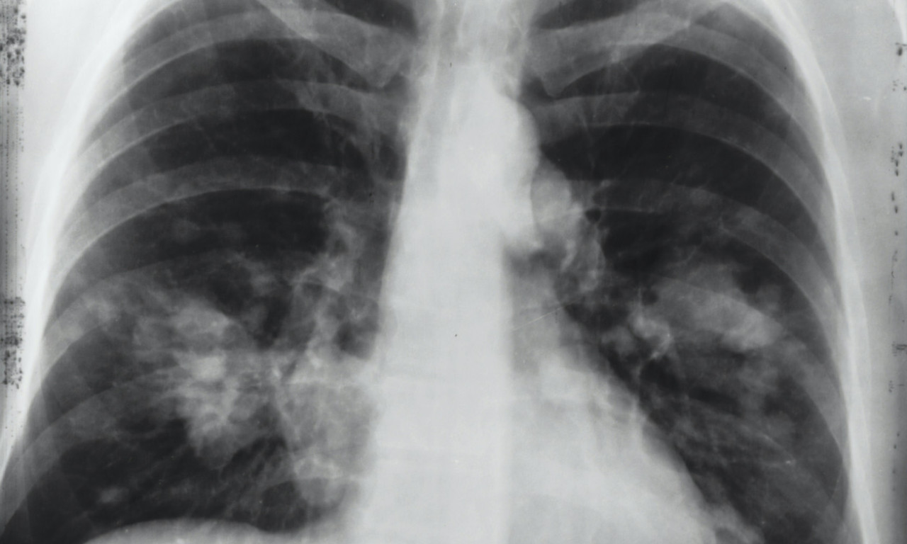
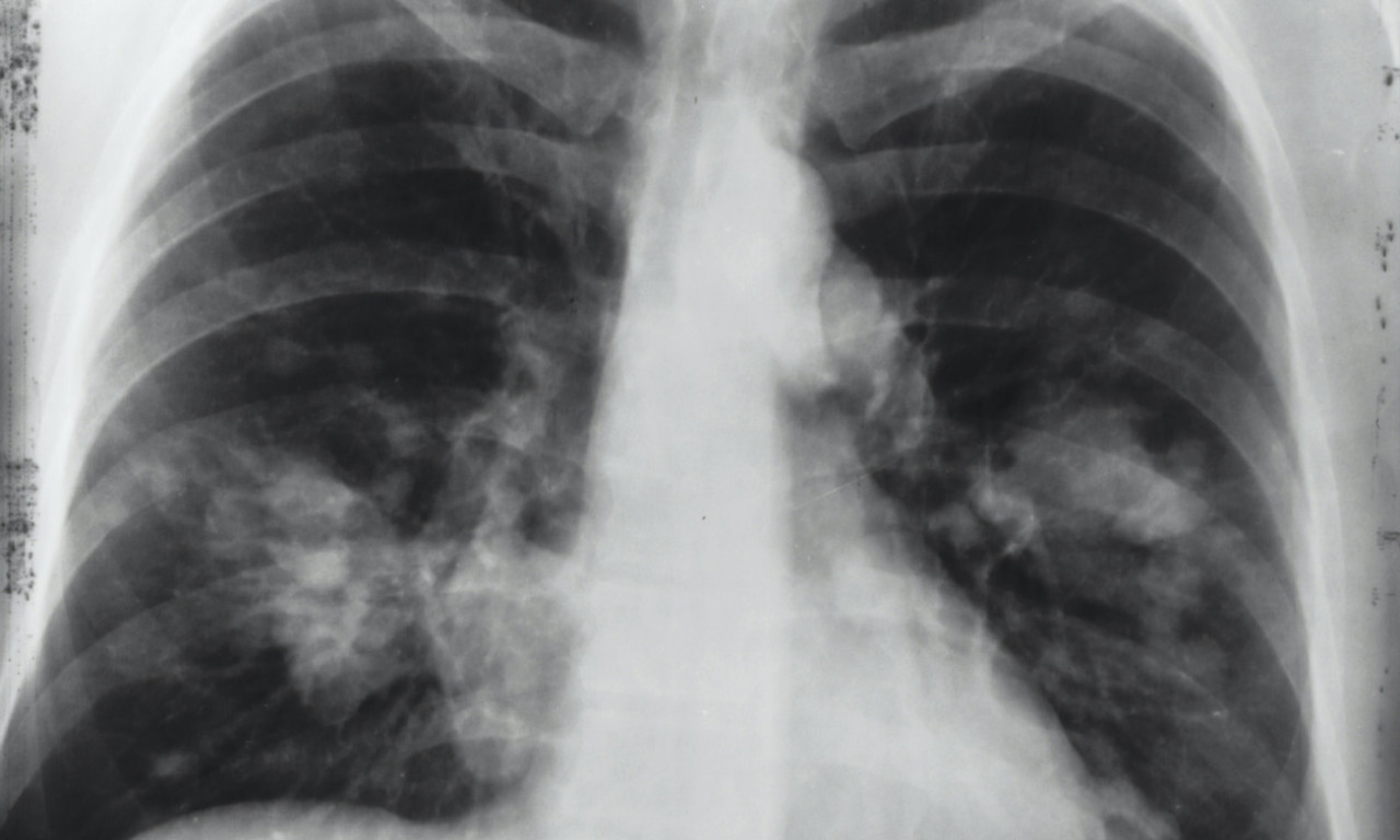
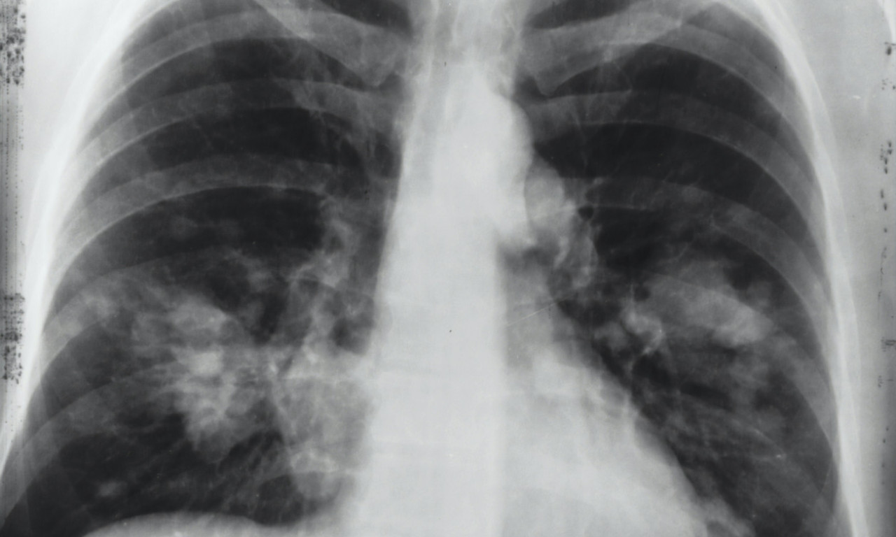
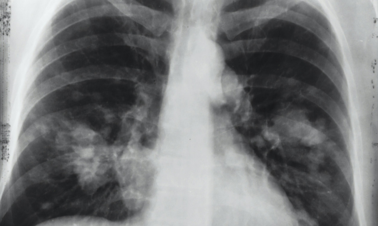
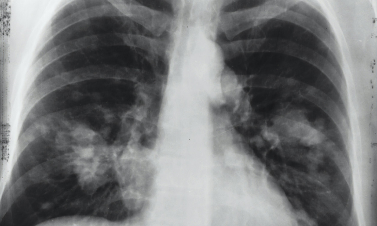
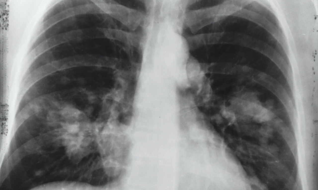
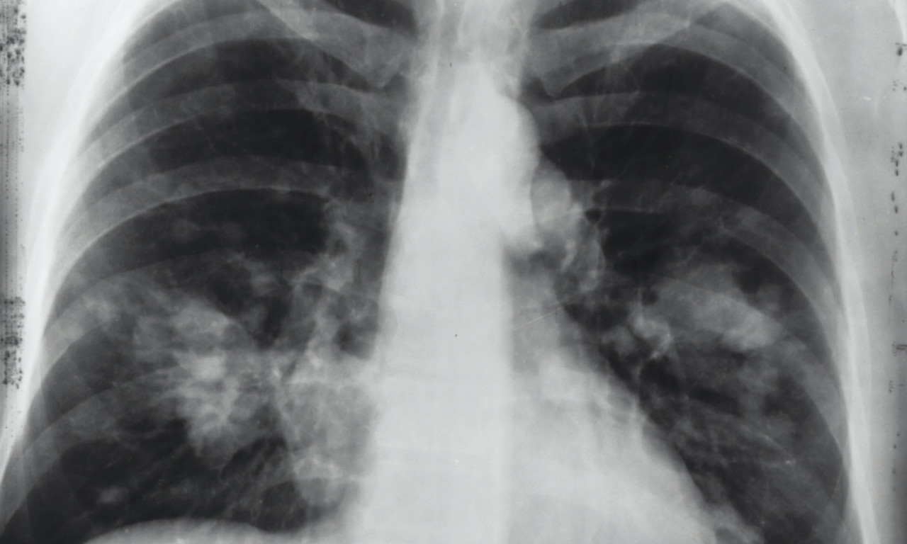
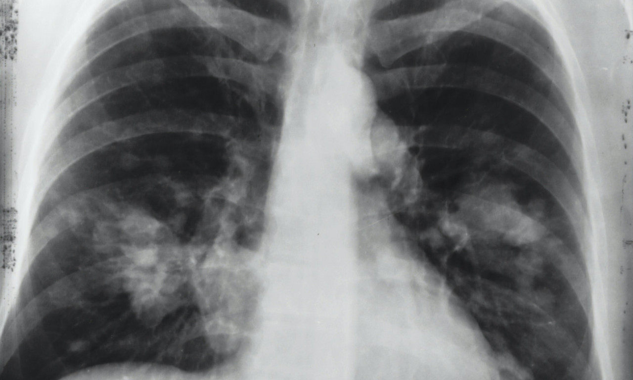
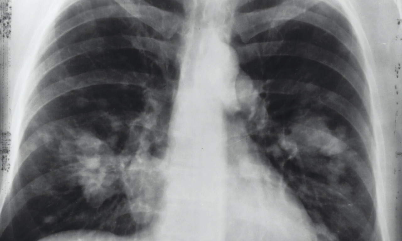
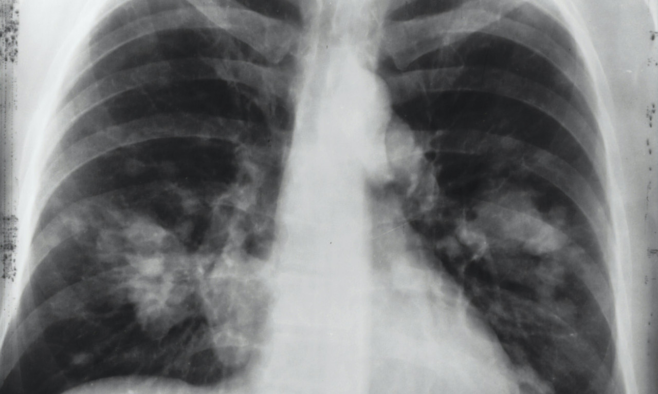
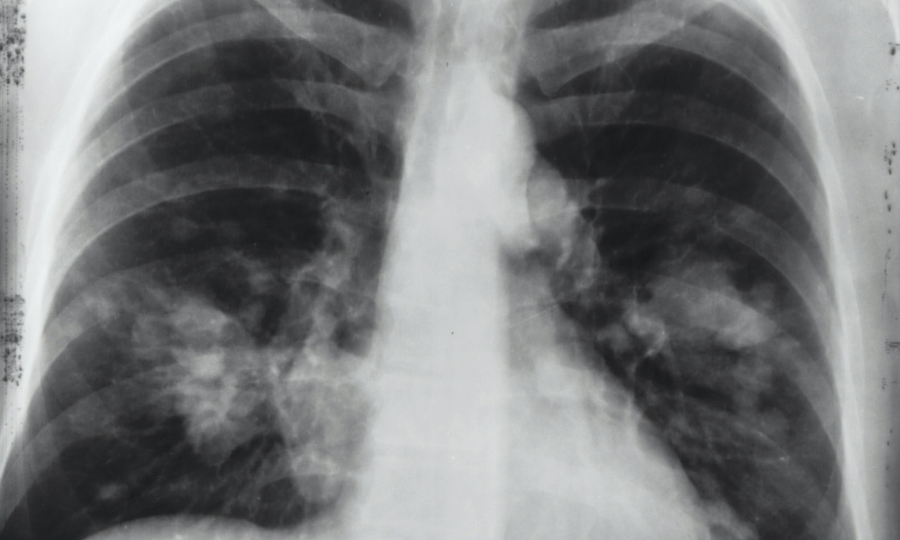
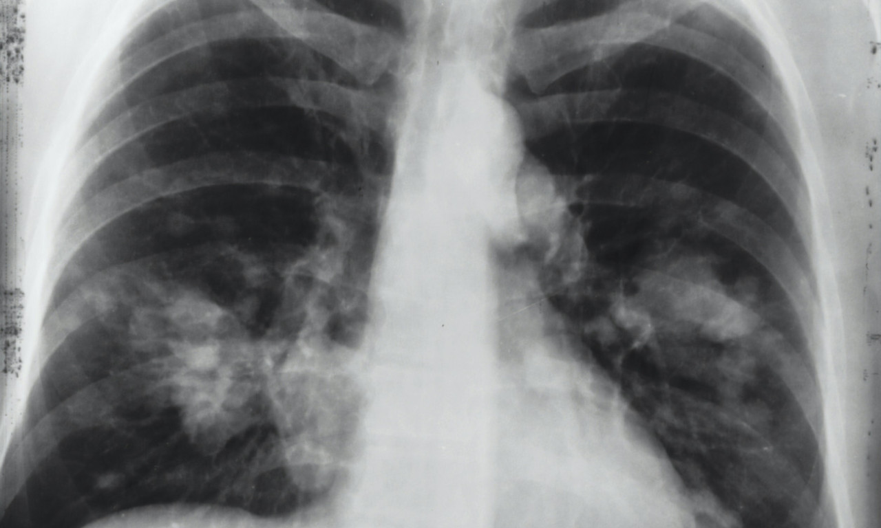
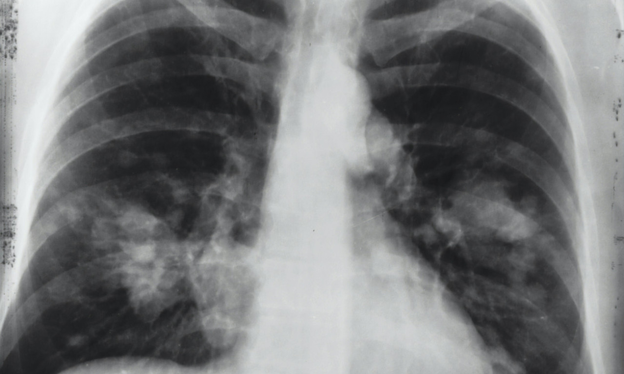
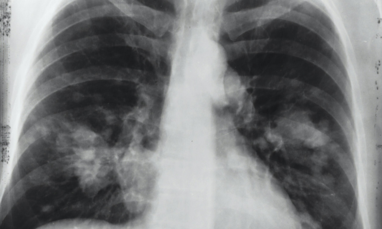
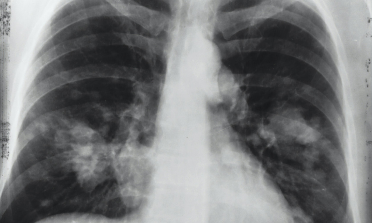
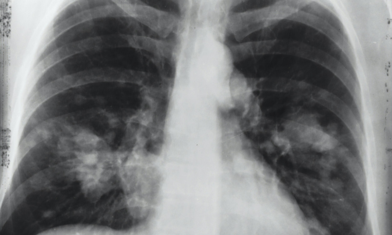
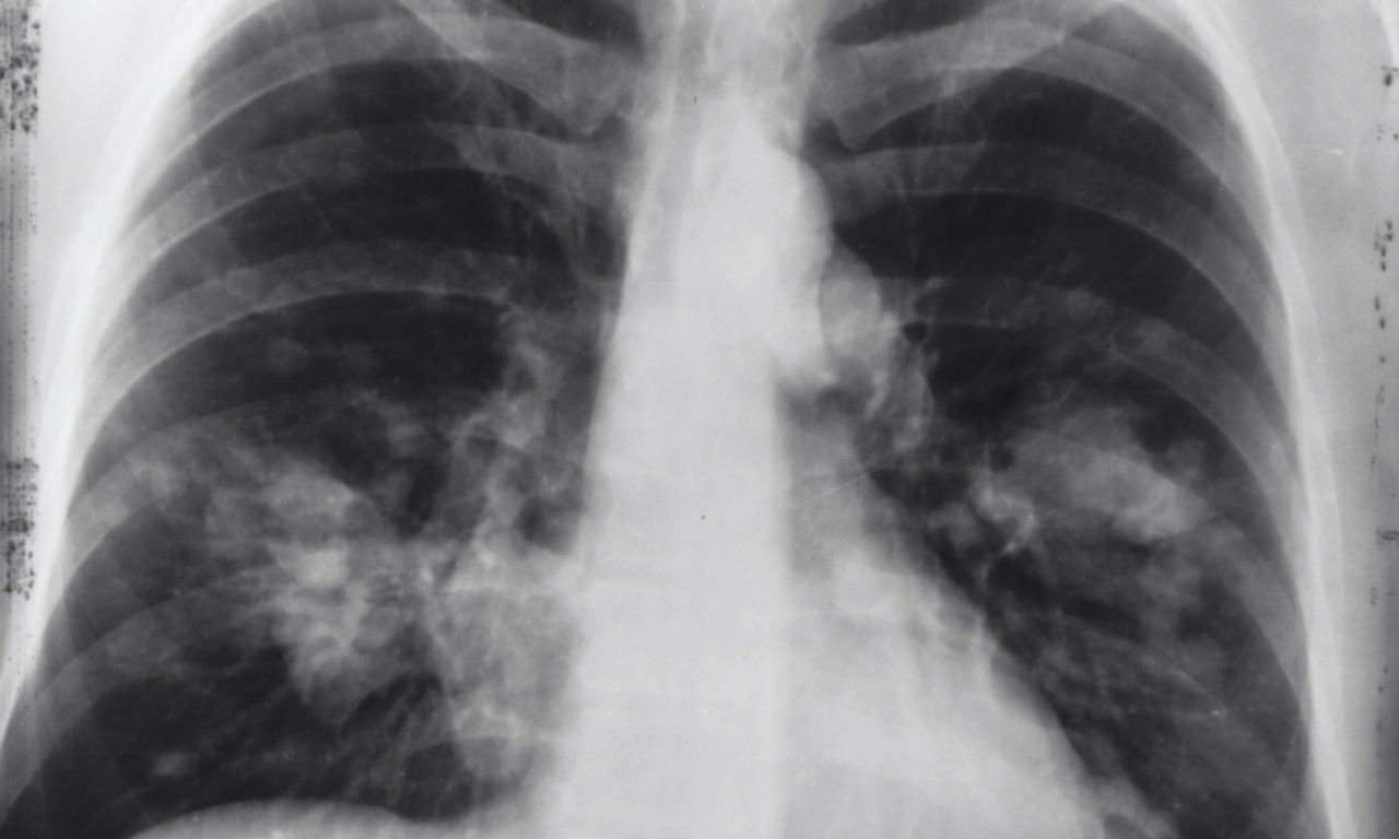
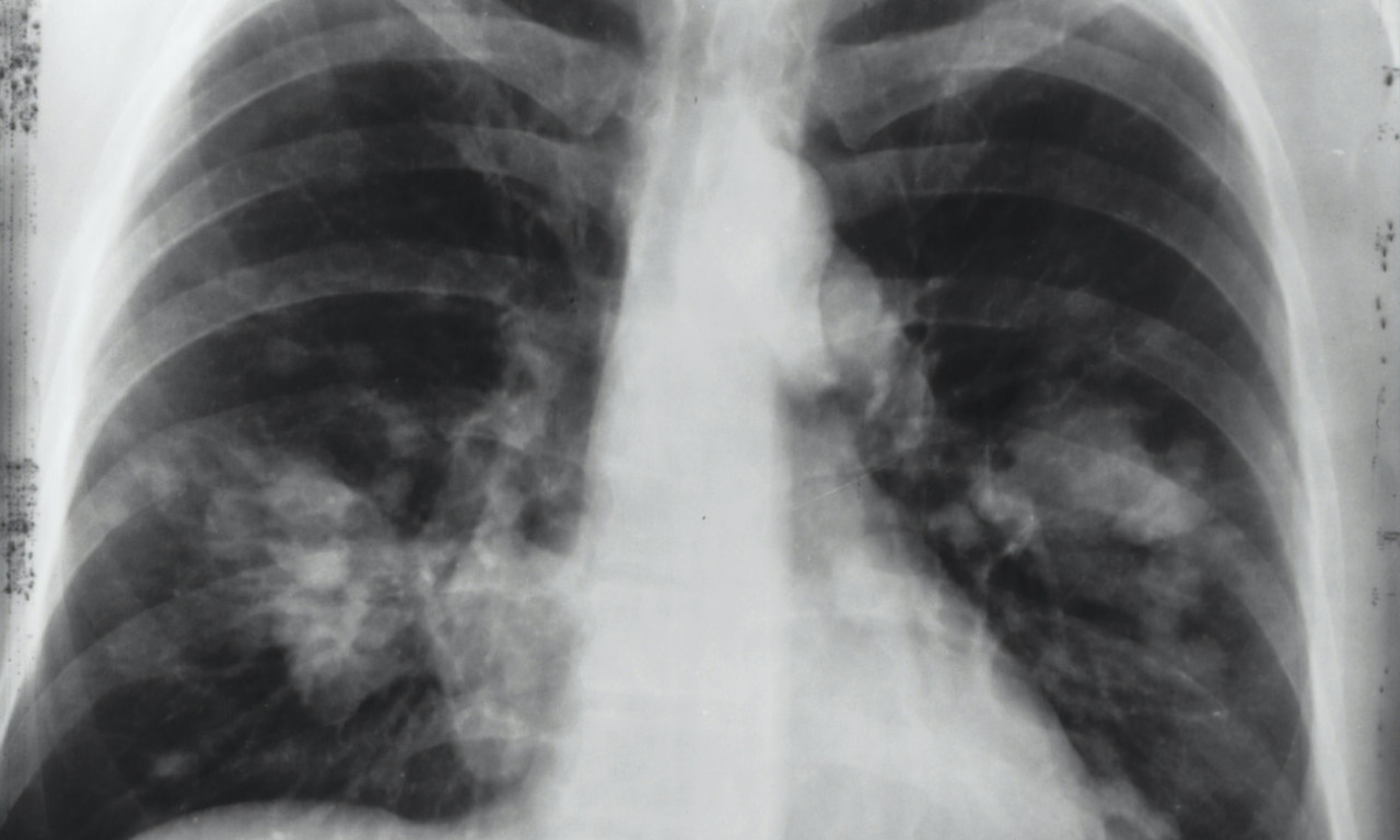
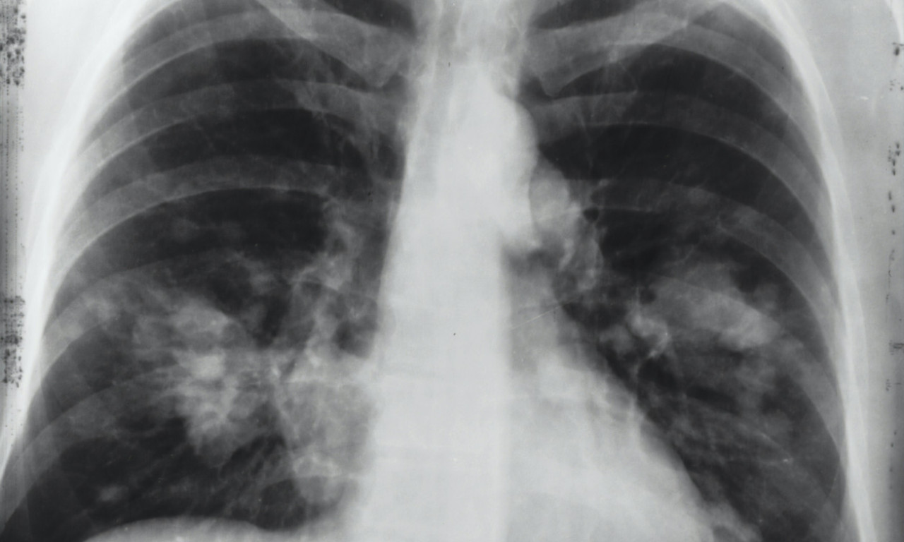
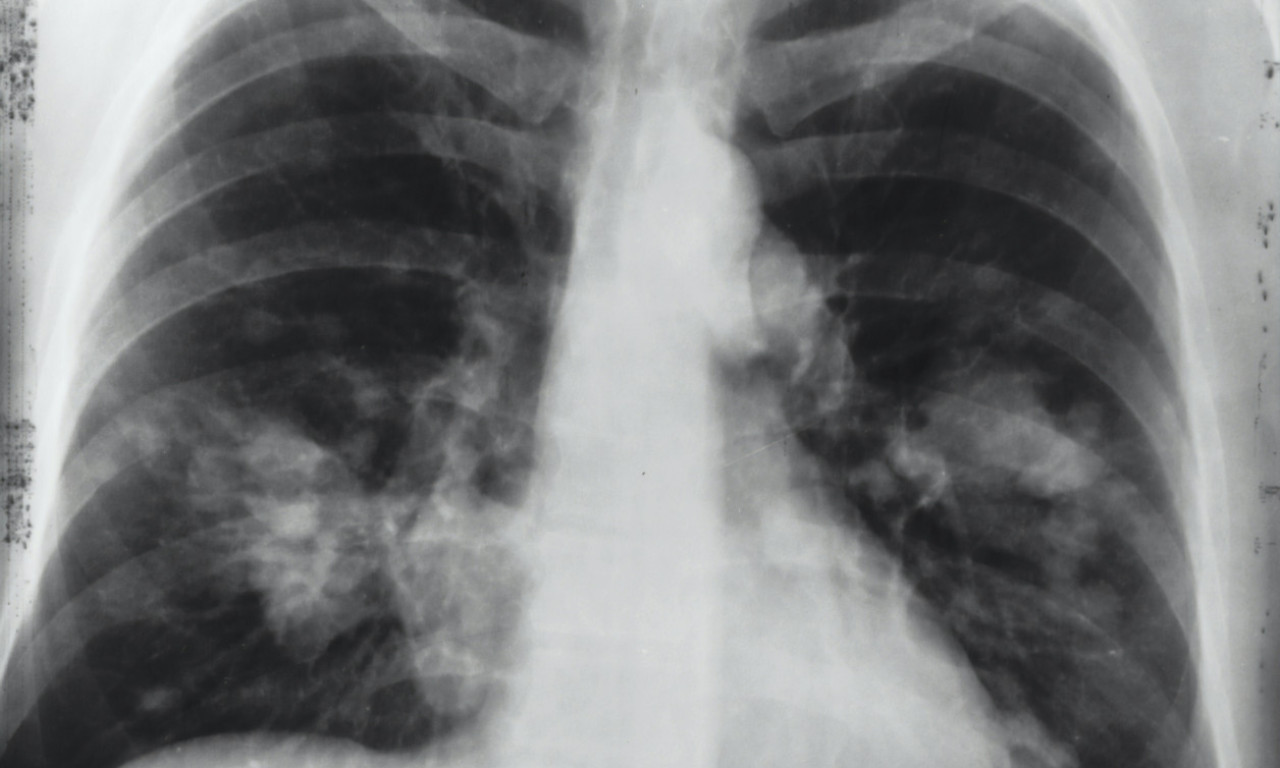
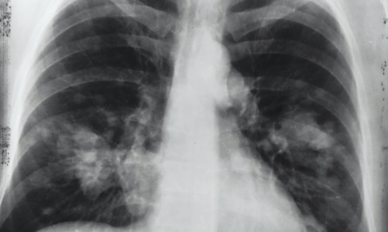
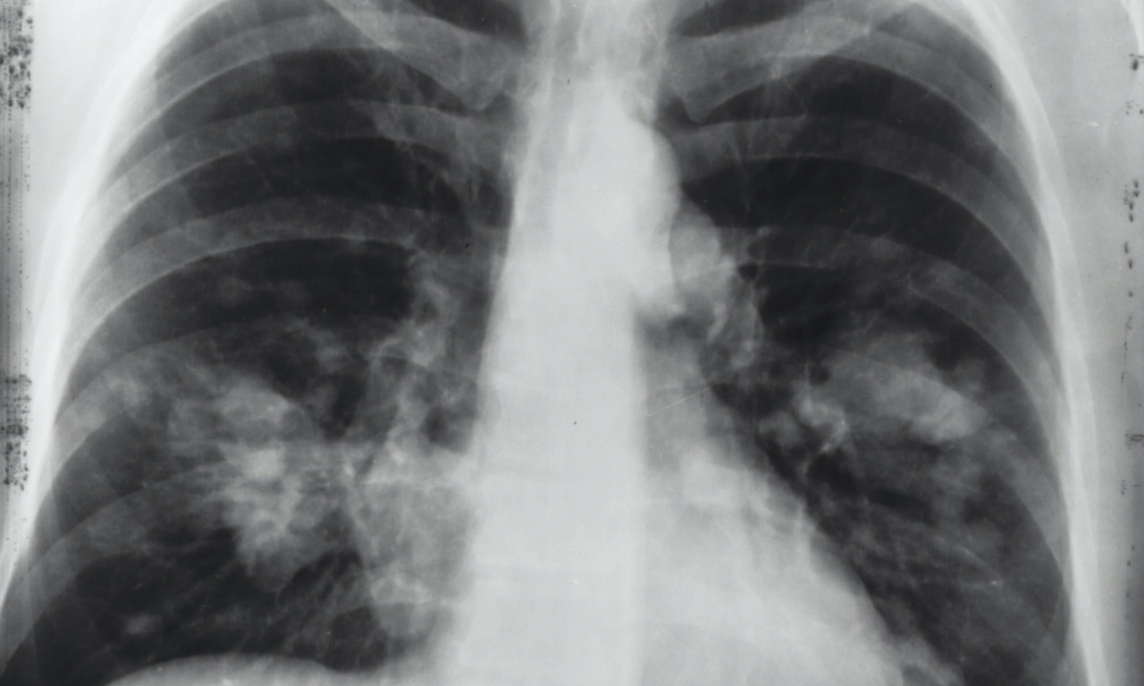
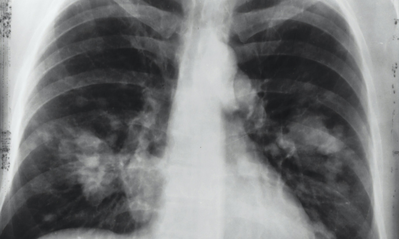
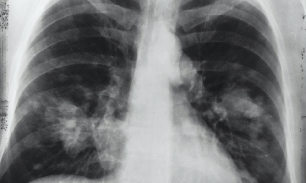
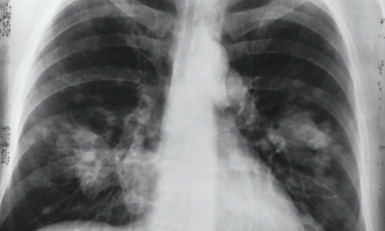
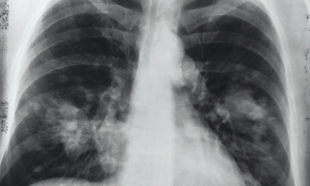
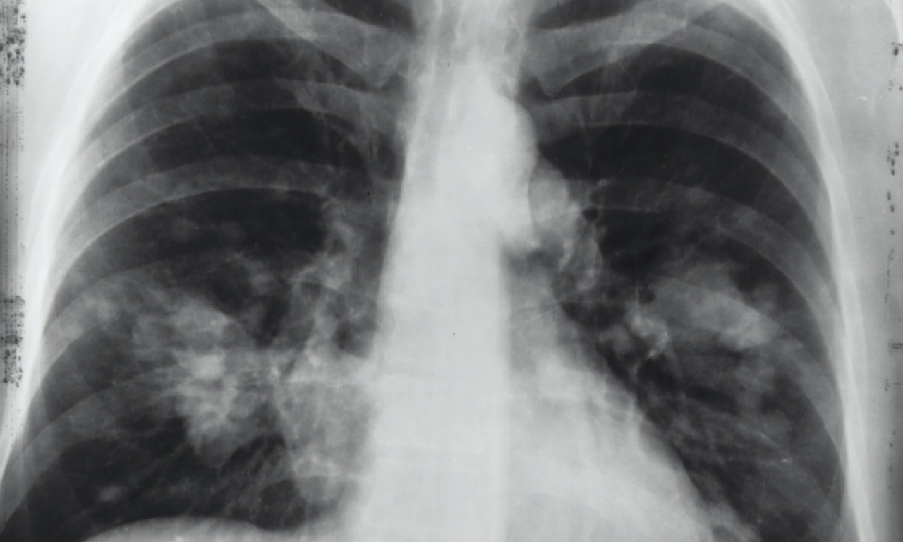
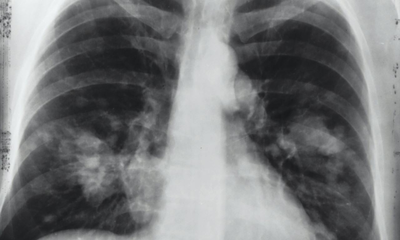
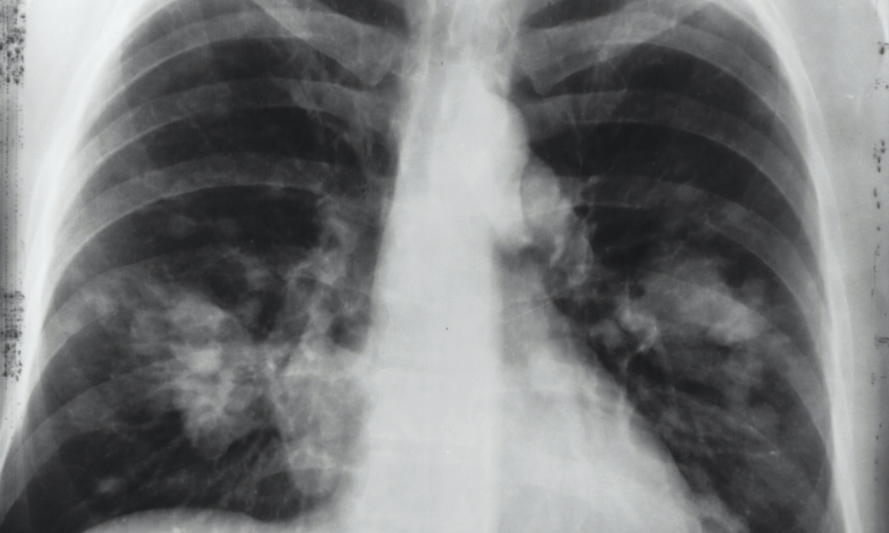
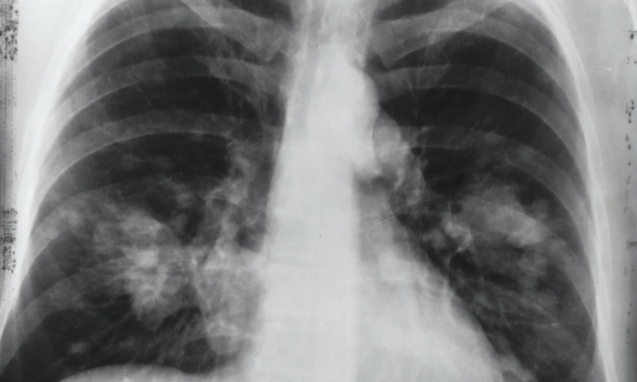
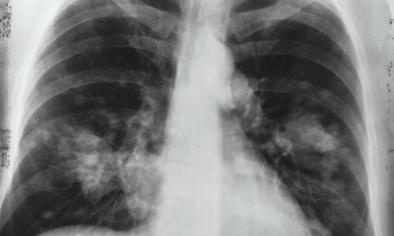
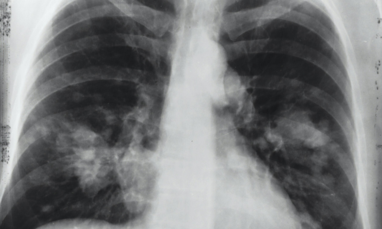
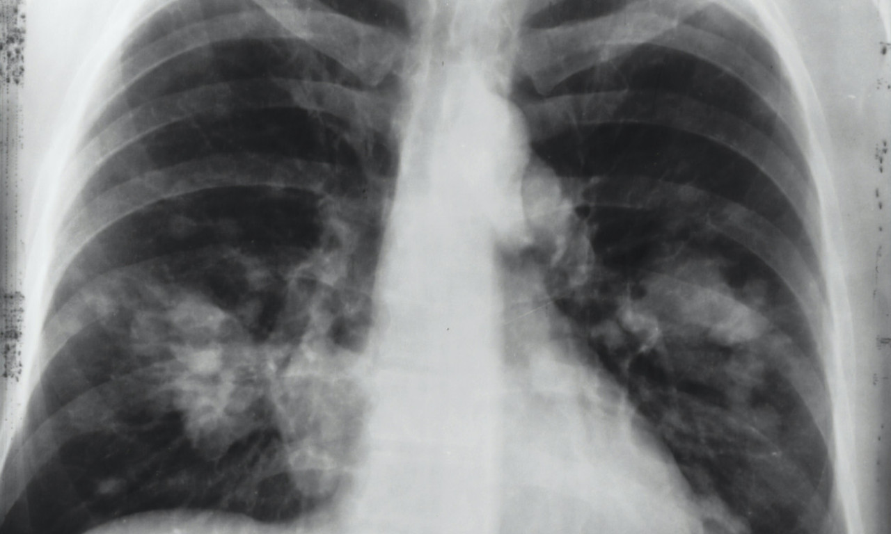
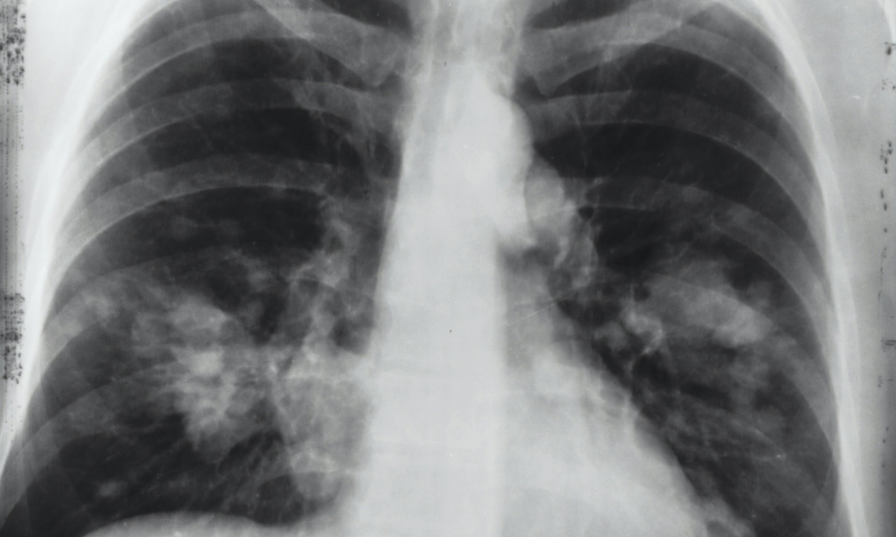
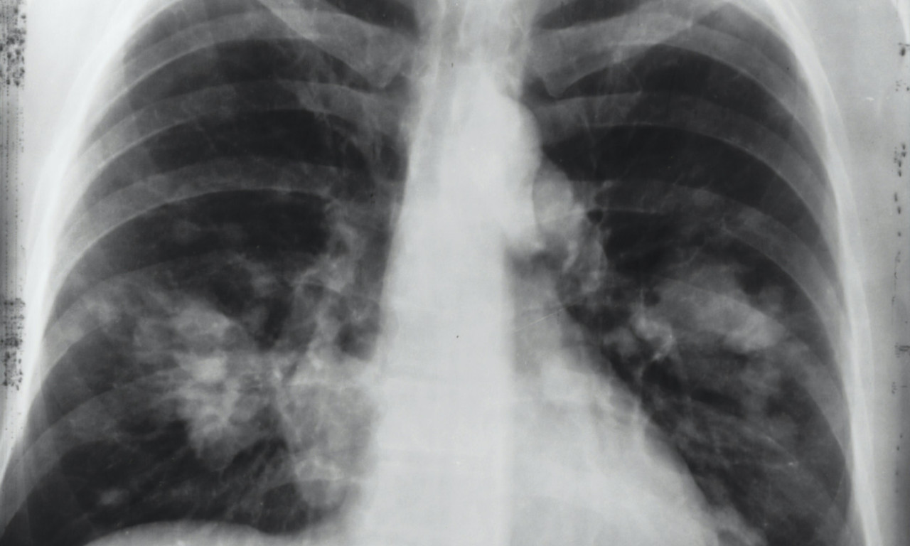
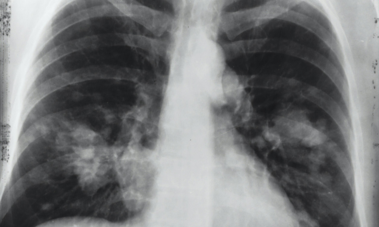
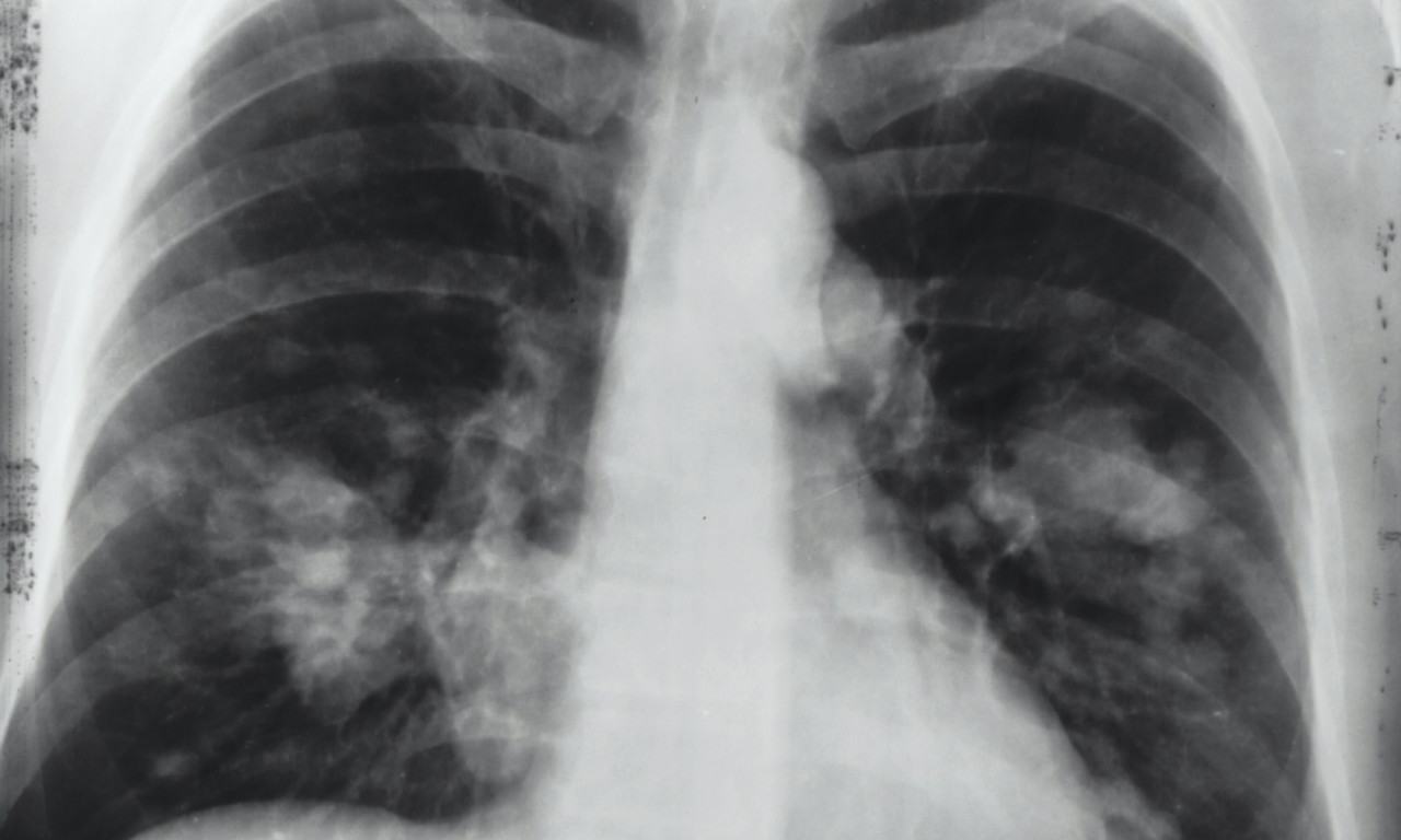
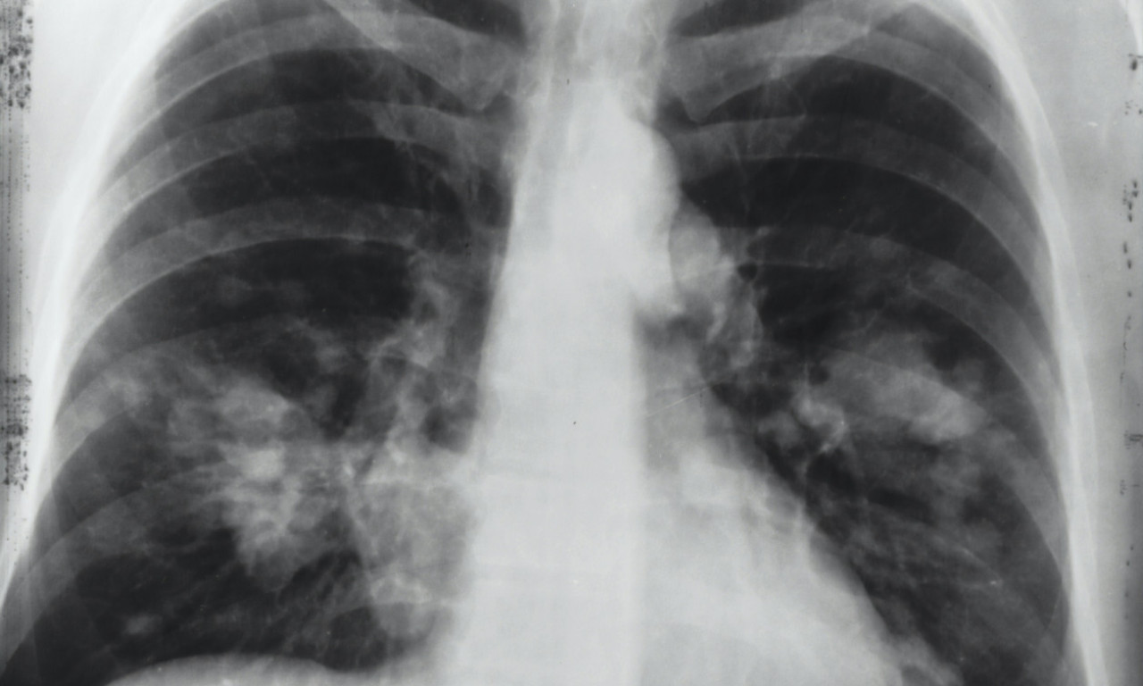
rak pluća
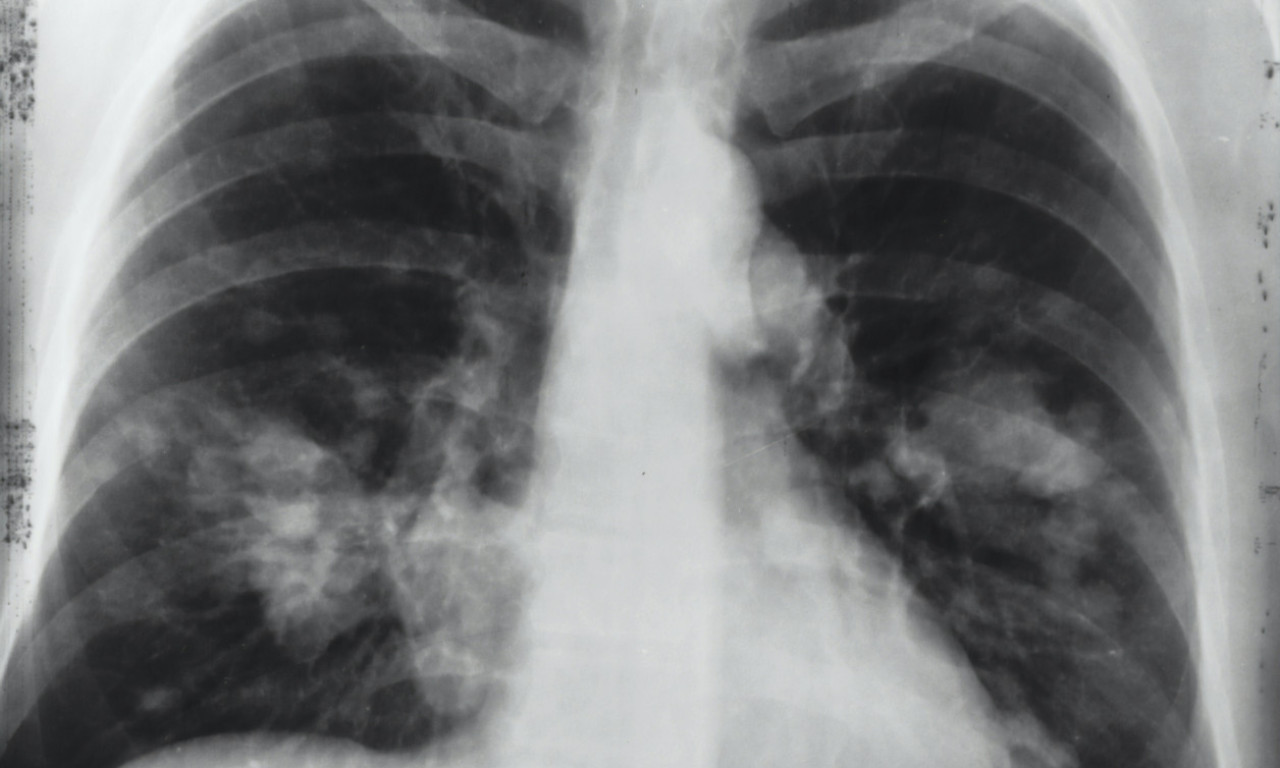
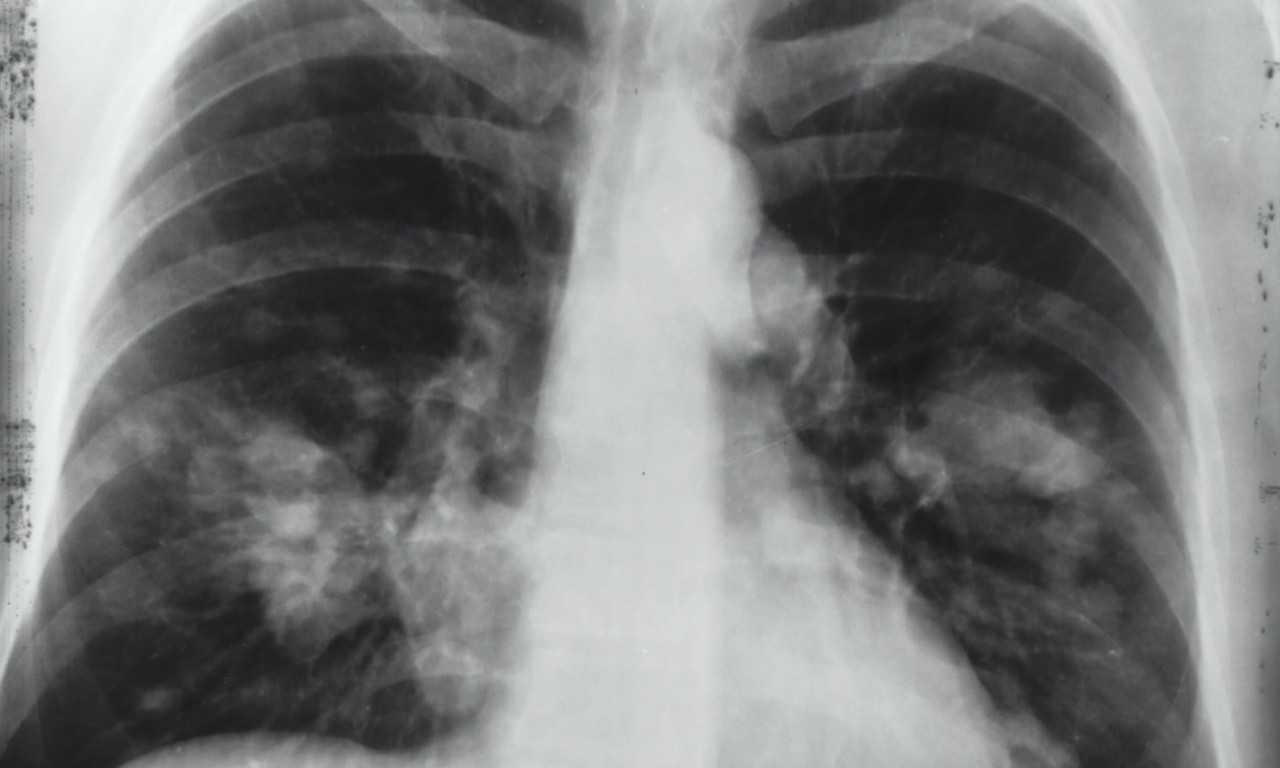
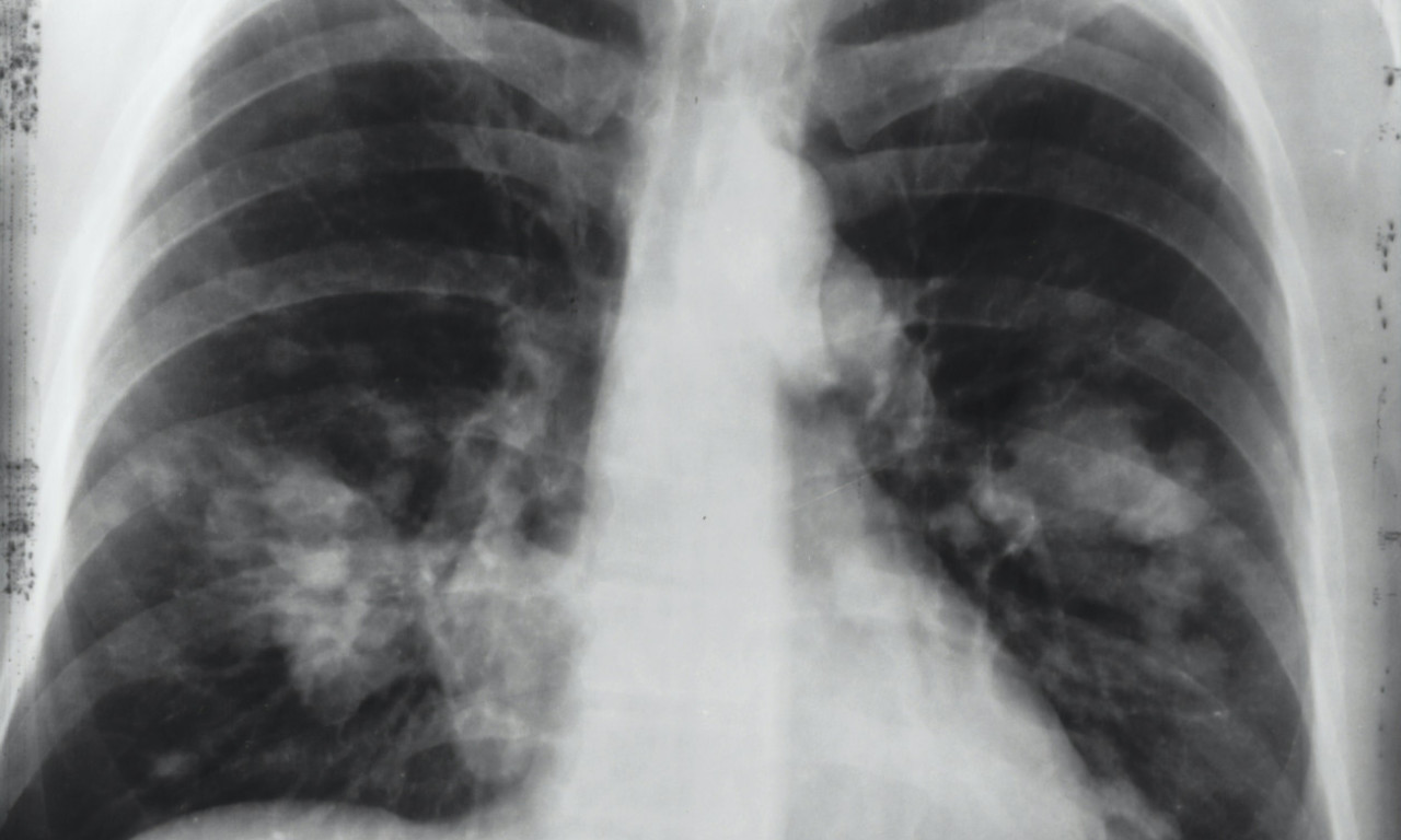
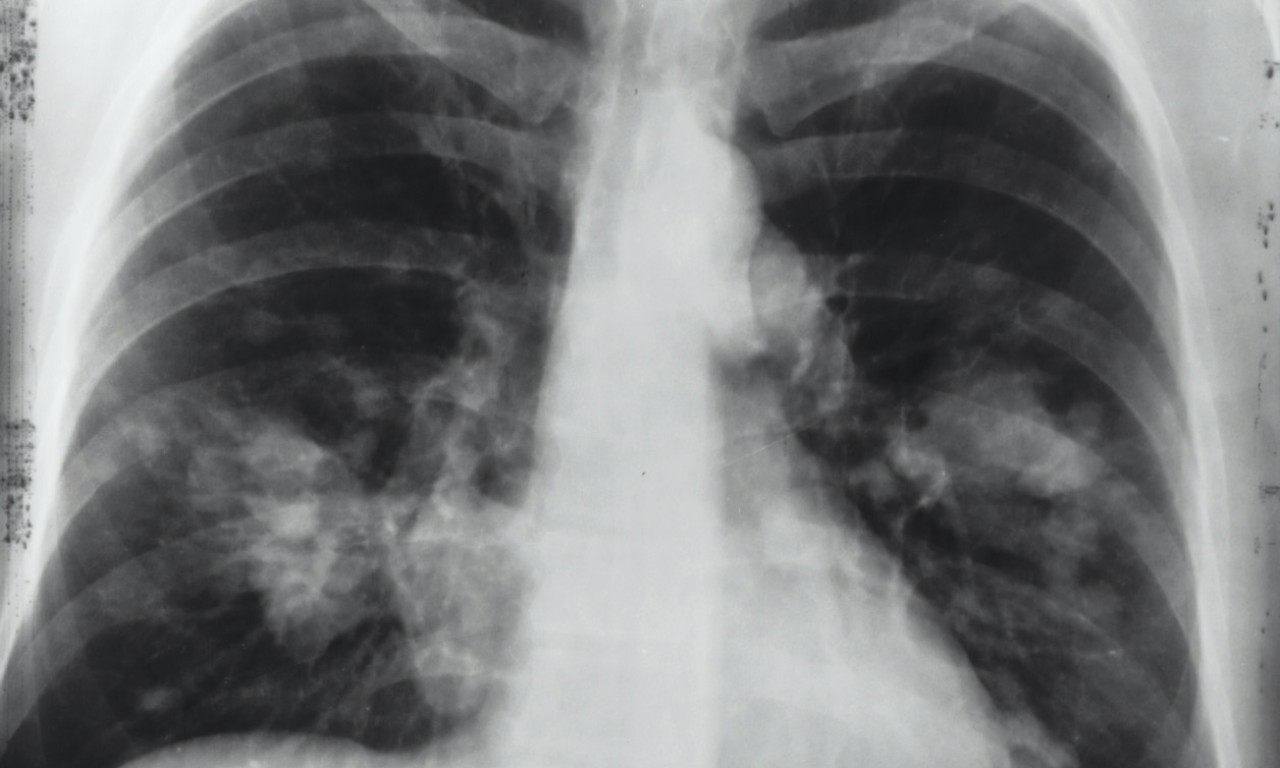
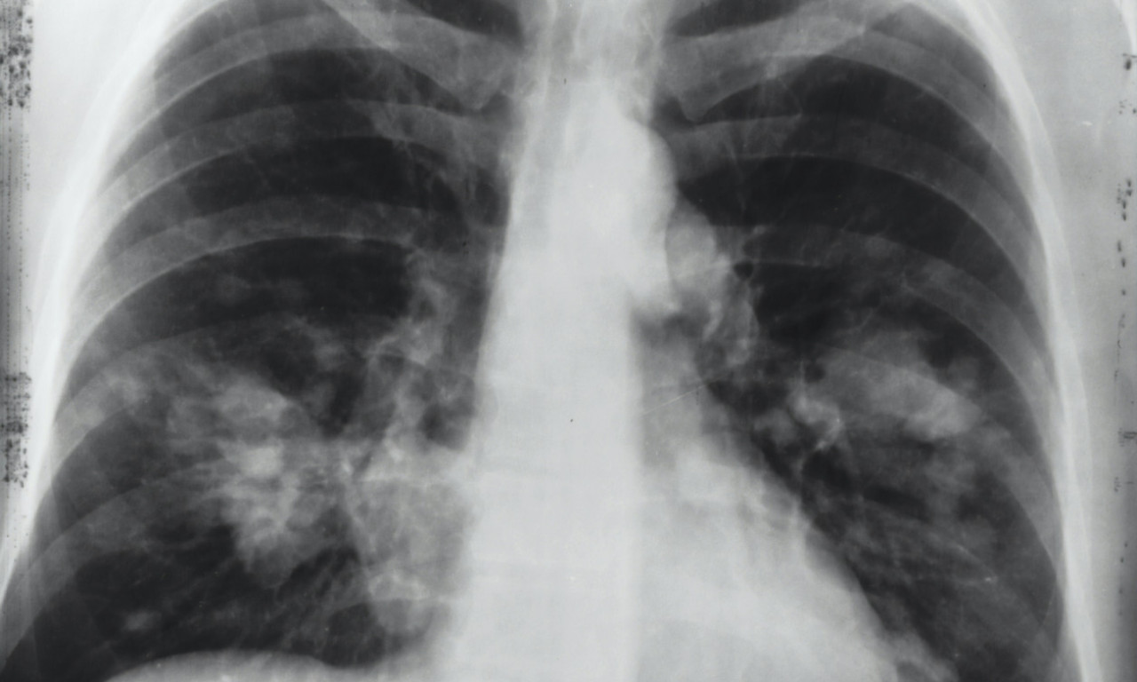
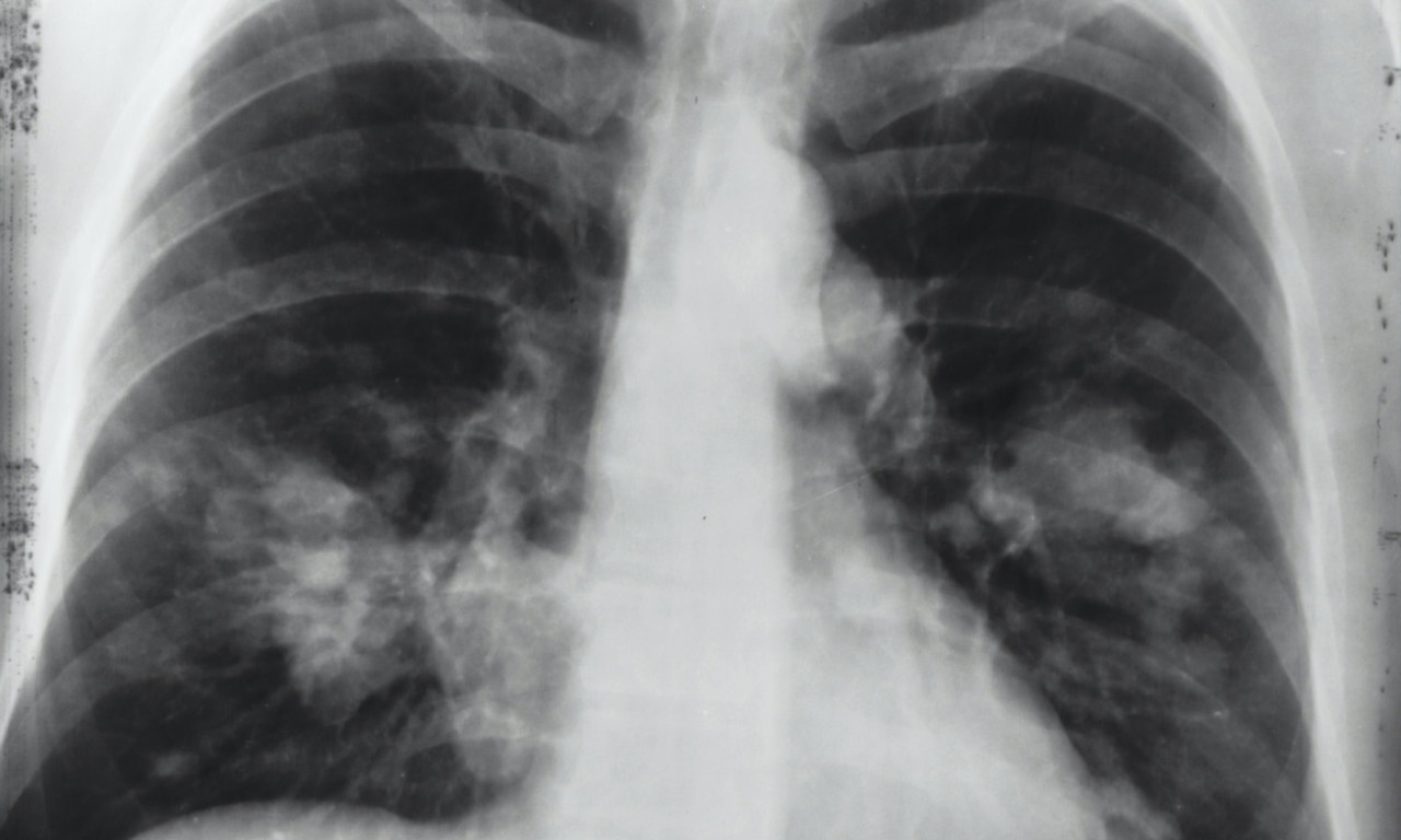
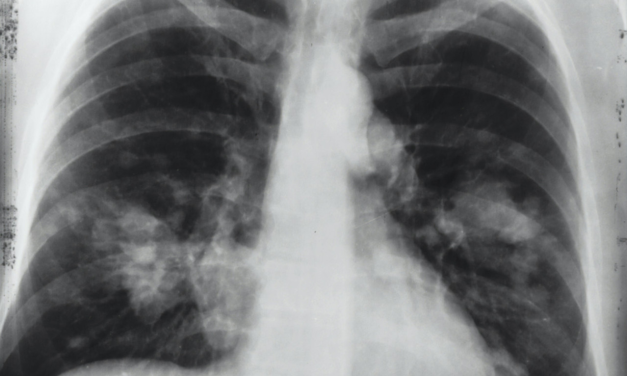
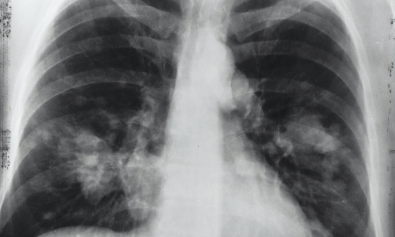
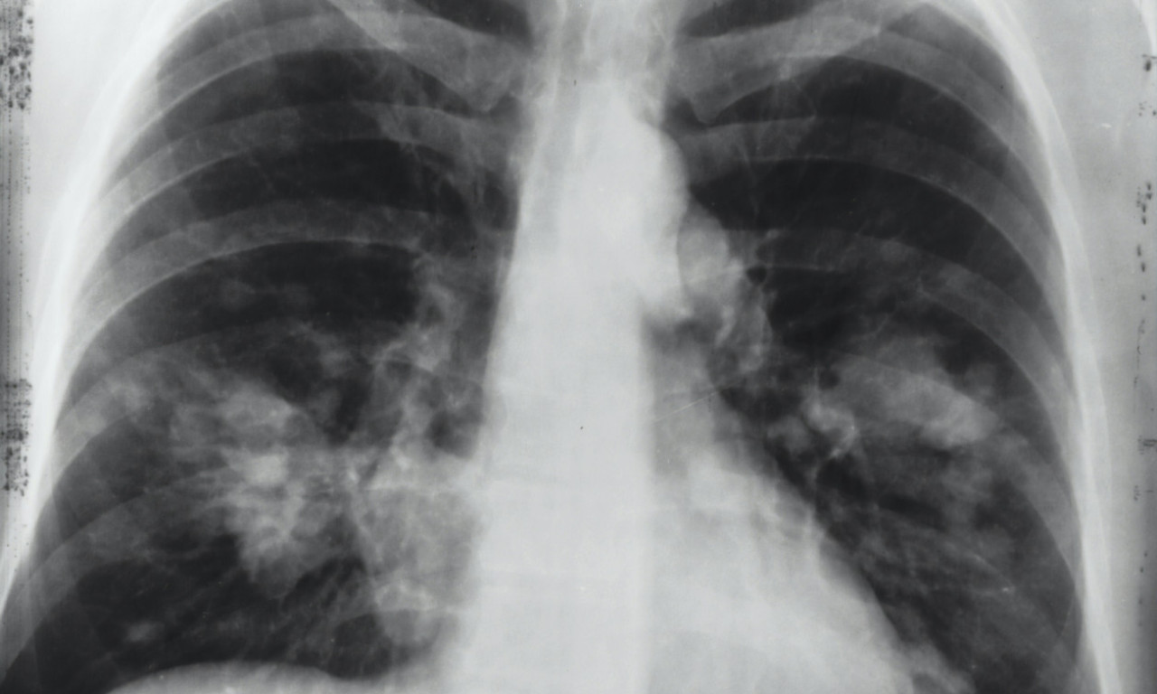
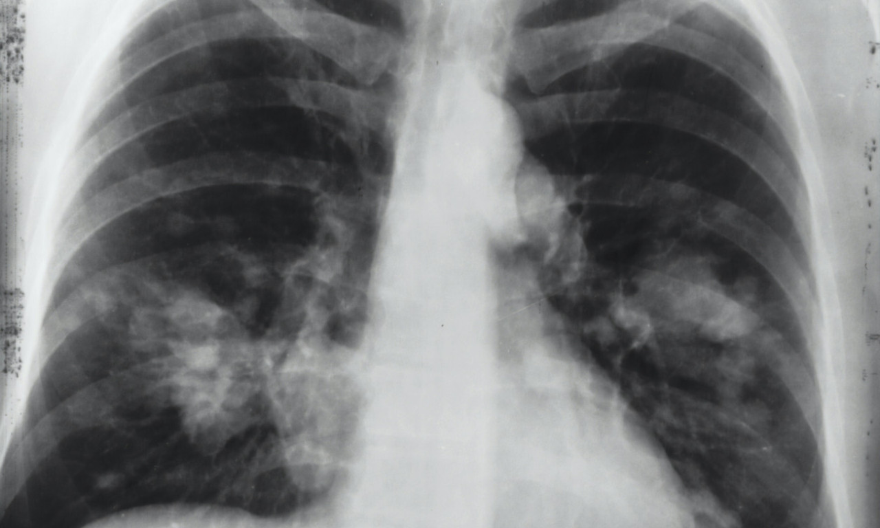
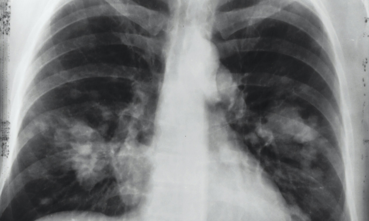
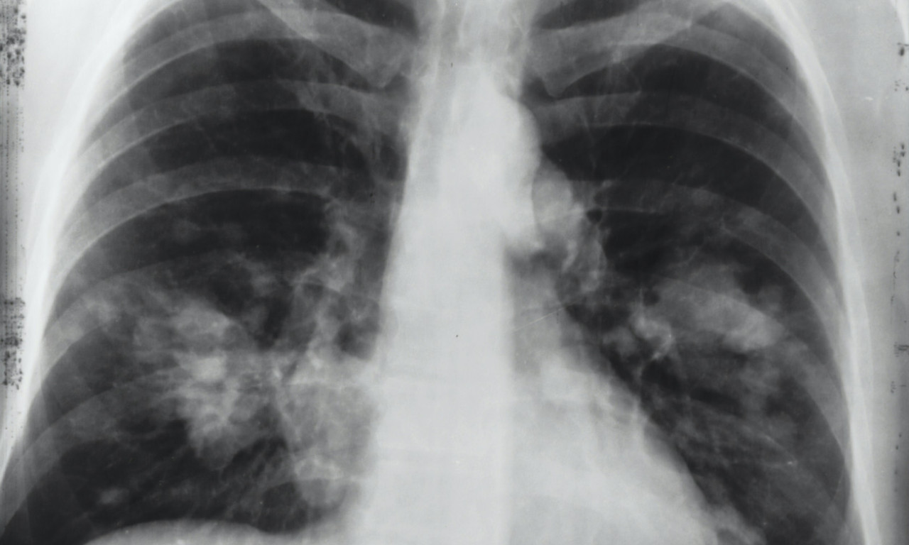
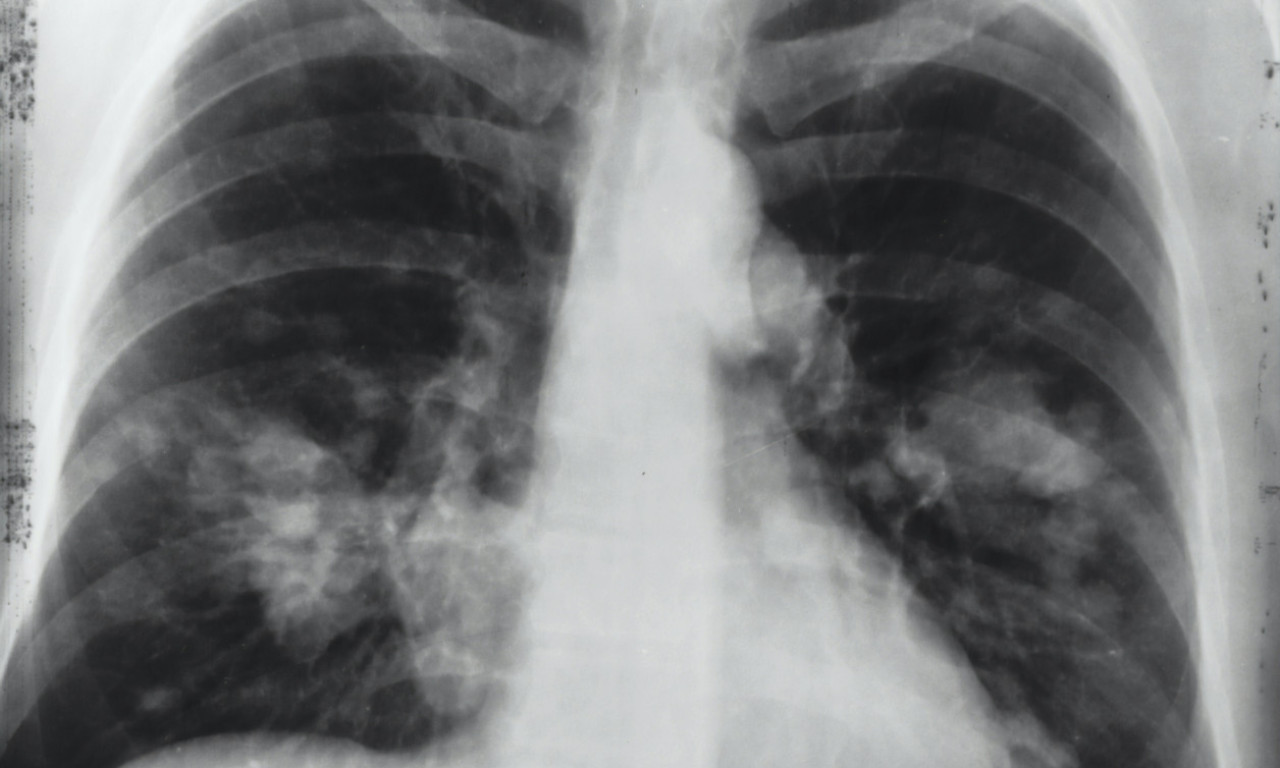
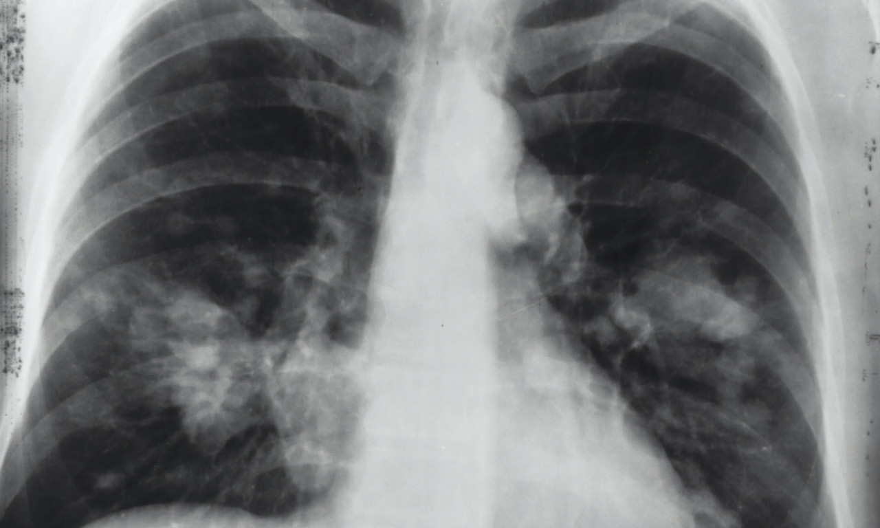
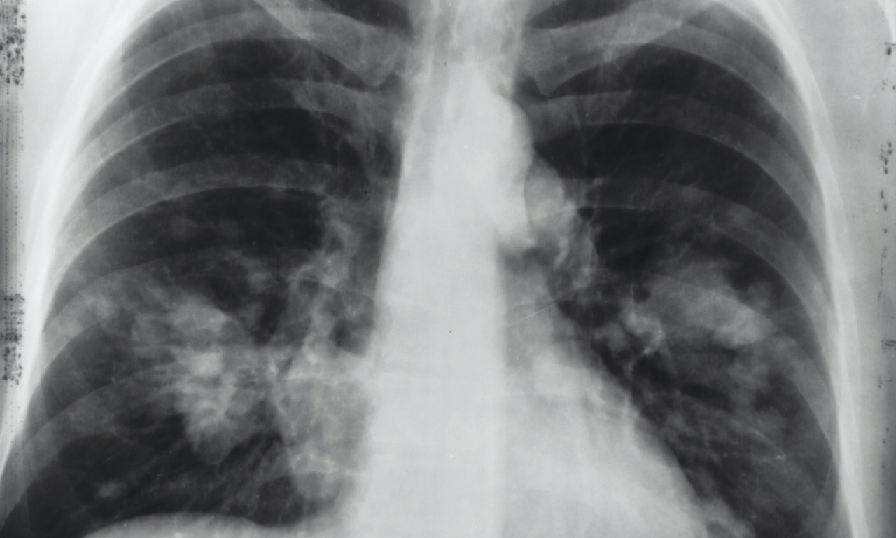
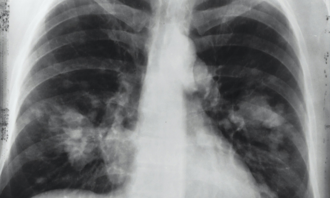
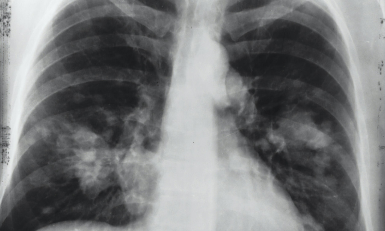
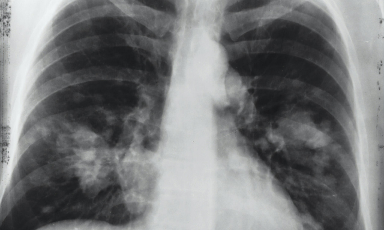
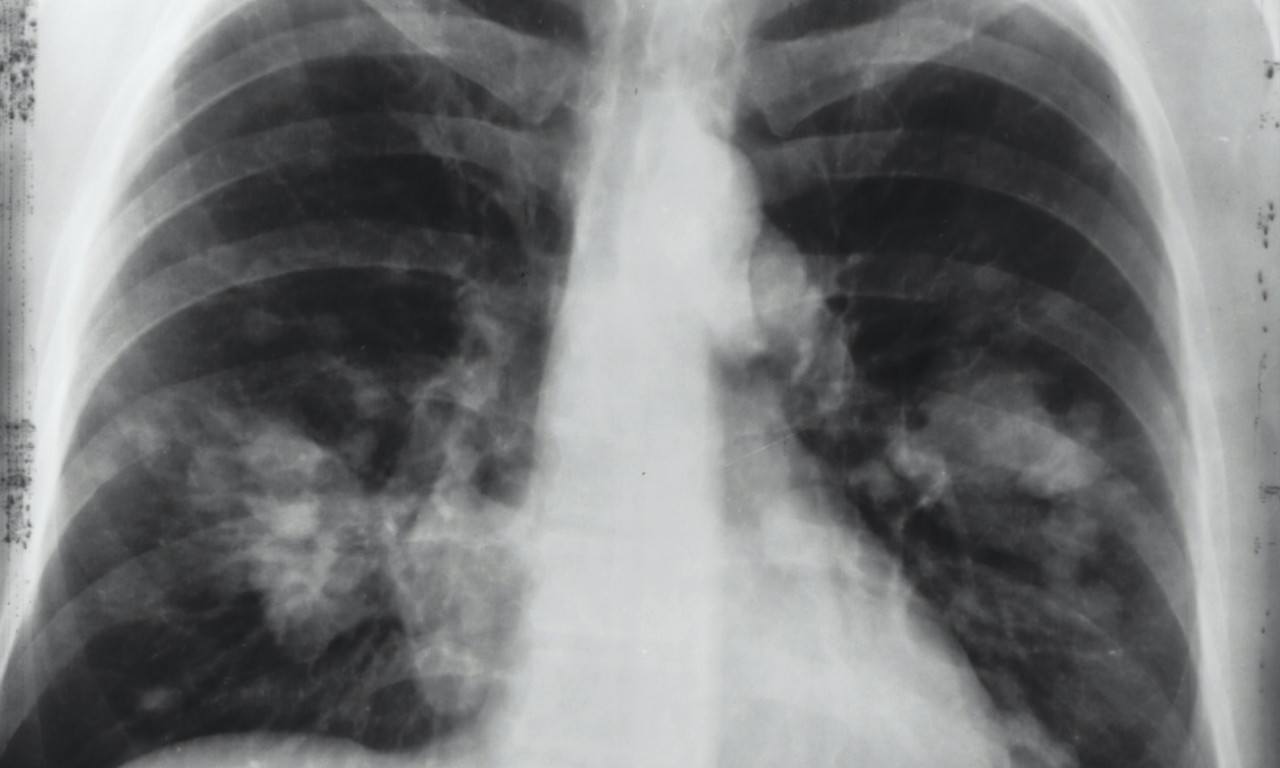
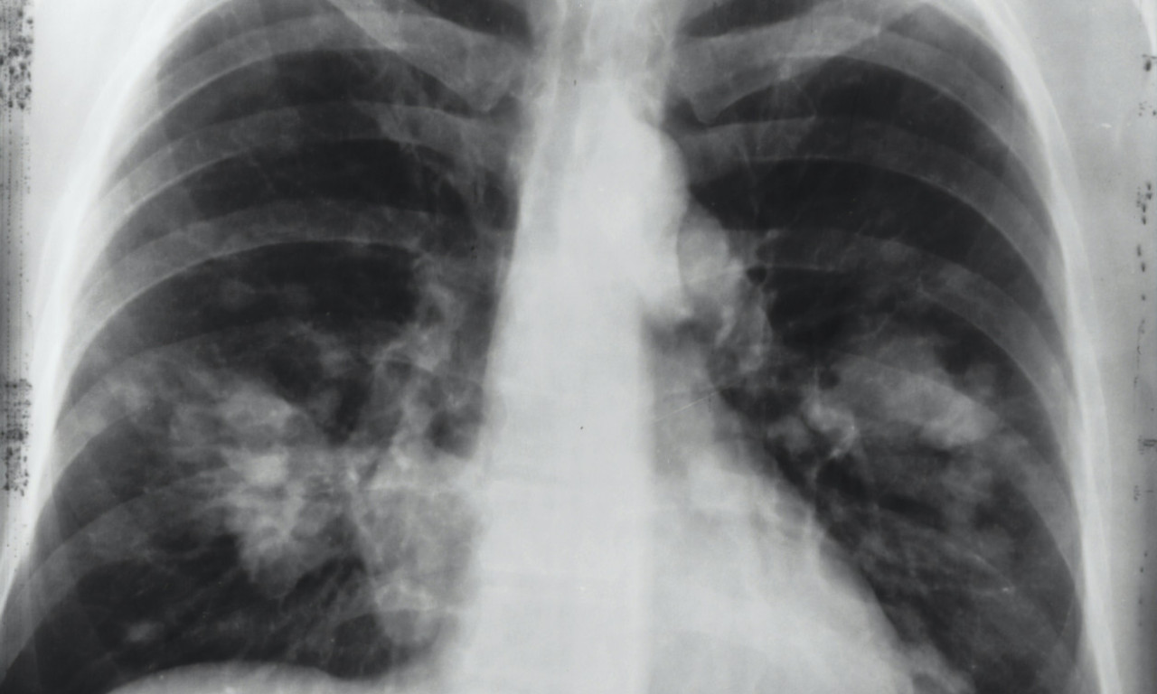
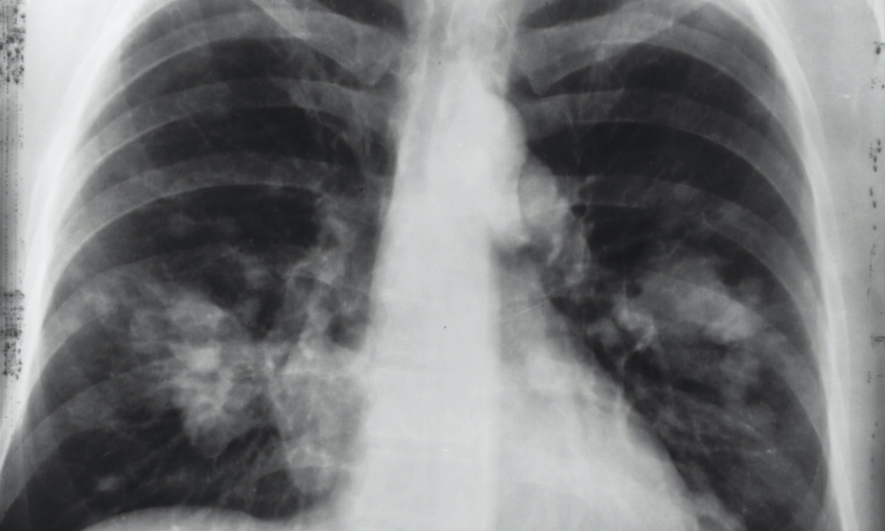
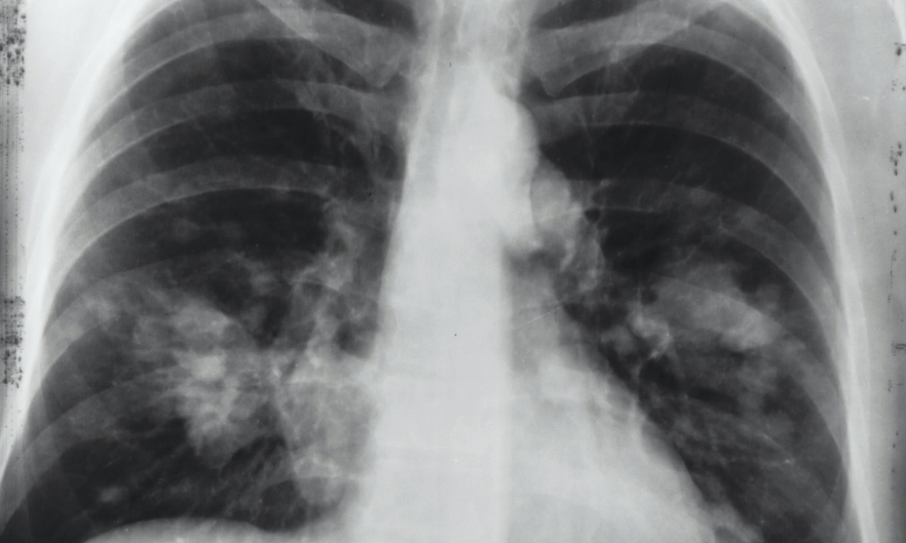
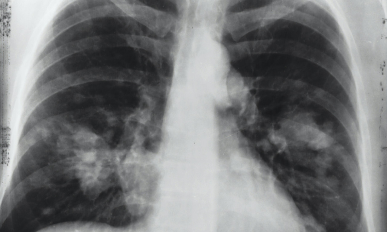
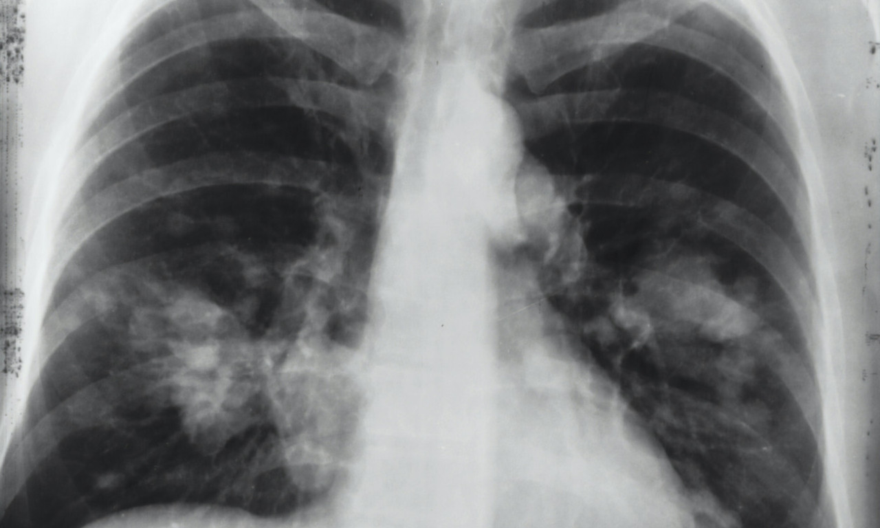
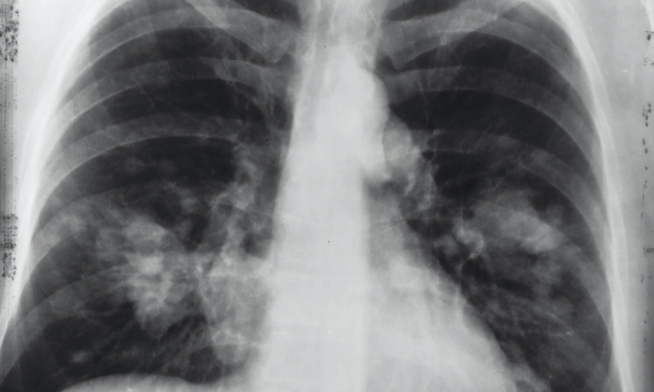
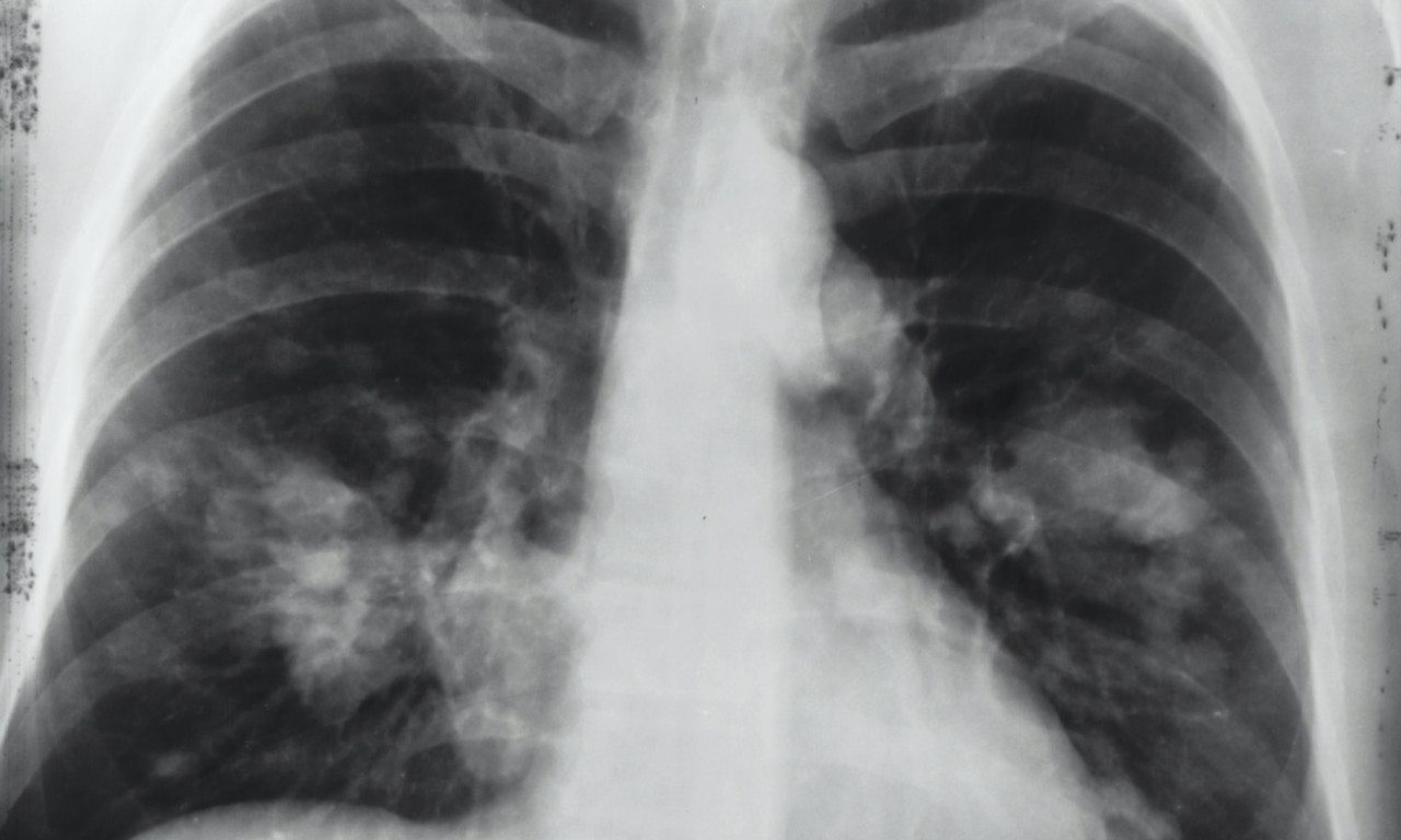
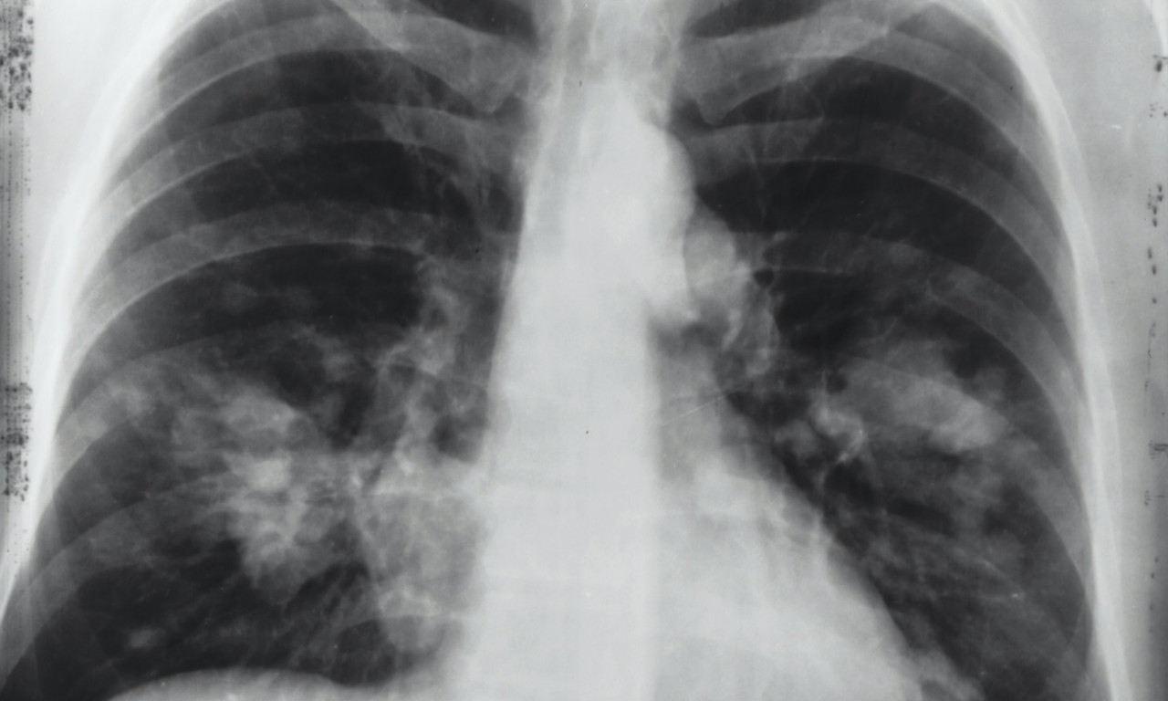
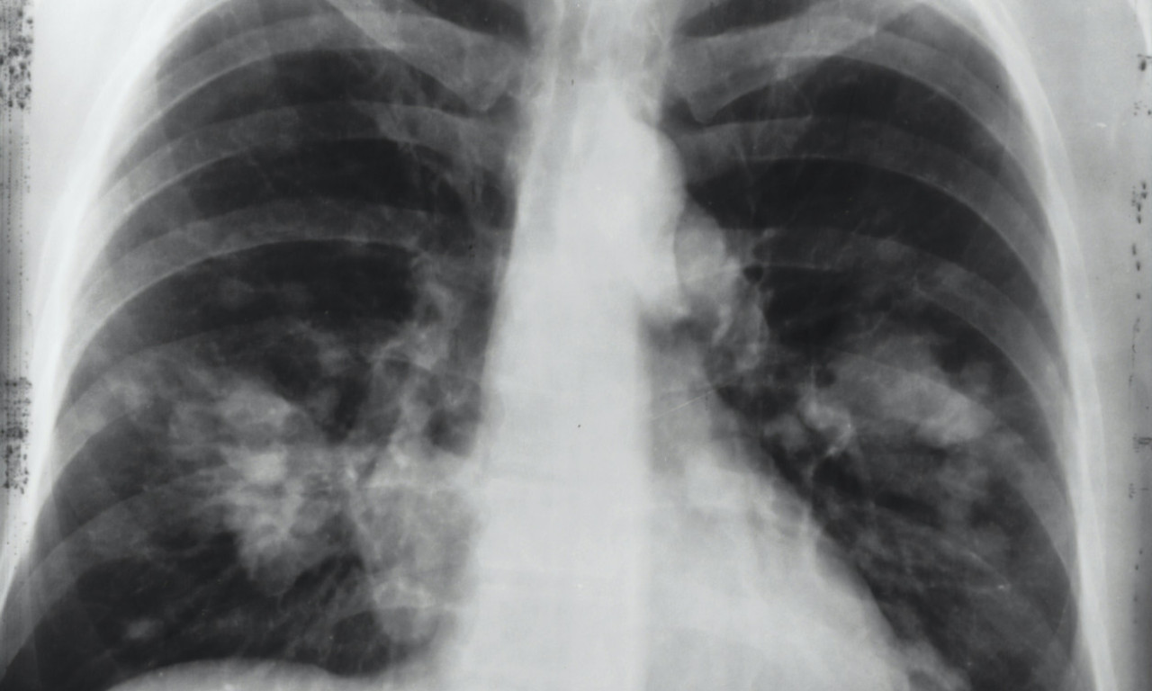
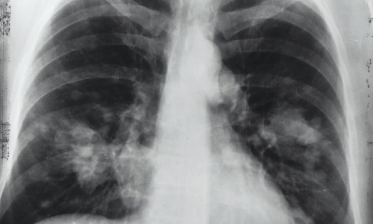
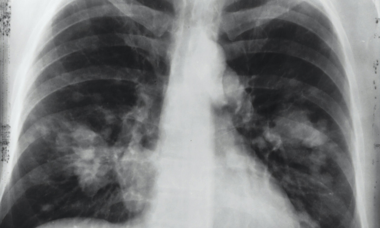
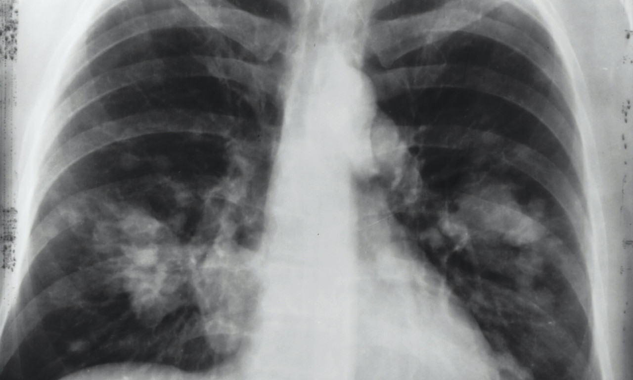
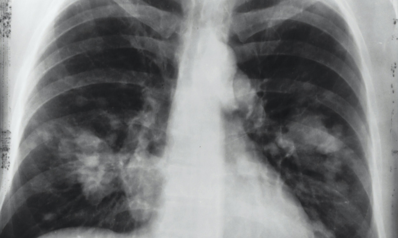
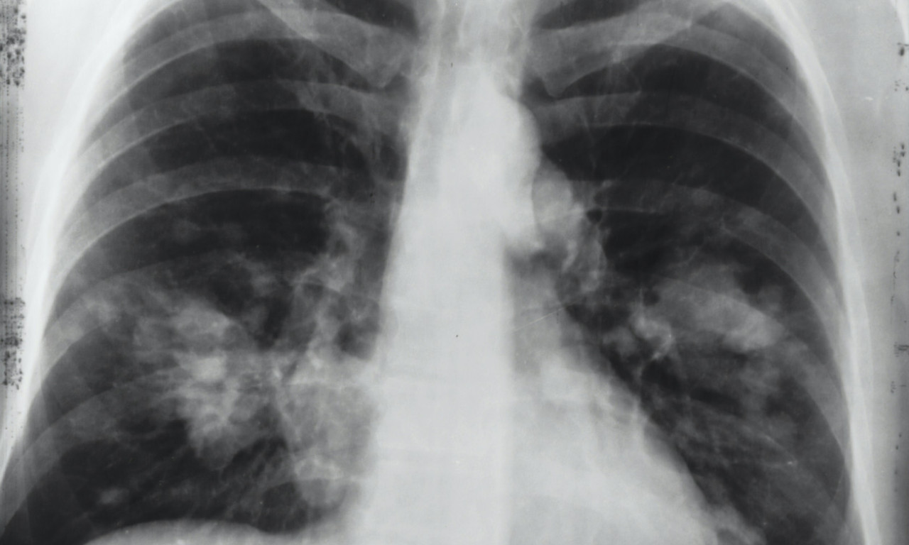
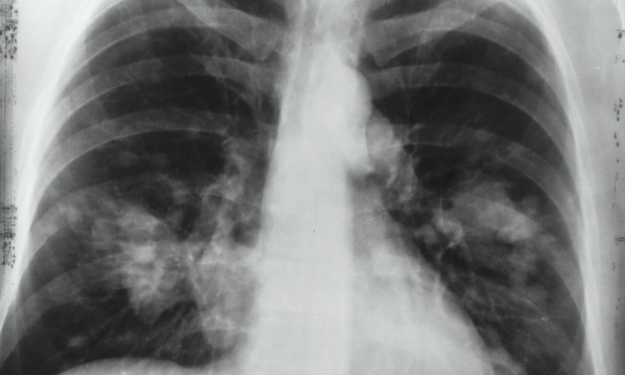
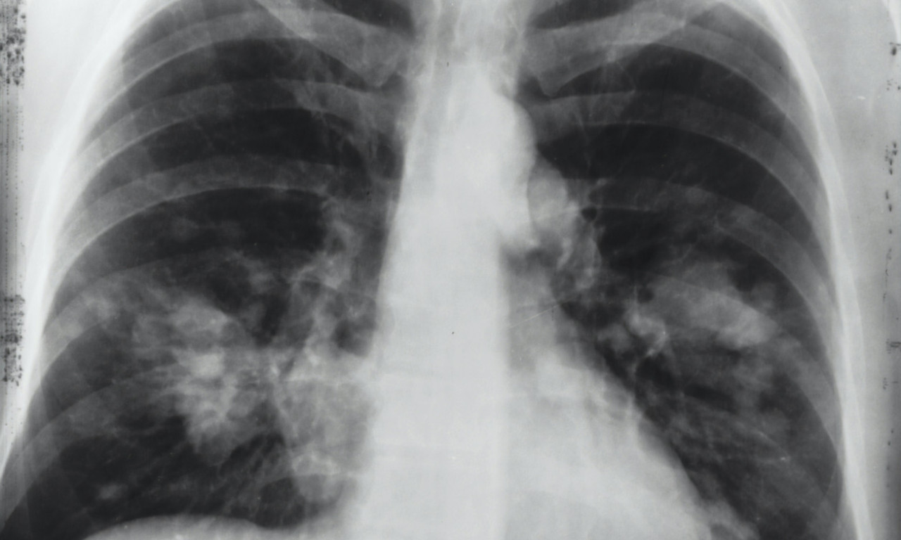
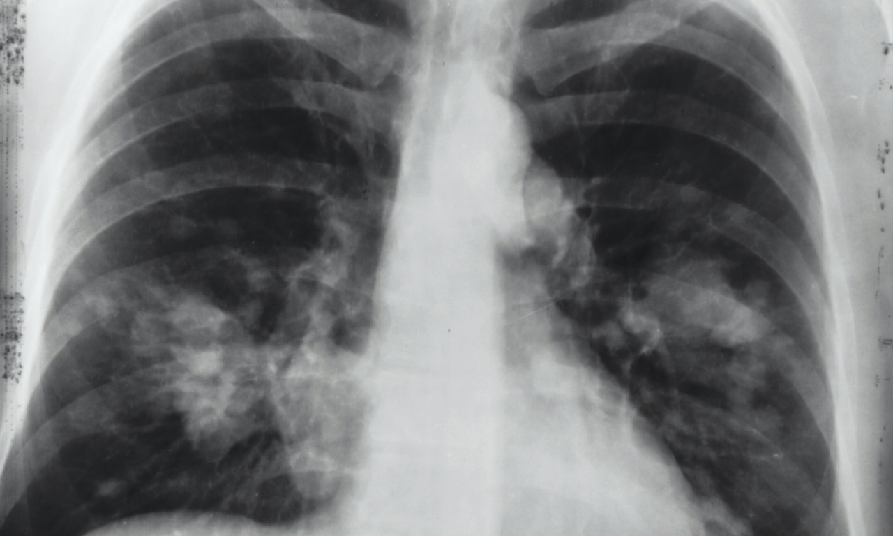
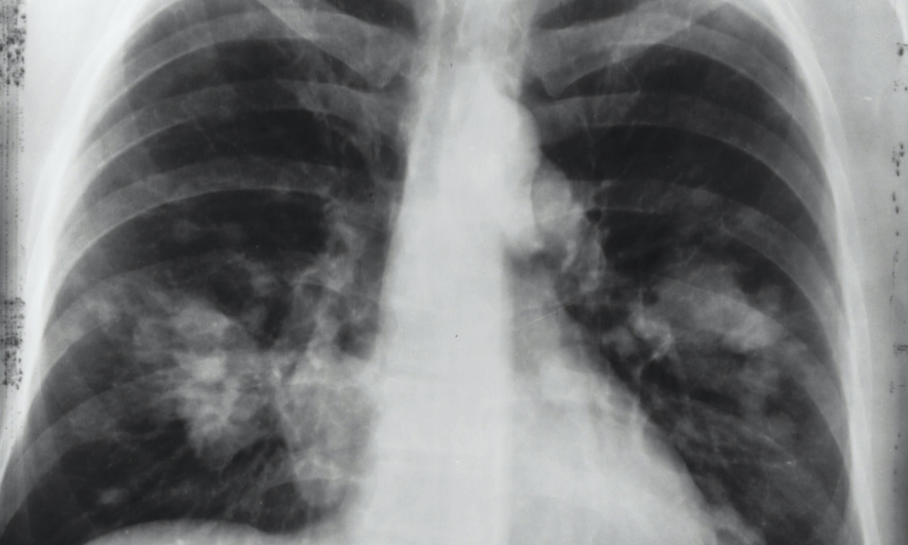
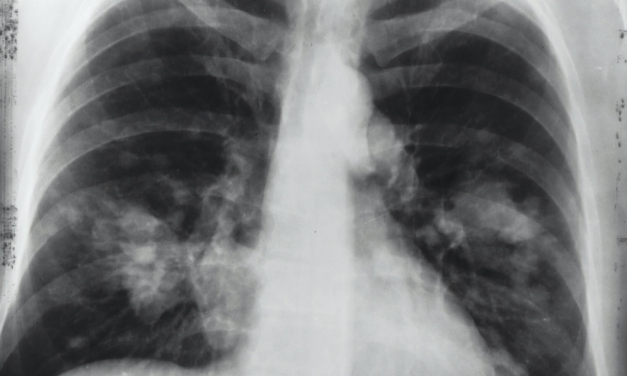
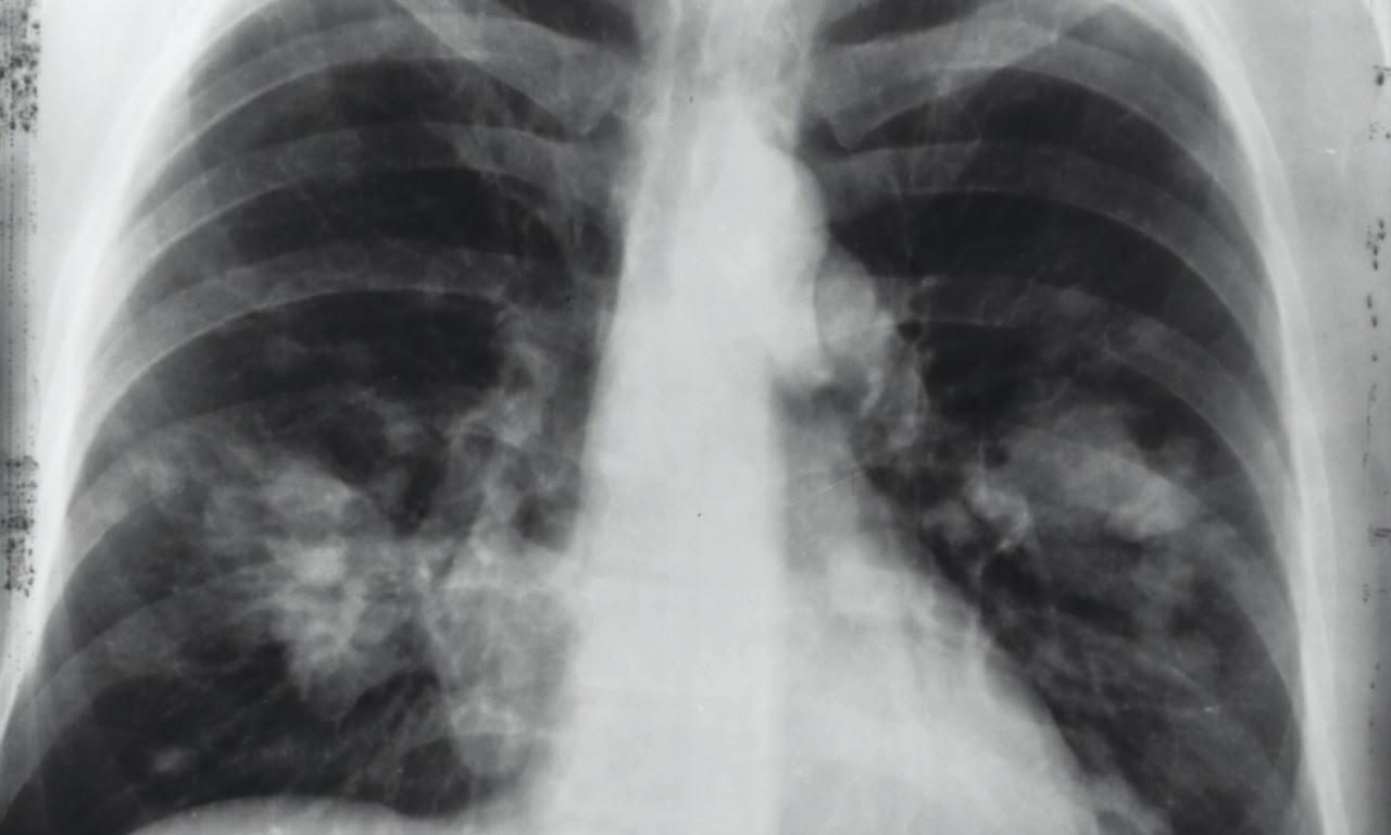
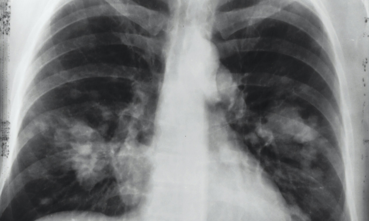
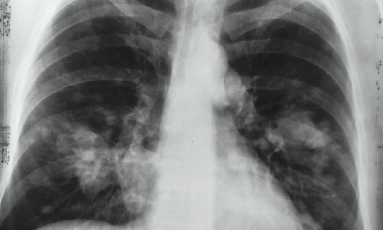
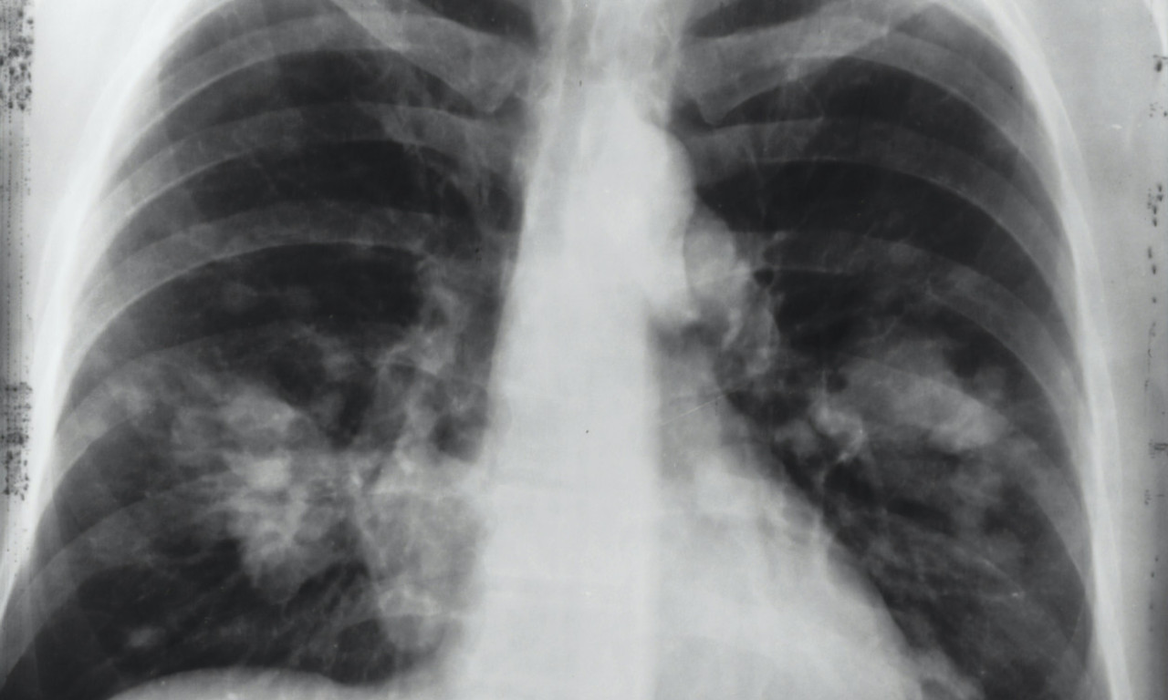
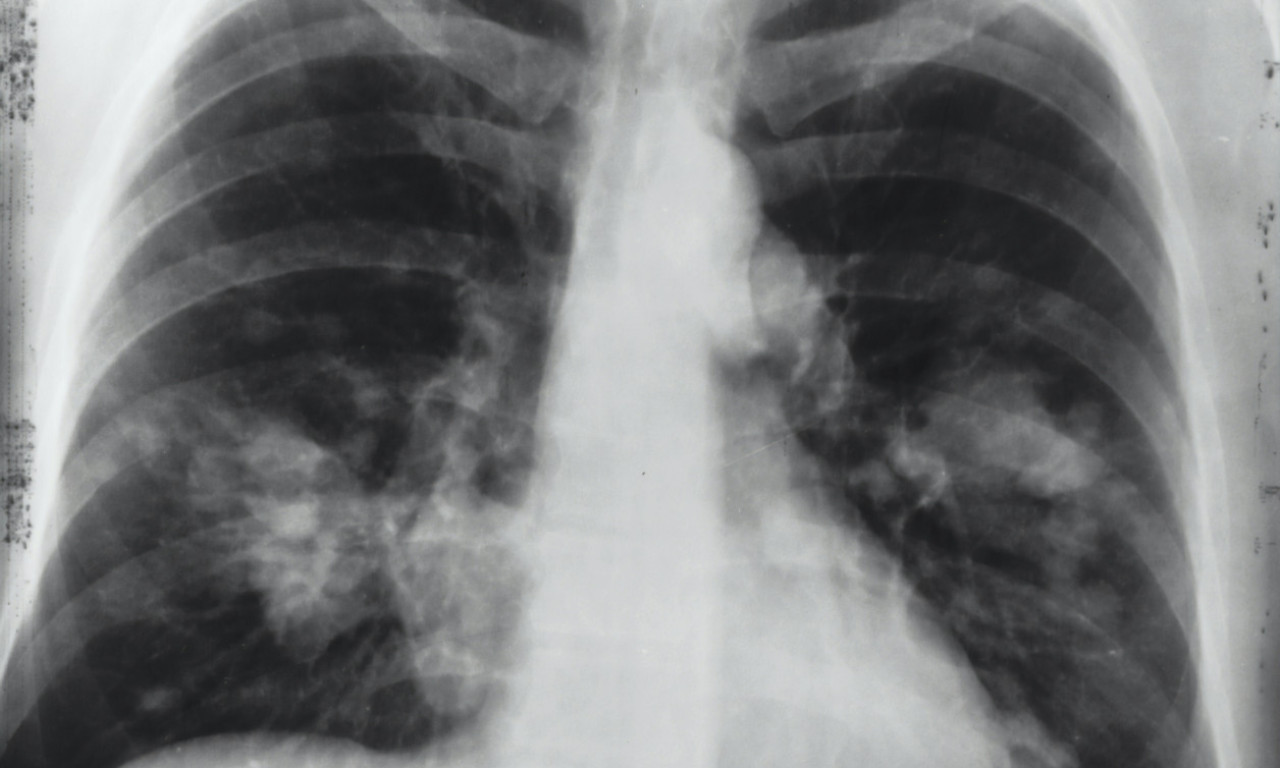
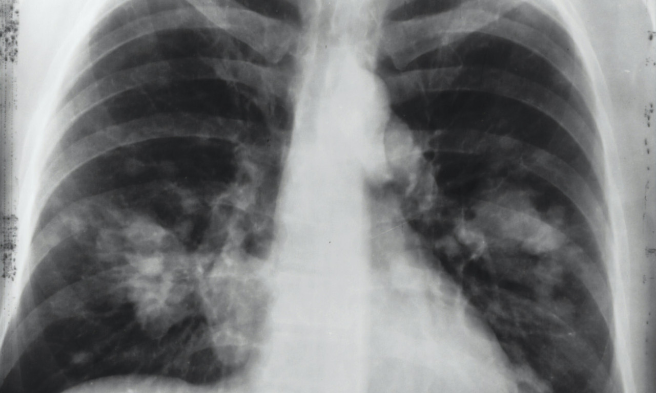
VEŠTAČKA INTELIGENCIJA OTKRIVA RAK PLUĆA MESEC DANA UNAPRED! Potrebno je uraditi osnovne medicinske analize
facebook

VEŠTAČKA INTELIGENCIJA OTKRIVA RAK PLUĆA MESEC DANA UNAPRED! Potrebno je uraditi osnovne medicinske analize

24.04.2025

Vesti
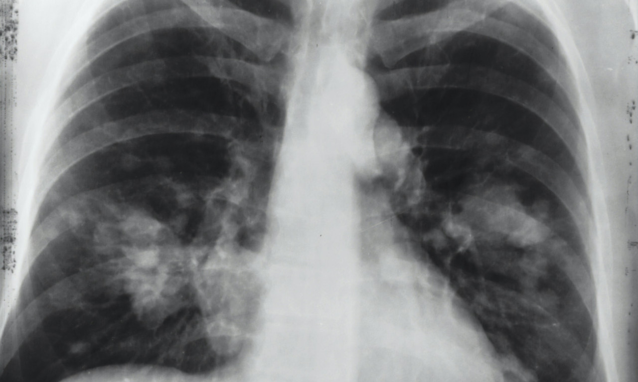
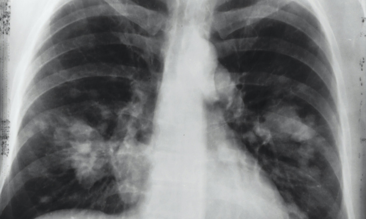
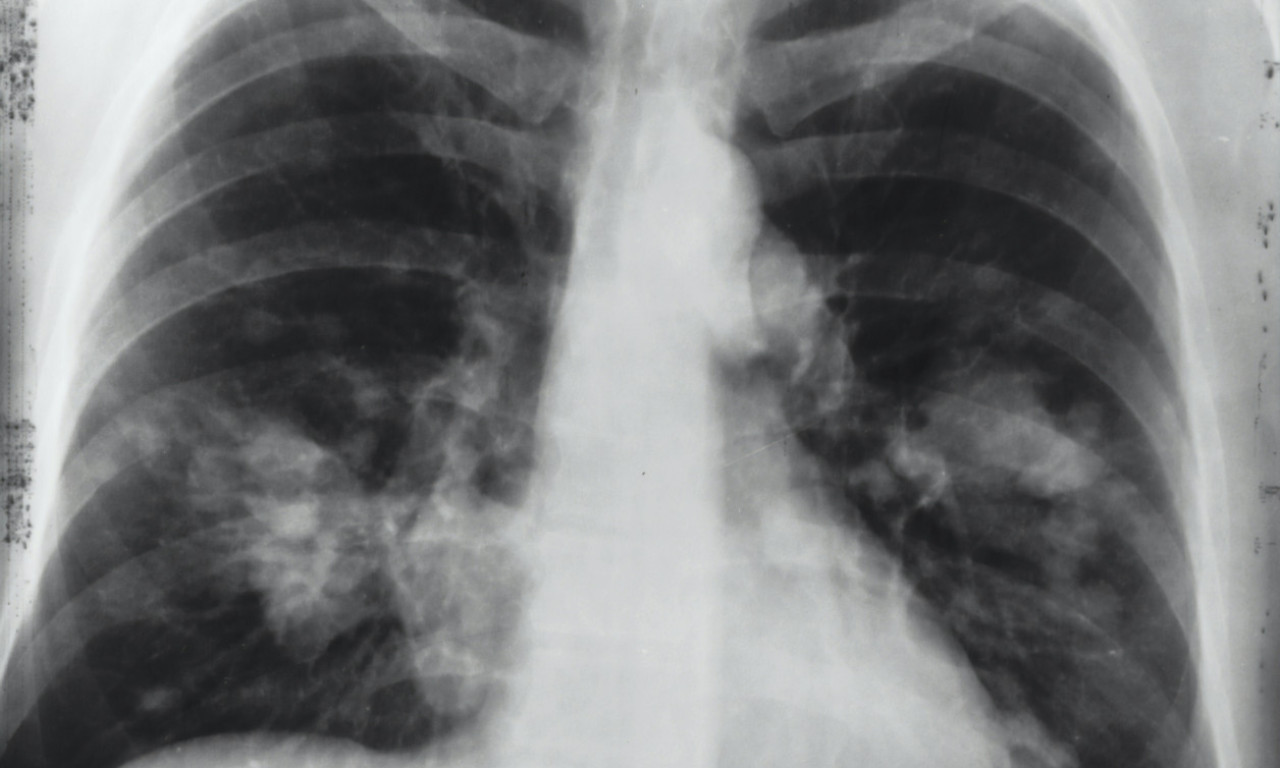
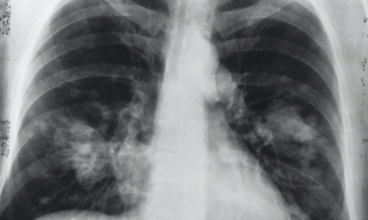
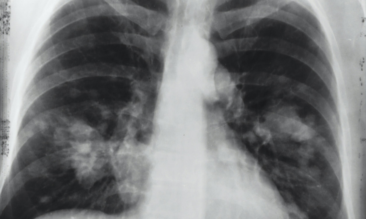
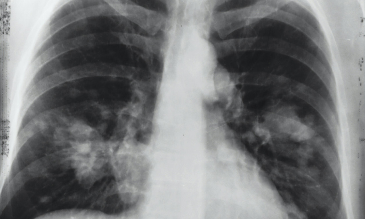
RANI SKRINIG PLUĆA I U OVOM SRPSKOM GRADU Evo kako da zakažete pregled koji će vam spasiti život
facebook

RANI SKRINIG PLUĆA I U OVOM SRPSKOM GRADU Evo kako da zakažete pregled koji će vam spasiti život

31.03.2025

Vesti
PREMINUO BIVŠI FUDBALER JUVENTUSA Imao je samo 32 godine! (FOTO)
facebook

PREMINUO BIVŠI FUDBALER JUVENTUSA Imao je samo 32 godine! (FOTO)

01.03.2025

Sudbine
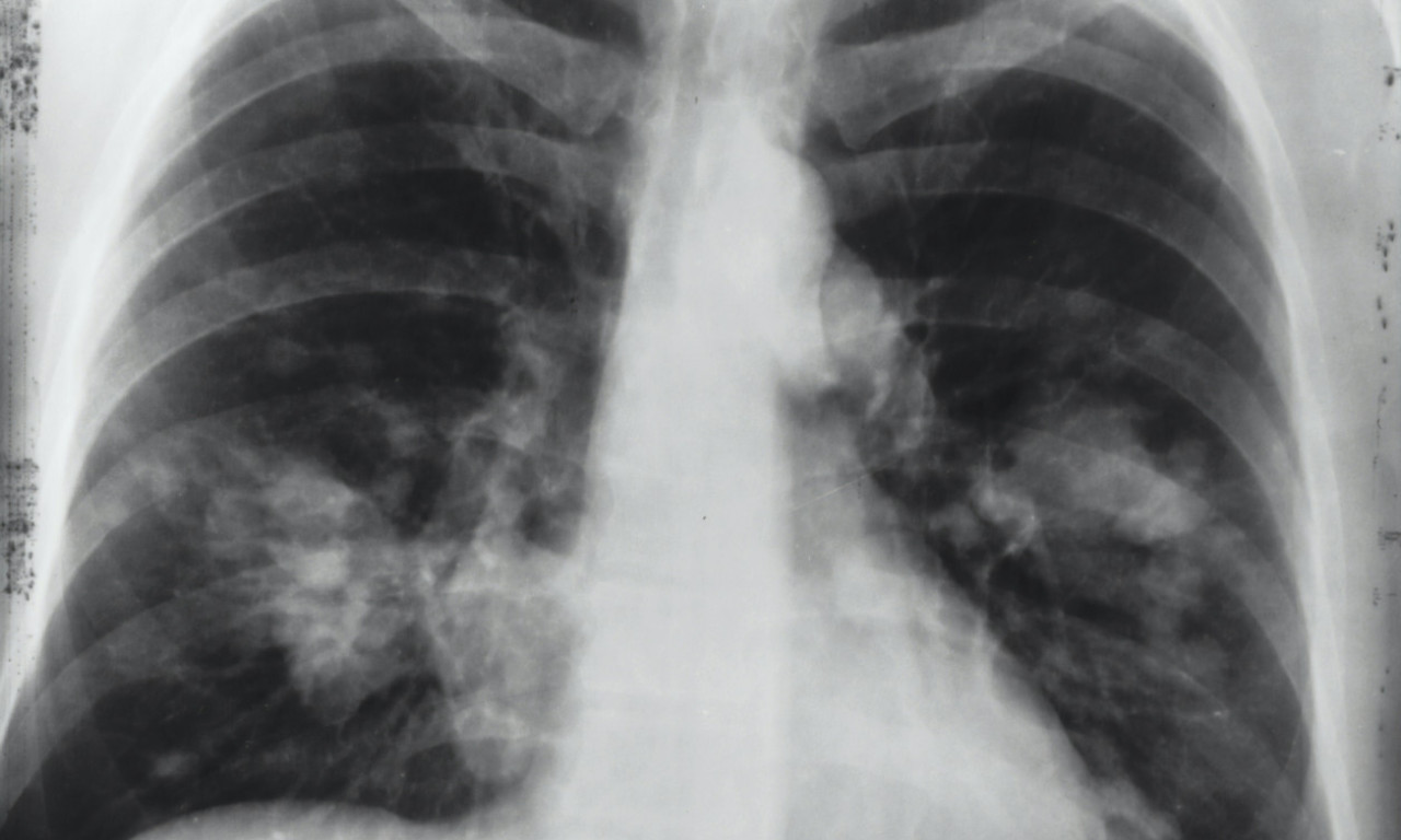
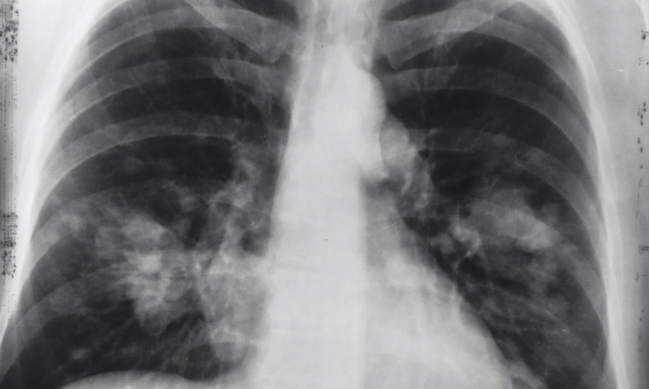
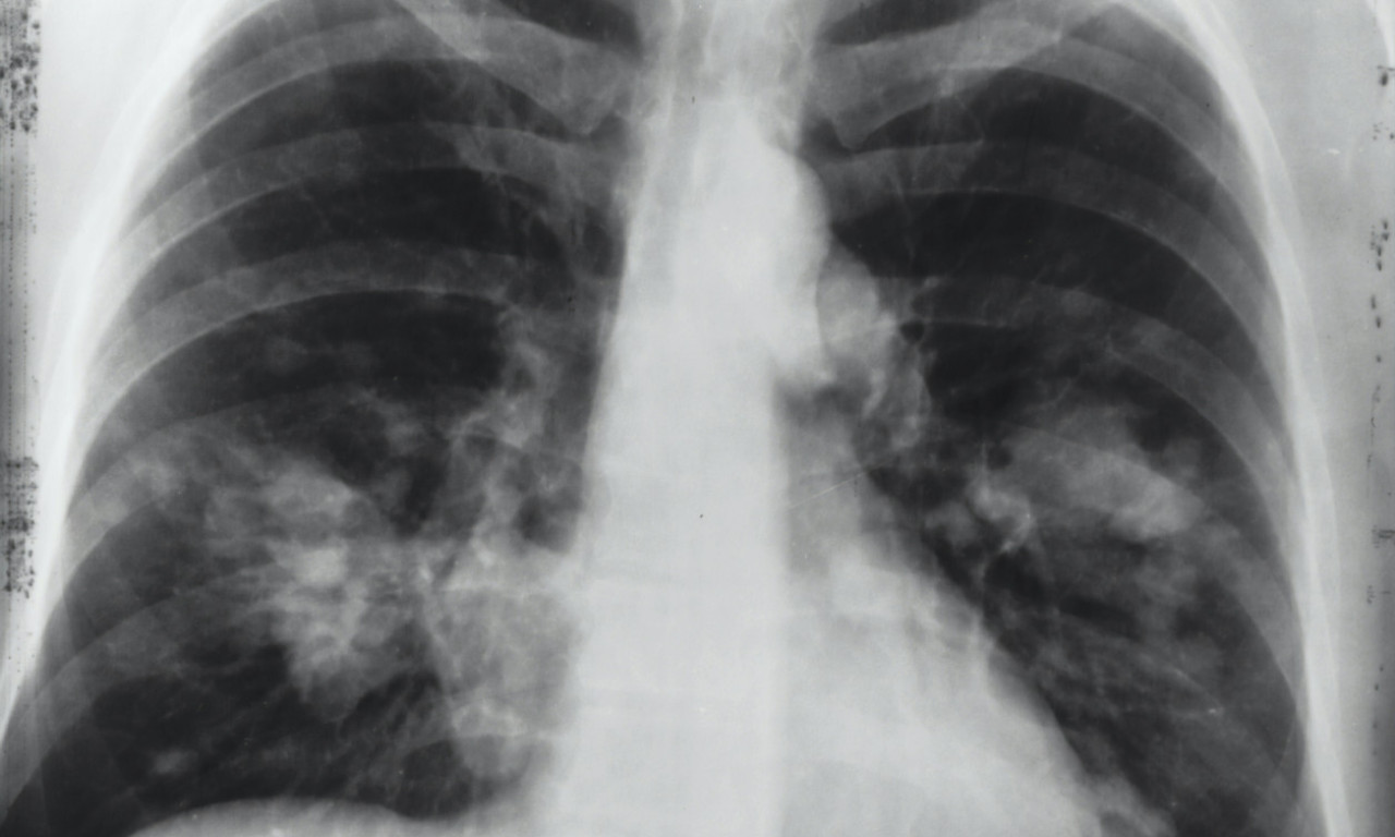
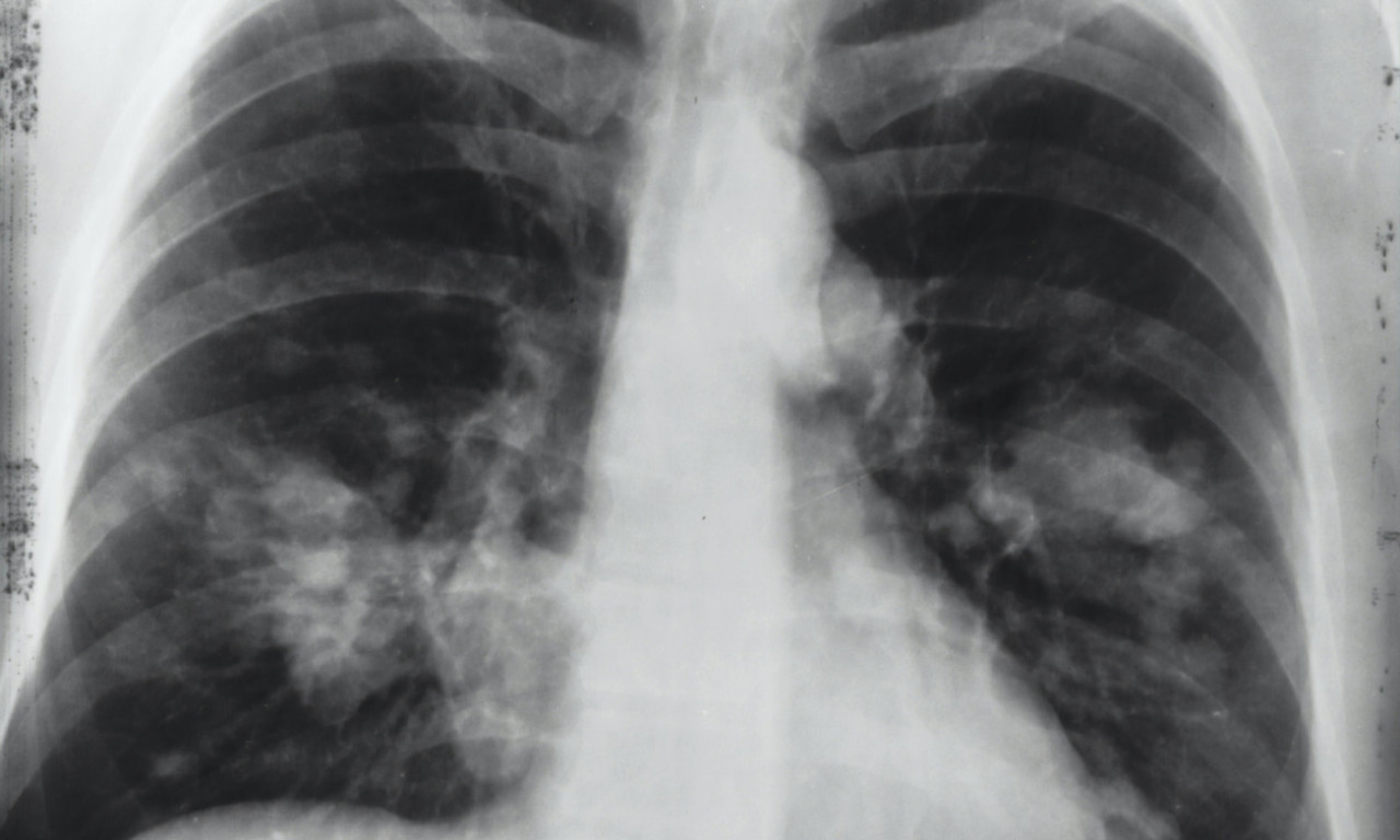
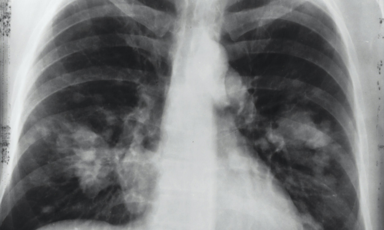
VIŠE OD  90 ODSTO OBOLELIH OD RAKA PLUĆA SU PUŠAČI Ova žena je uspela da ostavi cigarete, možete i vi!
facebook

VIŠE OD 90 ODSTO OBOLELIH OD RAKA PLUĆA SU PUŠAČI Ova žena je uspela da ostavi cigarete, možete i vi!

Na svaka dva sata u Srbiji umre jedan čovek od opasnog karcinoma, upozorili su stručnjaci u emisiji "Uranak"

30.01.2025

Srbija
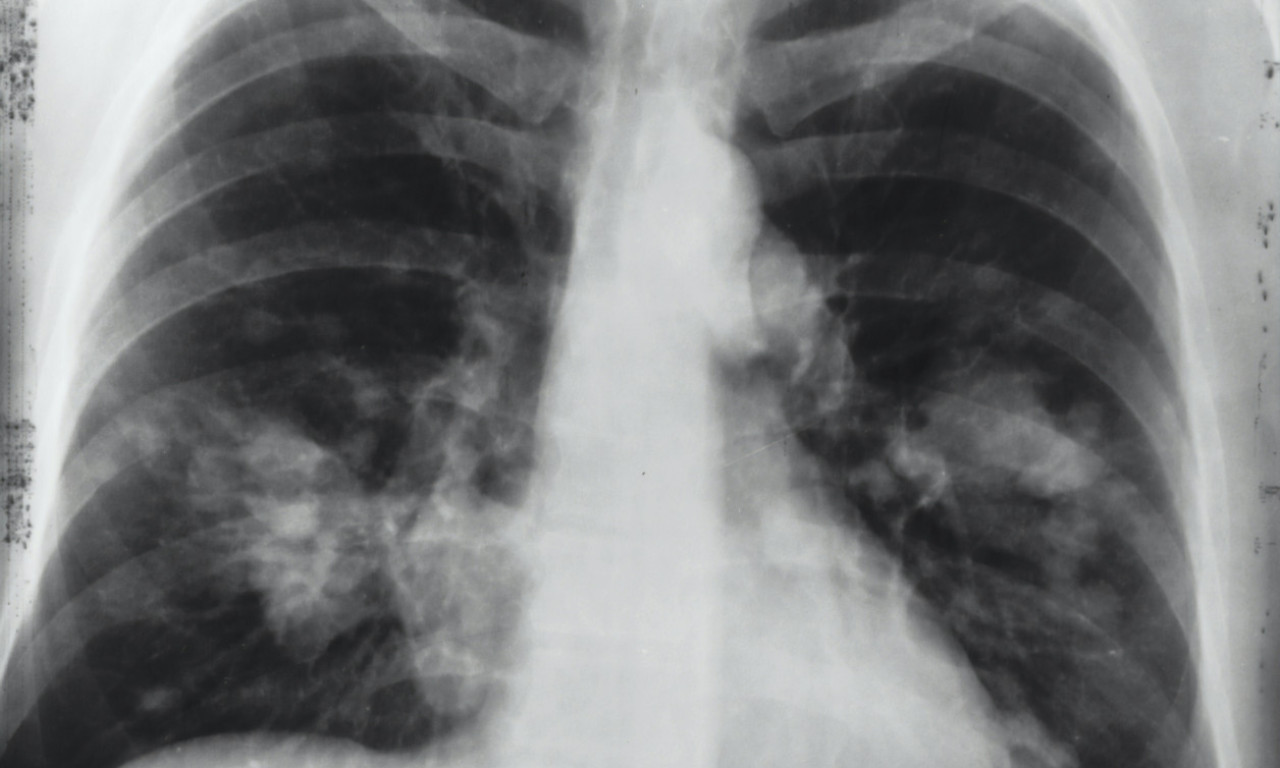
UMOR MOŽE UKAZIVATI NA RAK Evo kada je vreme da se obratite lekaru
facebook

UMOR MOŽE UKAZIVATI NA RAK Evo kada je vreme da se obratite lekaru

Lekari upozoravaju da uporan umor koji ne prolazi može biti simptom ozbiljnijih zdravstvenih problema

20.01.2025

Vesti
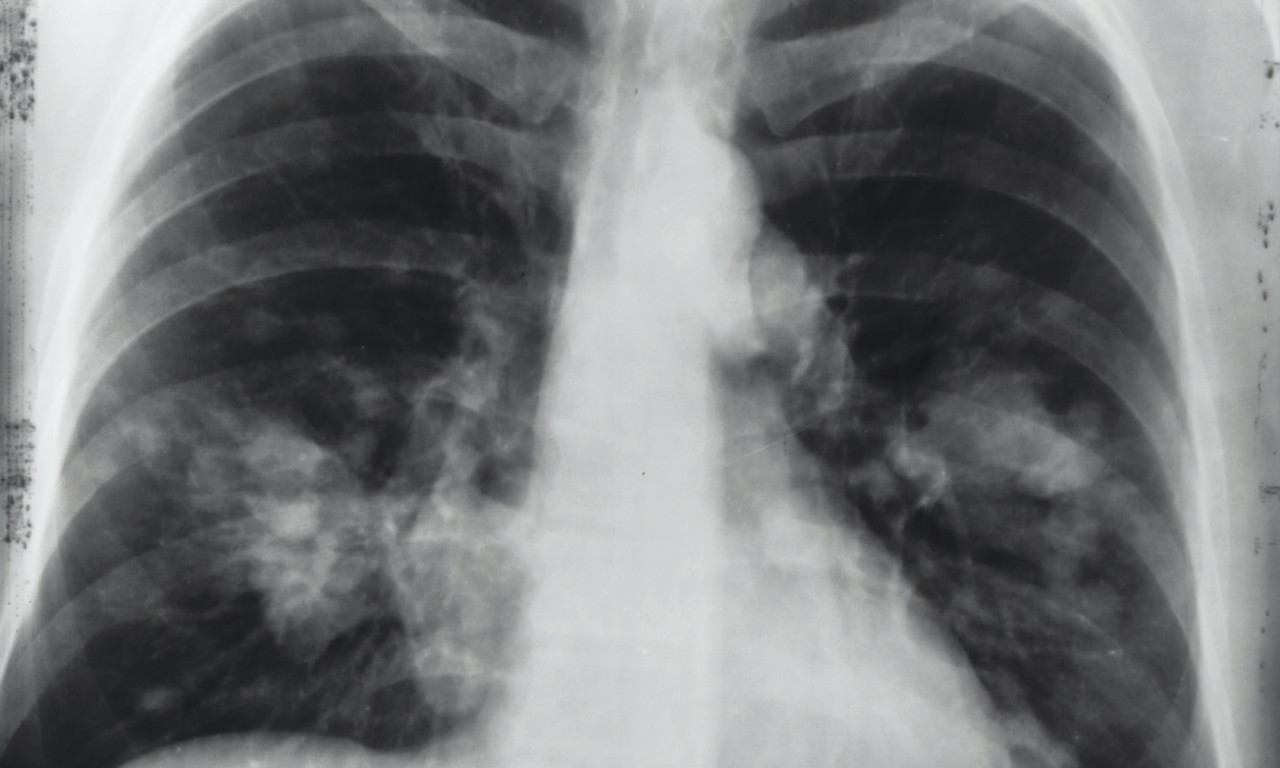
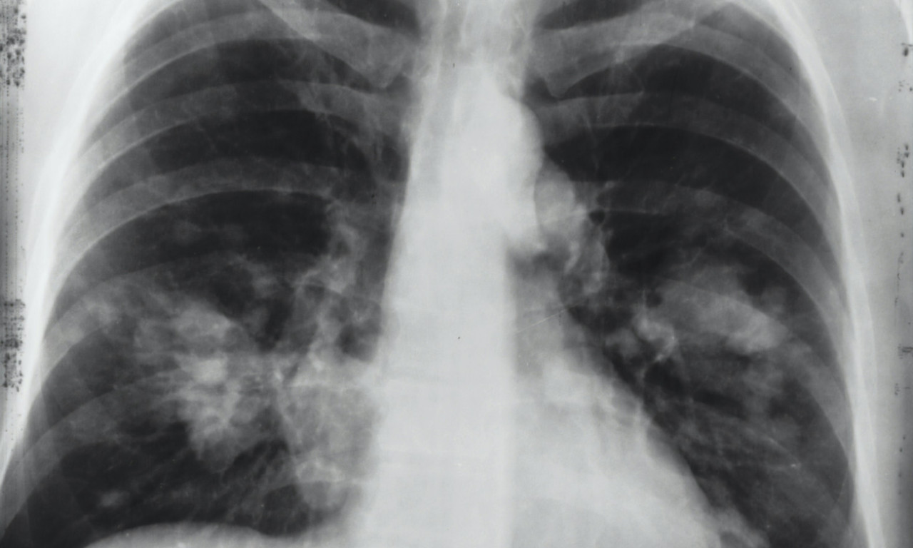
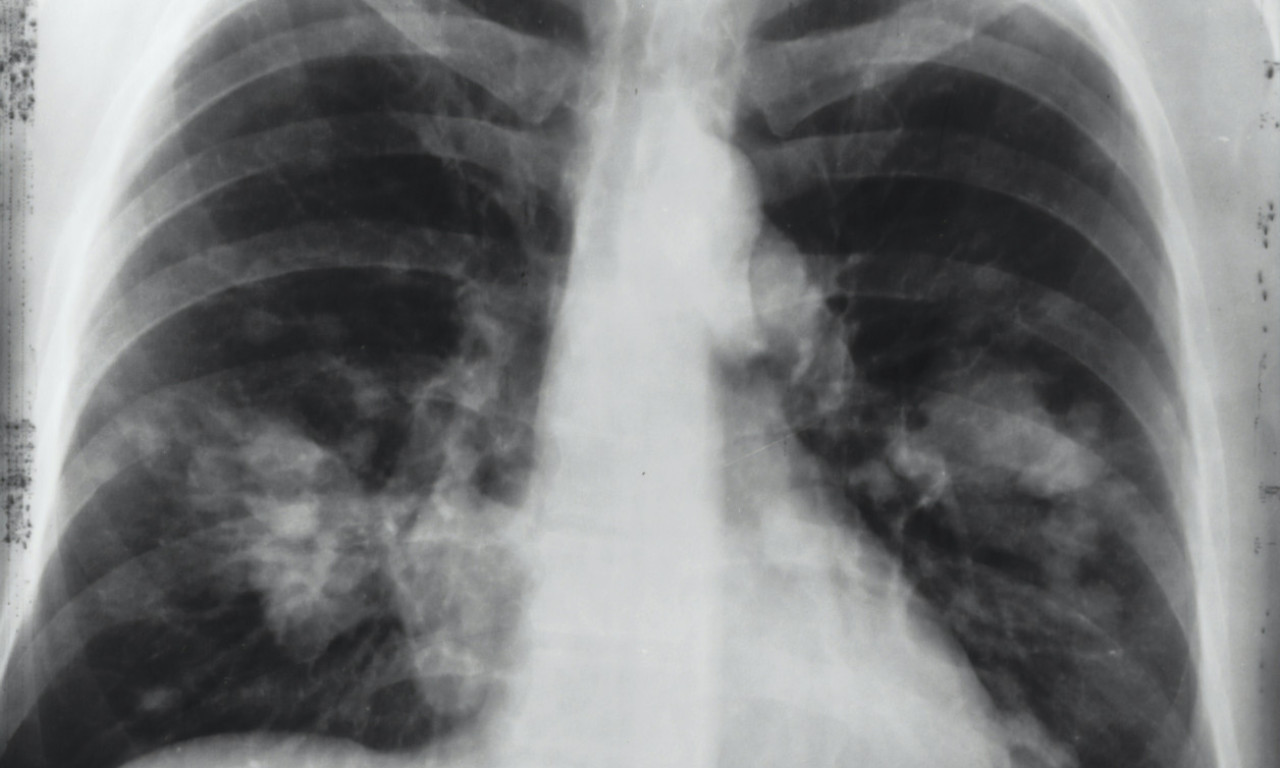
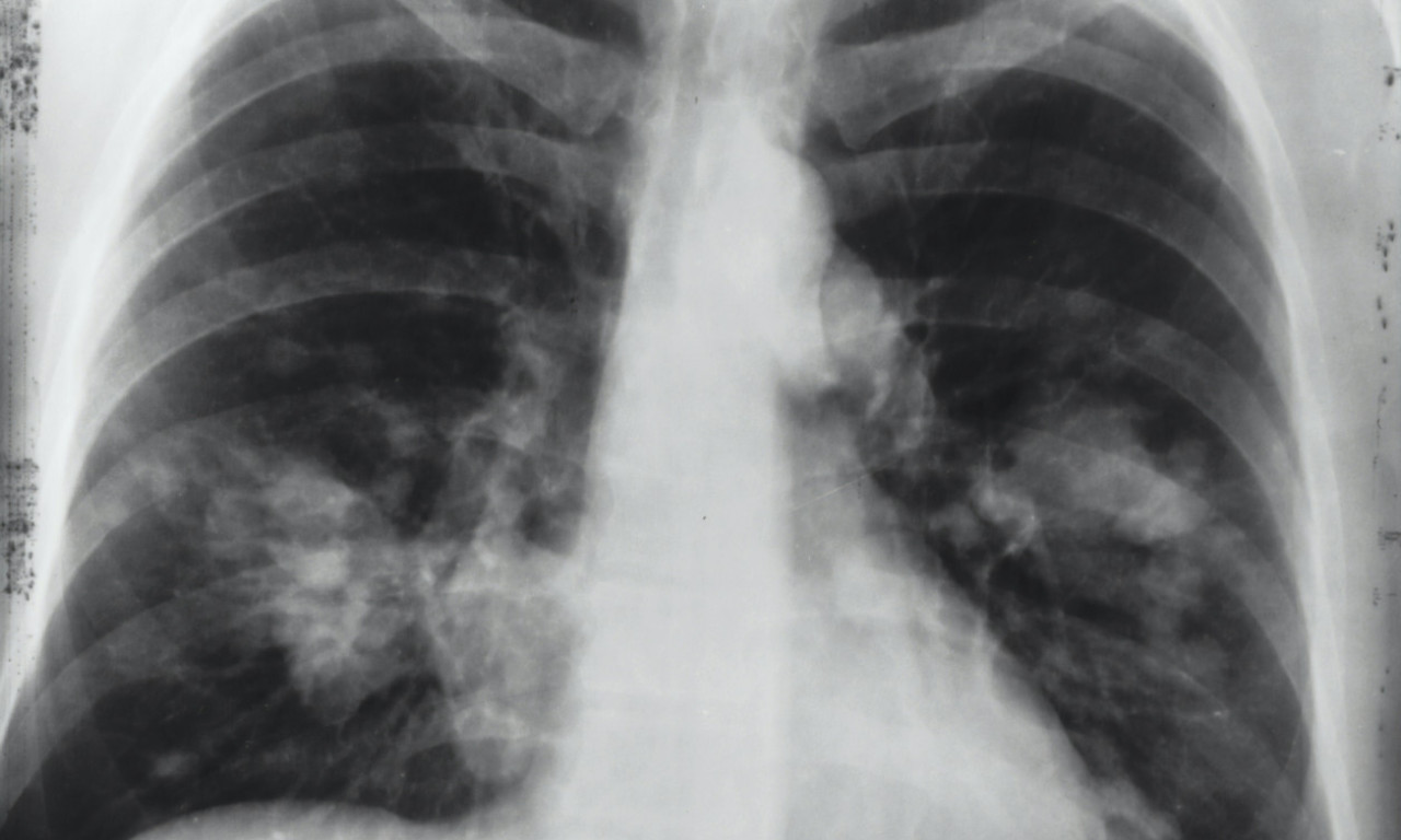
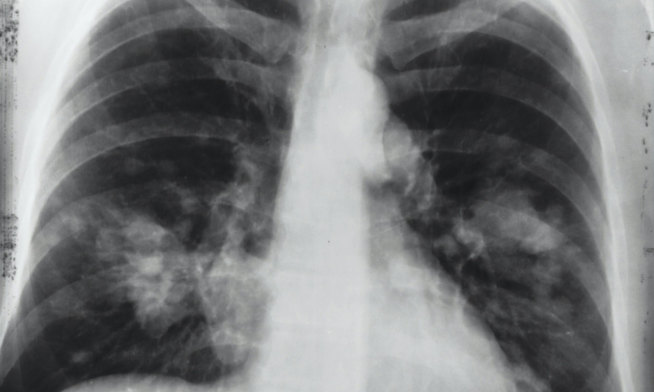
Na svaka dva sata u Srbiji jedna osoba premine od KARCINOMA PLUĆA! Od jeseni počinje "borba" u SRBIJI, a evo i kako
facebook

Na svaka dva sata u Srbiji jedna osoba premine od KARCINOMA PLUĆA! Od jeseni počinje "borba" u SRBIJI, a evo i kako

Svetski dan borbe protiv raka pluća obeležava se svake godine 1. avgusta.

31.07.2024

Srbija
Da li je NOVI LEK rešenje globalnog problema? Lekari objavili da najefikasnije zaustavlja RAK PLUĆA
facebook

Da li je NOVI LEK rešenje globalnog problema? Lekari objavili da najefikasnije zaustavlja RAK PLUĆA

Rak pluća je vodeći uzrok smrti od raka u svetu, a godišnje ima 1,8 miliona smrtnih slučajeva od kancera pluća

01.06.2024

Vesti
Trećina odraslih KONZUMIRA CIGARETE! Srbija uvodi skrining na rano otkrivanje RAKA PLUĆA, a evo zašto je to VAŽNO
facebook

Trećina odraslih KONZUMIRA CIGARETE! Srbija uvodi skrining na rano otkrivanje RAKA PLUĆA, a evo zašto je to VAŽNO

Udruženje za borbu protiv raka pluća "Punim Plućima" organizovalo je, povodom Svetskog dana bez duvanskog dima

31.05.2024

Srbija
ALARMANTNI PODACI U SRBIJI! Od RAKA PLUĆA oboli 7.000 SRBA godišnje, što nas stavlja na drugo mesto u Evropi
facebook

ALARMANTNI PODACI U SRBIJI! Od RAKA PLUĆA oboli 7.000 SRBA godišnje, što nas stavlja na drugo mesto u Evropi

Podatak koji ohrabruje je da se posle pojave prvih simptoma većina pacijenata odmah obrati lekaru

26.04.2024

Srbija
Otkriveno od čega je UMRO najpoznatiji TV policajac - Andre Brauer: Ova BOLEST ga je POBEDILA
facebook

Otkriveno od čega je UMRO najpoznatiji TV policajac - Andre Brauer: Ova BOLEST ga je POBEDILA

Andre je preminuo u ponedeljak, 11. decembra, a sada se oglasio i i njegov predstavnik

14.12.2023

Sudbine
CRNA STATISTIKA: 70% obolelih RAK PLUĆA otkrije tek kad su ŠANSE ZA IZLEČENJE MINIMALNE, ovo je NAJVEĆI PROBLEM
facebook

CRNA STATISTIKA: 70% obolelih RAK PLUĆA otkrije tek kad su ŠANSE ZA IZLEČENJE MINIMALNE, ovo je NAJVEĆI PROBLEM

Doktor je objasnio koje metode lečenja postoje u Srbiji i na koji način se određuje da li će pacijent biti podvrgnut inovativnom lečenju

14.12.2023

Srbija
KORONA MI JE SPASILA ŽIVOT! Ispovest DIZAJNERKE koja je SLUČAJNO SAZNALA da boluje od RAKA PLUĆA i izlečila se
facebook

KORONA MI JE SPASILA ŽIVOT! Ispovest DIZAJNERKE koja je SLUČAJNO SAZNALA da boluje od RAKA PLUĆA i izlečila se

Pneumolog, dr Vesna Ćerima Krstić u emisiji "Uranak" na televiziji K1 objašnjava da u ranoj fazi karcinom pluća nema nikakve simptome

27.11.2023

Vesti
Stanje mu se NAGLO POGORŠALO, bio je priključen na VEŠTAČKO DISANJE: Ovo je BOLEST sa kojom se Laušević borio
facebook

Stanje mu se NAGLO POGORŠALO, bio je priključen na VEŠTAČKO DISANJE: Ovo je BOLEST sa kojom se Laušević borio

On je imao rak pluća

15.11.2023

Sudbine
RAK PLUĆA otkriven kod 52 pacijenta i to BEZ SIMPTOMA: Skrining spasava ŽIVOTE, a radi se samo na jednom INSTITUTU
facebook

RAK PLUĆA otkriven kod 52 pacijenta i to BEZ SIMPTOMA: Skrining spasava ŽIVOTE, a radi se samo na jednom INSTITUTU

U Vojvodini je u periodu od 20. septembra 2020. do 1. avgusta 2023. pregledano 4.354 pacijenata

31.08.2023

Srbija
Srbi PUŠE kao Turci: Oko 7.000 ljudi OBOLI od RAKA PLUĆA, ali i niza DRUGIH bolesti
facebook

Srbi PUŠE kao Turci: Oko 7.000 ljudi OBOLI od RAKA PLUĆA, ali i niza DRUGIH bolesti

Do kraja ove godine očekuje se da u praksi zaživi Zakon o zaštiti stanovništva od izloženosti duvanskom dimu

03.06.2023

Srbija
Poražavajuća statistika: Hrvati NAJDEBLJI u EU, a u samom su vrhu i po broju PUŠAČA
facebook

Poražavajuća statistika: Hrvati NAJDEBLJI u EU, a u samom su vrhu i po broju PUŠAČA

Pušenje, prekomerna telesna težina, kao i zagađen vazduh su faktori rizika od raka u Hrvatskoj u većoj meri nego u ostatku EU

02.02.2023

Region
OPASNE, a popularne: Naša DECA koriste ELEKTRONSKE CIGARETE već u ŠESTOM razredu
facebook

OPASNE, a popularne: Naša DECA koriste ELEKTRONSKE CIGARETE već u ŠESTOM razredu

Broj pušača u Srbiji, kao i broj obolelih od raka pluća raste uprkos činjenici koliko je pušenje štetno

30.01.2023

Srbija
Srbija drži PRVO MESTO u Evropi po smrtnosti od KARCINOMA PLUĆA - zašto je to tako?
facebook

Srbija drži PRVO MESTO u Evropi po smrtnosti od KARCINOMA PLUĆA - zašto je to tako?

Ukoliko se otkrije na vreme, ova opaka bolest je izlečiva

30.12.2022

Vesti
Od STRAŠNE BOLESTI koja je uzela Masima, u Srbiji godišnje UMRE 4.600 LJUDI
facebook

Od STRAŠNE BOLESTI koja je uzela Masima, u Srbiji godišnje UMRE 4.600 LJUDI

Hirurško lečenje, hemio i radioterapija, kao i genska i imunoterapija, omogućvaju da ova bolest ima hroničan tok

24.12.2022

Vesti
najnovije

AMBASADOR SRBIJE IZ BERNA EKSKLUZIVNO ZA K1INFO: Troje Srba u kritičnom stanju, misterija dvojnih državljanstava otežava potragu

Vesti
AMBASADOR SRBIJE IZ BERNA EKSKLUZIVNO ZA K1INFO: Troje Srba u kritičnom stanju, misterija dvojnih državljanstava otežava potragu

STEFANOVA PORODICA POSLALA DNK UZORAK U ŠVAJCARSKU: U bolnici su 3 neidentifikovana mladića, rodbina se nada da je sve dobro...

Vesti
STEFANOVA PORODICA POSLALA DNK UZORAK U ŠVAJCARSKU: U bolnici su 3 neidentifikovana mladića, rodbina se nada da je sve dobro...

EKSPLOZIJE ODJEKNULE NOVIM SADOM! Buknuo požar, uznemireni građani odmah zvali policiju - evo šta se desilo! (VIDEO)

Vesti
EKSPLOZIJE ODJEKNULE NOVIM SADOM! Buknuo požar, uznemireni građani odmah zvali policiju - evo šta se desilo! (VIDEO)

MINISTARSTVO: Obezbedićemo studentima Megatrenda nastavak studija na drugim ustanovama

Vesti
MINISTARSTVO: Obezbedićemo studentima Megatrenda nastavak studija na drugim ustanovama

UBIO ČOVEKA ZA NOVU GODINU, PA SVE NEGIRAO: Jezivi detalji istrage protiv Aleksandra L. – evo kolika mu kazna preti!

Vesti
UBIO ČOVEKA ZA NOVU GODINU, PA SVE NEGIRAO: Jezivi detalji istrage protiv Aleksandra L. – evo kolika mu kazna preti!
najčitanije
POZNATO KO JE MUŠKARAC KOJI SE BACIO SA ZGRADE U BEOGRADU Devojka preminula pred njim, evo šta se dešavalo u stanu
facebook

POZNATO KO JE MUŠKARAC KOJI SE BACIO SA ZGRADE U BEOGRADU Devojka preminula pred njim, evo šta se dešavalo u stanu

pre 23 sata

Hronika
PROVERITE RAČUNE, STIŽE ISPLATA! Siniša Mali na početku godine obradovao ovu grupu građana (FOTO)
facebook

PROVERITE RAČUNE, STIŽE ISPLATA! Siniša Mali na početku godine obradovao ovu grupu građana (FOTO)

pre 6 sati

Čuvarkuća
ON JE SAM RENOVIRAO "BAR SMRTI", A SADA BRIŠU DOKAZE: Ko je par sa Korzike u čijem je lokalu stradalo 47 ljudi?
facebook

ON JE SAM RENOVIRAO "BAR SMRTI", A SADA BRIŠU DOKAZE: Ko je par sa Korzike u čijem je lokalu stradalo 47 ljudi?

pre 6 sati

Svet
OVO JE SRBIN KOJI JE BIO U DISKOTECI SMRTI U ŠVAJCARSKOJ Od Stefana ni traga ni glasa, porodica očajna (VIDEO)
facebook

OVO JE SRBIN KOJI JE BIO U DISKOTECI SMRTI U ŠVAJCARSKOJ Od Stefana ni traga ni glasa, porodica očajna (VIDEO)

pre 21 sat

Svet
UMRLA TOKOM INTIMNOG ODNOSA! Jezivi detalji tragedije u centru Beograda, ovo budi jezu
facebook

UMRLA TOKOM INTIMNOG ODNOSA! Jezivi detalji tragedije u centru Beograda, ovo budi jezu

pre 4 sata

Hronika
vremenska prognoza

Beograd

Vedro nebo

icon

8°C

Min temp: 0 °C

Max temp: 8 °C

Vetar: 4 m/s

Vlažnost: 59 %

Novi Sad

Mestimično oblačno

icon

6°C

Min temp: 1 °C

Max temp: 10 °C

Vetar: 4 m/s

Vlažnost: 70 %

Niš

Mestimično oblačno

icon

6°C

Min temp: -3 °C

Max temp: 5 °C

Vetar: 2 m/s

Vlažnost: 45 %

Vesti
AMBASADOR SRBIJE IZ BERNA EKSKLUZIVNO ZA K1INFO: Troje Srba u kritičnom stanju, misterija dvojnih državljanstava otežava potragu
facebook

AMBASADOR SRBIJE IZ BERNA EKSKLUZIVNO ZA K1INFO: Troje Srba u kritičnom stanju, misterija dvojnih državljanstava otežava potragu

pre 6 minuta

Svet
STEFANOVA PORODICA POSLALA DNK UZORAK U ŠVAJCARSKU: U bolnici su 3 neidentifikovana mladića, rodbina se nada da je sve dobro...
facebook

STEFANOVA PORODICA POSLALA DNK UZORAK U ŠVAJCARSKU: U bolnici su 3 neidentifikovana mladića, rodbina se nada da je sve dobro...

pre 9 minuta

Svet
EKSPLOZIJE ODJEKNULE NOVIM SADOM! Buknuo požar, uznemireni građani odmah zvali policiju - evo šta se desilo! (VIDEO)
facebook

EKSPLOZIJE ODJEKNULE NOVIM SADOM! Buknuo požar, uznemireni građani odmah zvali policiju - evo šta se desilo! (VIDEO)

pre 38 minuta

Srbija
MINISTARSTVO: Obezbedićemo studentima Megatrenda nastavak studija na drugim ustanovama
facebook

MINISTARSTVO: Obezbedićemo studentima Megatrenda nastavak studija na drugim ustanovama

pre 42 minuta

Srbija
PORUKA ZA STRADALOG MATEA RASPLAKALA SRBIJU Drugari iz osnovne škole neutešni nakon tragedije na vodopadu Tupavica
facebook

PORUKA ZA STRADALOG MATEA RASPLAKALA SRBIJU Drugari iz osnovne škole neutešni nakon tragedije na vodopadu Tupavica

27.08.2025

video
KAKO SE PRAVILNO PRIČEŠĆUJE? Evo šta poručuje veroučiteljka pred završetak Gospojinskog posta!
facebook

KAKO SE PRAVILNO PRIČEŠĆUJE? Evo šta poručuje veroučiteljka pred završetak Gospojinskog posta!

Mnogi nakon pričešća odmah napuste hram, a ima i onih koji u crkvu dolaze samo da se pričeste i odu.

27.08.2025

VERA I TRADICIJA
RODITELJI, STIGLE PARE Sjajne vesti za žitelje ovog srpskog grada, treba vam samo lična karta da ih podignete
facebook

RODITELJI, STIGLE PARE Sjajne vesti za žitelje ovog srpskog grada, treba vam samo lična karta da ih podignete

27.08.2025

Čuvarkuća
EVO KOGA MRZE SVE OBOŽAVATELJKE ALKARAZA Španac otkrio ko ga je ošišao na nularicu
facebook

EVO KOGA MRZE SVE OBOŽAVATELJKE ALKARAZA Španac otkrio ko ga je ošišao na nularicu

27.08.2025

Tenis
DRASTIČNA PROMENA KOJU JE UVELA UEFA Stari način žreba ide u istoriju, od sada sve digitalno
facebook

DRASTIČNA PROMENA KOJU JE UVELA UEFA Stari način žreba ide u istoriju, od sada sve digitalno

27.08.2025

Fudbal
POŽAR U VRTIĆU NA VOŽDOVCU Deca i zaposleni evakuisani
facebook

POŽAR U VRTIĆU NA VOŽDOVCU Deca i zaposleni evakuisani

27.08.2025

Hronika
SINIŠA MALI ZA ROĐENDAN DOBIO NAJNOVIJI MODEL NIKE PATIKA Evo koliko koštaju i zašto su posebne (VIDEO)
facebook

SINIŠA MALI ZA ROĐENDAN DOBIO NAJNOVIJI MODEL NIKE PATIKA Evo koliko koštaju i zašto su posebne (VIDEO)

27.08.2025

Lepota/Moda
EVO KOGA MATIĆ DOVODI U JEDINSTVO Prvi čovek kluba sa Uba dovodi sina legendarnog napadača Čelsija
facebook

EVO KOGA MATIĆ DOVODI U JEDINSTVO Prvi čovek kluba sa Uba dovodi sina legendarnog napadača Čelsija

27.08.2025

Fudbal
POSLE 50 GODINA OTKRIVEN AUTO IZ SNOVA U STAROJ GARAŽI Da li znate za model Lamborghini Miura SV?
facebook

POSLE 50 GODINA OTKRIVEN AUTO IZ SNOVA U STAROJ GARAŽI Da li znate za model Lamborghini Miura SV?

27.08.2025

Automobili
ŠTA OBUĆI NA SVADBU U SEPTEMBRU ZA MANJE OD 5.000 DINARA Ove haljine oduzimaju dah, a ne probijaju budžet (FOTO)
facebook

ŠTA OBUĆI NA SVADBU U SEPTEMBRU ZA MANJE OD 5.000 DINARA Ove haljine oduzimaju dah, a ne probijaju budžet (FOTO)

27.08.2025

Lepota/Moda
VREME
STIŽE APOKALIPSA U OVAJ DEO SRBIJE! RHMZ hitno upozorio: Sneg do 20 cm i ledena kiša napraviće haos
facebook

STIŽE APOKALIPSA U OVAJ DEO SRBIJE! RHMZ hitno upozorio: Sneg do 20 cm i ledena kiša napraviće haos

pre 4 sata

Vesti
DANAS PROMENLJIVO, ALI OSETNO TOPLIJE U jednom regionu do 15 stepeni
facebook

DANAS PROMENLJIVO, ALI OSETNO TOPLIJE U jednom regionu do 15 stepeni

pre 12 sati

Vesti
EVO KAKVO NAS VREME ČEKA U PRVIM DANIMA 2026! RHMZ već za vikend najavio veliki preokret
facebook

EVO KAKVO NAS VREME ČEKA U PRVIM DANIMA 2026! RHMZ već za vikend najavio veliki preokret

01.01.2026

Vesti
PRVOG DANA U 2026. JUTRO HLADNO Od podneva uglavnom sunčano, tako da će moći da se prošeta
facebook

PRVOG DANA U 2026. JUTRO HLADNO Od podneva uglavnom sunčano, tako da će moći da se prošeta

01.01.2026

Vesti
DANAS SE TOPLO OBUCITE! Evo kakvo nas vreme očekuje poslednjeg dana u 2025. godini
facebook

DANAS SE TOPLO OBUCITE! Evo kakvo nas vreme očekuje poslednjeg dana u 2025. godini

31.12.2025

Vesti
KAKVO NAS VREME ČEKA I DA LI ĆE ZA DOČEK BITI SNEGA? Meteorolog Sovilj otklonio dilemu
facebook

KAKVO NAS VREME ČEKA I DA LI ĆE ZA DOČEK BITI SNEGA? Meteorolog Sovilj otklonio dilemu

30.12.2025

Vesti
CRKVA KOJA JE PREŽIVELA POŽARE, RATOVE I ISTORIJU Čudesna priča o hramu Konstantina i Jelene koji i dalje stoji u Koceljevi
facebook

CRKVA KOJA JE PREŽIVELA POŽARE, RATOVE I ISTORIJU Čudesna priča o hramu Konstantina i Jelene koji i dalje stoji u Koceljevi

pre 2 sata

foto
OVDE SE ODIGRAVALA DRAMA KAKVU MODERNI SVET NE POZNAJE Ušli smo u najočuvaniji rimski amfiteatar u El Džemu (VIDEO/FOTO)
facebook

OVDE SE ODIGRAVALA DRAMA KAKVU MODERNI SVET NE POZNAJE Ušli smo u najočuvaniji rimski amfiteatar u El Džemu (VIDEO/FOTO)

pre 7 sati

Reportaža
POSLE SEDAM GODINA PAO SNEG U PODGORICI! Zabeleo se još jedan grad, a evo šta se dešava na primorju (FOTO/VIDEO)
facebook

POSLE SEDAM GODINA PAO SNEG U PODGORICI! Zabeleo se još jedan grad, a evo šta se dešava na primorju (FOTO/VIDEO)

pre 8 sati

Region
NA PLAŽI U RIJU NOVU GODINU DOČEKALO 2,6 MILIONA LJUDI! Spektakularna Kopakabana i novi Ginisov rekord (FOTO + VIDEO)
facebook

NA PLAŽI U RIJU NOVU GODINU DOČEKALO 2,6 MILIONA LJUDI! Spektakularna Kopakabana i novi Ginisov rekord (FOTO + VIDEO)

pre 18 sati

Svet
OVO JE SRBIN KOJI JE BIO U DISKOTECI SMRTI U ŠVAJCARSKOJ Od Stefana ni traga ni glasa, porodica očajna (VIDEO)
facebook

OVO JE SRBIN KOJI JE BIO U DISKOTECI SMRTI U ŠVAJCARSKOJ Od Stefana ni traga ni glasa, porodica očajna (VIDEO)

pre 21 sat

Svet
ZNATE LI ŠTA JE KRAMPUSLAUF? K1info vas vodi na mesto gde vas rogata bića love i kažnjavaju (FOTO/VIDEO)
facebook

ZNATE LI ŠTA JE KRAMPUSLAUF? K1info vas vodi na mesto gde vas rogata bića love i kažnjavaju (FOTO/VIDEO)

01.01.2026

Reportaža
"ULICA OTVORENOG SRCA" PONOVO OKUPILA BEOGRAĐANE Počela omiljena praznična manifestacija (VIDEO/FOTO)
facebook

"ULICA OTVORENOG SRCA" PONOVO OKUPILA BEOGRAĐANE Počela omiljena praznična manifestacija (VIDEO/FOTO)

01.01.2026

Beograd
SRBIN U TROPSKOM RAJU Nikola Ranković za K1info otkriva kako se živi i zarađuje bez stresa na Tajlandu (FOTO)
facebook

SRBIN U TROPSKOM RAJU Nikola Ranković za K1info otkriva kako se živi i zarađuje bez stresa na Tajlandu (FOTO)

Puket, ostrvo luksuza gde su tropske plaže i kristalno čista voda svakodnevica

01.01.2026

Reportaža
RADONJIĆ I NEDOVIĆ ZAPALILI ATINU! Pogledajte sa kakvim su lepoticama dočekali Novu godinu, sve pršti od luksuza (FOTO)
facebook

RADONJIĆ I NEDOVIĆ ZAPALILI ATINU! Pogledajte sa kakvim su lepoticama dočekali Novu godinu, sve pršti od luksuza (FOTO)

01.01.2026

Time Out
"BAR JE IMAO SAMO JEDAN IZLAZ!" Jezivo svedočenje bivšeg gosta luksuznog skijališta u kom je došlo do eksplozije (FOTO)
facebook

"BAR JE IMAO SAMO JEDAN IZLAZ!" Jezivo svedočenje bivšeg gosta luksuznog skijališta u kom je došlo do eksplozije (FOTO)

01.01.2026

Svet
NAJMANJE 10 MRTVIH Tužni prizori posle eksplozije u luksuznom skijalištu, a zbog ovoga svi strahuju (FOTO/VIDEO)
facebook

NAJMANJE 10 MRTVIH Tužni prizori posle eksplozije u luksuznom skijalištu, a zbog ovoga svi strahuju (FOTO/VIDEO)

01.01.2026

Svet
ZVEZDA ĆE BITI TAMO GDE PRIPADA! Stefan Leković za K1 otkrio zašto veruje u preokret crveno-belih, pa pomenuo novog trenera
facebook

ZVEZDA ĆE BITI TAMO GDE PRIPADA! Stefan Leković za K1 otkrio zašto veruje u preokret crveno-belih, pa pomenuo novog trenera

Sa igračima poput Stefana Lekovića, koji razumeju težinu dresa i veruju u proces, crveno-beli u novu godinu ulaze sa razlogom za optimizam

01.01.2026

Fudbal
KAKO JE BITI NAJLEPŠA ŽENA SRPSKOG FUDBALA Sanja Beba Kružević za K1 bez dlake na jeziku: "U ovom poslu moraš da se dokazuješ..."
facebook

KAKO JE BITI NAJLEPŠA ŽENA SRPSKOG FUDBALA Sanja Beba Kružević za K1 bez dlake na jeziku: "U ovom poslu moraš da se dokazuješ..."

Kao PR jednog od najvećih srpskih klubova, Sanja Beba Kružević iz prve ruke za naš portal svedoči koliko su kontinuitet i ozbiljan pristup važni za dugoročni uspeh

01.01.2026

Time Out
POGLED KOJI OSTAVLJA BEZ DAHA! K1info vas vodi do Vrdničke kule, a evo zašto je prvi istorijski dragulj (FOTO/VIDEO)
facebook

POGLED KOJI OSTAVLJA BEZ DAHA! K1info vas vodi do Vrdničke kule, a evo zašto je prvi istorijski dragulj (FOTO/VIDEO)

01.01.2026

Reportaža
ANDREJ KOSTIĆ U 2026. IMA SAMO JEDNU ŽELJU Za K1 otkrio najteži trenutak u Partizanu, pa poslao snažnu poruku navijačima
facebook

ANDREJ KOSTIĆ U 2026. IMA SAMO JEDNU ŽELJU Za K1 otkrio najteži trenutak u Partizanu, pa poslao snažnu poruku navijačima

Kostić za naš portal sumira svoje prve mesece u crno-belom dresu, otkriva trenutke koje pamti i ciljeve koji su pred njim

01.01.2026

Fudbal
SVE STOJI! KATAKLIZMA U BEOGRADU PRED NOVU GODINU: Na ovoj deonici se mili skoro 8 kilometara (FOTO)
facebook

SVE STOJI! KATAKLIZMA U BEOGRADU PRED NOVU GODINU: Na ovoj deonici se mili skoro 8 kilometara (FOTO)

31.12.2025

Beograd
CENTAR BEOGRADA PUST, JEDNA TAČKA IPAK "GORI" Pogledajte kakvo je stanje u saobraćaju pred Novu godinu (FOTO)
facebook

CENTAR BEOGRADA PUST, JEDNA TAČKA IPAK "GORI" Pogledajte kakvo je stanje u saobraćaju pred Novu godinu (FOTO)

31.12.2025

Beograd
DRUGI DAN KASNE VOZOVI KROZ TUNEL ISPOD LAMANŠA: Putnici očajni, satima su zaglavljeni - katastrofi se ne nazire kraj (FOTO)
facebook

DRUGI DAN KASNE VOZOVI KROZ TUNEL ISPOD LAMANŠA: Putnici očajni, satima su zaglavljeni - katastrofi se ne nazire kraj (FOTO)

31.12.2025

Svet
HAVARIJA U KENTAKIJU! Voz iskočio iz šina, curele opasne materije, meštani dobili posebno naređenje (FOTO)
facebook

HAVARIJA U KENTAKIJU! Voz iskočio iz šina, curele opasne materije, meštani dobili posebno naređenje (FOTO)

30.12.2025

Svet
PRIZORI KOJI SU RAZNEŽILI SRBIJU! Porfirije ugostio osnovce iz Novih Kozaraca, pa im uputio očinsku pouku (FOTO)
facebook

PRIZORI KOJI SU RAZNEŽILI SRBIJU! Porfirije ugostio osnovce iz Novih Kozaraca, pa im uputio očinsku pouku (FOTO)

30.12.2025

Srbija
Zdravlje
JEDNO PITANJE DANAS MOŽE DA VAM PROMENI ŽIVOT Psihijatar za K1 INFO otkriva kako da postavite prioritete u 2026.
facebook

JEDNO PITANJE DANAS MOŽE DA VAM PROMENI ŽIVOT Psihijatar za K1 INFO otkriva kako da postavite prioritete u 2026.

01.01.2026

Vesti
OPASAN VIRUS NE POSUSTAJE, GRIP POTVRĐEN U 19 OKRUGA! Oglasio se "Batut" o epidemiološkoj situaciji u Srbiji
facebook

OPASAN VIRUS NE POSUSTAJE, GRIP POTVRĐEN U 19 OKRUGA! Oglasio se "Batut" o epidemiološkoj situaciji u Srbiji

31.12.2025

Vesti
NOVI LEKOVI NA LISTI RFZO Evo za koja oboljenja su namenjeni
facebook

NOVI LEKOVI NA LISTI RFZO Evo za koja oboljenja su namenjeni

31.12.2025

Vesti
SVE VIŠE LJUDI BIRA SAMOĆU U NOVOGODIŠNJOJ NOĆI Alarmirali se psiholozi, evo šta kažu o novom "trendu"
facebook

SVE VIŠE LJUDI BIRA SAMOĆU U NOVOGODIŠNJOJ NOĆI Alarmirali se psiholozi, evo šta kažu o novom "trendu"

31.12.2025

Vesti
K1
  • Vesti
  • VREME
  • Zdravlje
  • Ekonomija
  • Sport
  • Showbizz
  • Priče
  • Slobodno vreme
  • Fun Box
  • Kultura i umetnost
  • Pravila korišćenja
  • Impressum
  • O nama
  • Tanjug TV program
  • Marketing
  • Kontakt

Tel: 011 33 47 049

Email: redakcija@k1info.rs

Adresa: Dečanska 12, Beograd, Srbija

Pratite nas

facebook link icon instagram link icon youtube link icon

©2026 K1. Sva prava zadržana