Tanjug
live Bella
  • najnovije
  • Vesti
    • Srbija
    • Beograd
    • Politika
    • Hronika
    • Region
    • Svet
  • VREME
  • Bella
  • Zdravlje
  • Ekonomija
    • Čuvarkuća
    • Biznis
    • Banke
  • Sport
    • Fudbal
    • Košarka
    • EP U VATERPOLU 2026
    • Tenis
    • Ostali sportovi
    • Time Out
    • EUROBASKET 2025
    • Olimpijske igre
  • Showbizz
    • Prvi Red
    • Balkan
    • Celebrity
    • Display
    • Svet
    • KATEDRA ZA ŠOU-BIZNIS
    • EVROVIZIJA 2026
  • Priče
    • Reportaža
    • Green World
    • Sudbine
    • Avantura
    • STAV
  • Fun Box
    • Misterije
    • ZANIMLJIVOSTI
    • Nećete verovati
    • Putovanja
    • Tehnologija
    • Automobili
  • Kultura i umetnost
    • Muzika
    • Knjige
    • Art
    • Pozorište
    • Film/Serija
    • MOJA TELEVIZIJA

Pratite nas

facebook link icon instagram link icon youtube link icon
  • Najnovije
  • vremenska prognoza
  • Vaterpolo
  • vesti
  • Aleksandar Vučić
  • Crvena zvezda
  • Partizan
  • penzije
  • sport
  • K1 tv program
  • Tanjug tv program
K1TV Live Tanjug Live
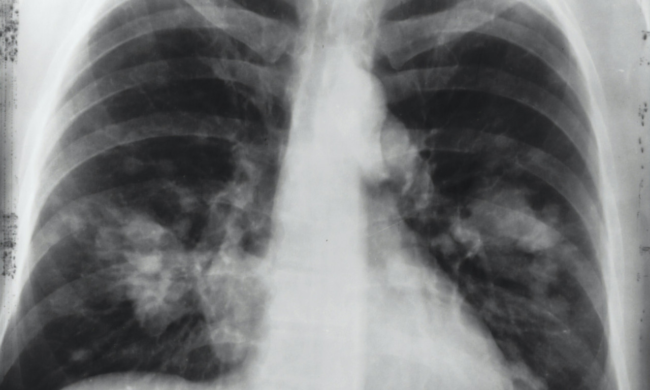
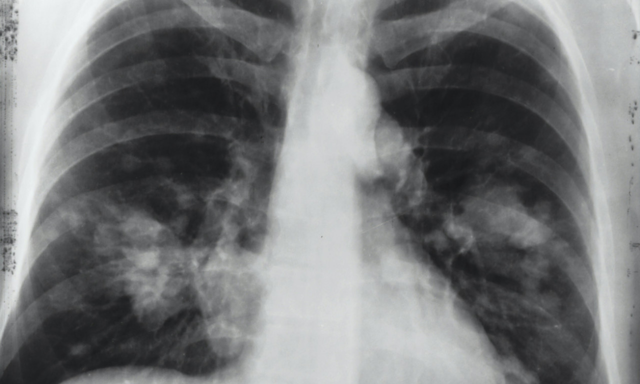
bolest
Od ove BOLESTI je umro BORA ĐORĐEVIĆ! DOKTORI objasnili koliko je opasna
facebook

Od ove BOLESTI je umro BORA ĐORĐEVIĆ! DOKTORI objasnili koliko je opasna

Ova bolest predstavlja značajan problem u celom svetu, jer su njena učestalost i posledice u stalnom prastu

05.09.2024

Vesti
NOVI DETALJI O STANJU BORE ČORBE! Supruga je po ceo dan sa njim, prijatelji mu šalju glasovne poruke pune podrške
facebook

NOVI DETALJI O STANJU BORE ČORBE! Supruga je po ceo dan sa njim, prijatelji mu šalju glasovne poruke pune podrške

Posete strogo zabranjene, ali njegovoj ženi su dozvolili da kod njega ode kad kod poželi i ostaje koliko želi

02.09.2024

Balkan
IZLILA SE KANALIZACIJA! BOLESTI SE šire brzinom svetlosti u Gazi!
facebook

IZLILA SE KANALIZACIJA! BOLESTI SE šire brzinom svetlosti u Gazi!

Bolesti se šire Pojasom Gaze nakon izlivanja kanalizacije

26.08.2024

Svet
BORA ČORBA otkazao sve KONCERTE zbog ZDRAVSTVENOG STANJA! Oglasio se bend i poslao SNAŽNU PORUKU
facebook

BORA ČORBA otkazao sve KONCERTE zbog ZDRAVSTVENOG STANJA! Oglasio se bend i poslao SNAŽNU PORUKU

Zabrinuti fanovi, poželeli su Bori brz oporavak

20.08.2024

Celebrity
Direktorka BATUTA otkrila prete li MAJMUNSKE BOGINJE Srbiji: Evo kako prepoznati zarazu
facebook

Direktorka BATUTA otkrila prete li MAJMUNSKE BOGINJE Srbiji: Evo kako prepoznati zarazu

"Batut" ima stalni epidemiološki nadzor nad majmunskim boginjama od 2022. godine, rekla je Verica Jovanović

19.08.2024

Srbija
SI ĐINPING DOŽIVEO MOŽDANI UDAR? Mreže se usijale
facebook

SI ĐINPING DOŽIVEO MOŽDANI UDAR? Mreže se usijale

Još nije stigla zvanična potvrda

17.07.2024

Svet
"CRNA SMRT" se vratila: Ova bolest je u srednjem veku UBILA MILIONE, a sada se pojavila u Americi!
facebook

"CRNA SMRT" se vratila: Ova bolest je u srednjem veku UBILA MILIONE, a sada se pojavila u Americi!

Kuga je kod ljudi vrlo retka, kažu u Centru za kontrolu i prevenciju bolesti (CDC), a godišnje se zabeleži prosečno sedam slučajeva zaraze

06.07.2024

Svet
OVA BOLEST HARA SRBIJOM: Ambulante pune PACIJENATA sa NAJTEŽOM upalom!
facebook

OVA BOLEST HARA SRBIJOM: Ambulante pune PACIJENATA sa NAJTEŽOM upalom!

Metereopate kada nastupe ovakvi vremenski uslovi luče niži nivo endorfina, pa su samim tim nezadovoljniji i neraspoložni

05.07.2024

Srbija
DECA NE OBILAZE Kejt Midlton u BOLNICI: Šta KRIJE kraljevska porodica od JAVNOSTI?
facebook

DECA NE OBILAZE Kejt Midlton u BOLNICI: Šta KRIJE kraljevska porodica od JAVNOSTI?

Naslednicima je zabranjeno da posećuju majku dok je na terapijama, razlog je opravdan

05.07.2024

Celebrity
PET DEČAKA, JEDNA BORBA! U SRBIJI je POKRENUTA VELIKA AKCIJA za obolelu decu od ove BOLESTI, evo o čemu je reč
facebook

PET DEČAKA, JEDNA BORBA! U SRBIJI je POKRENUTA VELIKA AKCIJA za obolelu decu od ove BOLESTI, evo o čemu je reč

Reč je naslednoj bolesti koja napada samo dečake, a ovo su simptomi

31.05.2024

Srbija
Kejt Midlton se NEĆE POJAVLJIVATI u javnosti do KRAJA GODINE!
facebook

Kejt Midlton se NEĆE POJAVLJIVATI u javnosti do KRAJA GODINE!

Princeza se povukla sa javnih dužnosti nakon što je 22. marta objavila da joj je dijagnostikovan oblik raka

25.05.2024

Svet
DRAMA SVETSKE ZVEZDE: Na ivici suza govorila o BOLESTI sa kojom se bori, trudi se svim silama da ponovo ZAPEVA (VIDEO)
facebook

DRAMA SVETSKE ZVEZDE: Na ivici suza govorila o BOLESTI sa kojom se bori, trudi se svim silama da ponovo ZAPEVA (VIDEO)

Sve ispričala u emotivnom dokumentarcu koji će uskoro biti objavljen.

24.05.2024

Celebrity
KRALJ ČARLS SE VRAĆA DUŽNOSTIMA! Evo šta su REKLI LEKARI!
facebook

KRALJ ČARLS SE VRAĆA DUŽNOSTIMA! Evo šta su REKLI LEKARI!

Nakon što mu je dijagnoza raka objavljena 6. februara, kralj je odložio sve javne angažmane

26.04.2024

Svet
OZBILJNO UPOZORENJE! Preti nova EPIDEMIJA zbog jednog insekta: "Biće sve više smrtnih slučajeva"
facebook

OZBILJNO UPOZORENJE! Preti nova EPIDEMIJA zbog jednog insekta: "Biće sve više smrtnih slučajeva"

Lekcije iz prethodnih epidemija naglašavaju važnost procene budućih rizika i pripreme za nepredviđene situacije

25.04.2024

Svet
Kada reagujemo STOMAKOM? Šta da radite kad su vam NERVOZNA CREVA? Ovo su dragoceni saveti gastroenterologa
facebook

Kada reagujemo STOMAKOM? Šta da radite kad su vam NERVOZNA CREVA? Ovo su dragoceni saveti gastroenterologa

Prof. dr Dragan Petrović kaže da za nervozna creva delom postoji i genetska predispozicija.

16.04.2024

Srbija
Doktori su joj rekli da je beba dobro, a njena INTUICIJA je govorila SUPROTNO! Tako je otkrila KRANIOSTENOZU kod ćerke
facebook

Doktori su joj rekli da je beba dobro, a njena INTUICIJA je govorila SUPROTNO! Tako je otkrila KRANIOSTENOZU kod ćerke

Majka je posmatrala dete i poslušala svoju intuiciju. Evo kakva su njena iskustva sa pomenutom dijagnozom

10.04.2024

Sudbine
Ova ZARAZNA BOLEST je EKSPLODIRALA u Evropi! Žarište je u našem najbližem KOMŠILUKU
facebook

Ova ZARAZNA BOLEST je EKSPLODIRALA u Evropi! Žarište je u našem najbližem KOMŠILUKU

Do naglog porasta je poslednjih meseci došlo i u Danskoj, Belgiji, Španiji, te i u Velikoj Britaniji.

09.04.2024

Region
Kamila u Šrusberiju: Kejt će biti oduševljena PODRŠKOM koju ima...evo šta je još poručeno
facebook

Kamila u Šrusberiju: Kejt će biti oduševljena PODRŠKOM koju ima...evo šta je još poručeno

Građani šalju poruke podrške princezi od Velsa

27.03.2024

Svet
Preminuo POZNATI general! Bolest je bila jača!
facebook

Preminuo POZNATI general! Bolest je bila jača!

Član klase astronauta NASA odabrane 1962, Staford je imao četiri leta u svemir

18.03.2024

Sudbine
Pojavila se SMRTONOSNA BOLEST koju prenose KOMARCI! Najugroženija su DECA, a već je potvrđen i PRVI SMRTNI SLUČAJ
facebook

Pojavila se SMRTONOSNA BOLEST koju prenose KOMARCI! Najugroženija su DECA, a već je potvrđen i PRVI SMRTNI SLUČAJ

Simptomi uključuju groznicu, pospanost, glavobolju, ukočenost vrata, mučninu i vrtoglavicu

18.03.2024

Svet
  • 6
  • 7
  • 8
najnovije

HAOS U NEMAČKOJ, RUMUN I GRK POKUŠALI SABOTAŽU VOJNIH BRODOVA Ovako nešto se ne pamti još od Drugog svetskog rata

Vesti
HAOS U NEMAČKOJ, RUMUN I GRK POKUŠALI SABOTAŽU VOJNIH BRODOVA Ovako nešto se ne pamti još od Drugog svetskog rata

"ZASLUŽILI SMO DA POBEDIMO" Penjaroja posle poraza od Makabija koji mnogo boli, evo šta je presudilo

Sport
"ZASLUŽILI SMO DA POBEDIMO" Penjaroja posle poraza od Makabija koji mnogo boli, evo šta je presudilo

SRBIN DIVLJAO PO AUTO-PUTU U CRNOJ GORI, ODMAH UHAPŠEN Drugi vozač priveden jer je bio pijan, evo šta kažu iz policije

Vesti
SRBIN DIVLJAO PO AUTO-PUTU U CRNOJ GORI, ODMAH UHAPŠEN Drugi vozač priveden jer je bio pijan, evo šta kažu iz policije

GLASOM PODSEĆA NA HARISA DŽINOVIĆA Marko Tadić o poređenju sa folk legendom

Showbizz
GLASOM PODSEĆA NA HARISA DŽINOVIĆA Marko Tadić o poređenju sa folk legendom

OVO JE ZVEZDIN RECEPT ZA POBEDU NAD HAPOELOM Obradović zadovoljan, otkrio šta je bilo ključno za preokret i trijumf

Sport
OVO JE ZVEZDIN RECEPT ZA POBEDU NAD HAPOELOM Obradović zadovoljan, otkrio šta je bilo ključno za preokret i trijumf
najčitanije
PORODILA SE MILICA TODOROVIĆ! Evo kog je pola beba
facebook

PORODILA SE MILICA TODOROVIĆ! Evo kog je pola beba

pre 11 sati

Balkan
ZDRAVKO ČOLIĆ NIJE BIO META? Priča se da je bomba bila namenjena ovom čoveku
facebook

ZDRAVKO ČOLIĆ NIJE BIO META? Priča se da je bomba bila namenjena ovom čoveku

pre 12 sati

Hronika
ER SRBIJA OBARA SVE REKORDE TOKOM PROMOTIVNE PONUDE! Evo kako da kupite jeftiniju kartu i do kada traje popust
facebook

ER SRBIJA OBARA SVE REKORDE TOKOM PROMOTIVNE PONUDE! Evo kako da kupite jeftiniju kartu i do kada traje popust

pre 9 sati

Biznis
EVO KAKO SE ZOVE SIN MILICE TODOROVIĆ Dečak dobio ime sa jakom simbolikom
facebook

EVO KAKO SE ZOVE SIN MILICE TODOROVIĆ Dečak dobio ime sa jakom simbolikom

pre 8 sati

Celebrity
OVO JE KUĆA ZDRAVKA ČOLIĆA NA KOJU JE BAČENA BOMBA Uništena fasada i automobil, evo šta smo zatekli ispred (FOTO+VIDEO)
facebook

OVO JE KUĆA ZDRAVKA ČOLIĆA NA KOJU JE BAČENA BOMBA Uništena fasada i automobil, evo šta smo zatekli ispred (FOTO+VIDEO)

pre 13 sati

Hronika
vremenska prognoza

Beograd

Umerena kiša

icon

3°C

Min temp: 2 °C

Max temp: 8 °C

Vetar: 7 m/s

Vlažnost: 76 %

Novi Sad

Mestimično oblačno

icon

2°C

Min temp: 3 °C

Max temp: 7 °C

Vetar: 4 m/s

Vlažnost: 95 %

Niš

Vedro nebo

icon

4°C

Min temp: 2 °C

Max temp: 9 °C

Vetar: 4 m/s

Vlažnost: 75 %

Vesti
HAOS U NEMAČKOJ, RUMUN I GRK POKUŠALI SABOTAŽU VOJNIH BRODOVA Ovako nešto se ne pamti još od Drugog svetskog rata
facebook

HAOS U NEMAČKOJ, RUMUN I GRK POKUŠALI SABOTAŽU VOJNIH BRODOVA Ovako nešto se ne pamti još od Drugog svetskog rata

pre 1 sat

Svet
SRBIN DIVLJAO PO AUTO-PUTU U CRNOJ GORI, ODMAH UHAPŠEN Drugi vozač priveden jer je bio pijan, evo šta kažu iz policije
facebook

SRBIN DIVLJAO PO AUTO-PUTU U CRNOJ GORI, ODMAH UHAPŠEN Drugi vozač priveden jer je bio pijan, evo šta kažu iz policije

pre 1 sat

Region
KO JE BIO SIN MOAMERA GADAFIJA KOJI JE UBIJEN? Od očiglednog naslednika do lica sa poternice: "Mi se borimo u Libiji"
facebook

KO JE BIO SIN MOAMERA GADAFIJA KOJI JE UBIJEN? Od očiglednog naslednika do lica sa poternice: "Mi se borimo u Libiji"

pre 2 sata

Svet
BIVŠI MUŽ DŽIL BAJDEN OPTUŽEN ZA UBISTVO! Ubio sadašnju suprugu posle svađe, policija upala u dom i zatekla užas (FOTO)
facebook

BIVŠI MUŽ DŽIL BAJDEN OPTUŽEN ZA UBISTVO! Ubio sadašnju suprugu posle svađe, policija upala u dom i zatekla užas (FOTO)

pre 2 sata

Svet
PORUKA ZA STRADALOG MATEA RASPLAKALA SRBIJU Drugari iz osnovne škole neutešni nakon tragedije na vodopadu Tupavica
facebook

PORUKA ZA STRADALOG MATEA RASPLAKALA SRBIJU Drugari iz osnovne škole neutešni nakon tragedije na vodopadu Tupavica

27.08.2025

video
KAKO SE PRAVILNO PRIČEŠĆUJE? Evo šta poručuje veroučiteljka pred završetak Gospojinskog posta!
facebook

KAKO SE PRAVILNO PRIČEŠĆUJE? Evo šta poručuje veroučiteljka pred završetak Gospojinskog posta!

Mnogi nakon pričešća odmah napuste hram, a ima i onih koji u crkvu dolaze samo da se pričeste i odu.

27.08.2025

VERA I TRADICIJA
RODITELJI, STIGLE PARE Sjajne vesti za žitelje ovog srpskog grada, treba vam samo lična karta da ih podignete
facebook

RODITELJI, STIGLE PARE Sjajne vesti za žitelje ovog srpskog grada, treba vam samo lična karta da ih podignete

27.08.2025

Čuvarkuća
EVO KOGA MRZE SVE OBOŽAVATELJKE ALKARAZA Španac otkrio ko ga je ošišao na nularicu
facebook

EVO KOGA MRZE SVE OBOŽAVATELJKE ALKARAZA Španac otkrio ko ga je ošišao na nularicu

27.08.2025

Tenis
DRASTIČNA PROMENA KOJU JE UVELA UEFA Stari način žreba ide u istoriju, od sada sve digitalno
facebook

DRASTIČNA PROMENA KOJU JE UVELA UEFA Stari način žreba ide u istoriju, od sada sve digitalno

27.08.2025

Fudbal
POŽAR U VRTIĆU NA VOŽDOVCU Deca i zaposleni evakuisani
facebook

POŽAR U VRTIĆU NA VOŽDOVCU Deca i zaposleni evakuisani

27.08.2025

Hronika
SINIŠA MALI ZA ROĐENDAN DOBIO NAJNOVIJI MODEL NIKE PATIKA Evo koliko koštaju i zašto su posebne (VIDEO)
facebook

SINIŠA MALI ZA ROĐENDAN DOBIO NAJNOVIJI MODEL NIKE PATIKA Evo koliko koštaju i zašto su posebne (VIDEO)

27.08.2025

Lepota/Moda
EVO KOGA MATIĆ DOVODI U JEDINSTVO Prvi čovek kluba sa Uba dovodi sina legendarnog napadača Čelsija
facebook

EVO KOGA MATIĆ DOVODI U JEDINSTVO Prvi čovek kluba sa Uba dovodi sina legendarnog napadača Čelsija

27.08.2025

Fudbal
POSLE 50 GODINA OTKRIVEN AUTO IZ SNOVA U STAROJ GARAŽI Da li znate za model Lamborghini Miura SV?
facebook

POSLE 50 GODINA OTKRIVEN AUTO IZ SNOVA U STAROJ GARAŽI Da li znate za model Lamborghini Miura SV?

27.08.2025

Automobili
ŠTA OBUĆI NA SVADBU U SEPTEMBRU ZA MANJE OD 5.000 DINARA Ove haljine oduzimaju dah, a ne probijaju budžet (FOTO)
facebook

ŠTA OBUĆI NA SVADBU U SEPTEMBRU ZA MANJE OD 5.000 DINARA Ove haljine oduzimaju dah, a ne probijaju budžet (FOTO)

27.08.2025

Lepota/Moda
VREME
RHMZ IZDAO NAJNOVIJE UPOZORENJE Stiže novo nevreme, evo koji delovi Srbije su na udaru
facebook

RHMZ IZDAO NAJNOVIJE UPOZORENJE Stiže novo nevreme, evo koji delovi Srbije su na udaru

pre 6 sati

Vesti
NAD SRBIJOM SE UPRAVO NADVIJA OPASNA POJAVA! RHMZ upalio alarm - ovaj dan je ključan, stiže obrt
facebook

NAD SRBIJOM SE UPRAVO NADVIJA OPASNA POJAVA! RHMZ upalio alarm - ovaj dan je ključan, stiže obrt

pre 11 sati

Vesti
VREME POTPUNO ZBUNILO SRBIJU Evo gde je jutros najtoplije - tamo gde se to najmanje očekuje!
facebook

VREME POTPUNO ZBUNILO SRBIJU Evo gde je jutros najtoplije - tamo gde se to najmanje očekuje!

pre 16 sati

Vesti
JUTRO HLADNO, ALI U TOKU DANA TOPLIJE! Vreme u Srbiji će vas iznenaditi
facebook

JUTRO HLADNO, ALI U TOKU DANA TOPLIJE! Vreme u Srbiji će vas iznenaditi

pre 20 sati

Vesti
STIŽE LEDENA KIŠA U SRBIJU! Jedan deo Srbije će biti na udaru, evo kakvo vreme nas očekuje
facebook

STIŽE LEDENA KIŠA U SRBIJU! Jedan deo Srbije će biti na udaru, evo kakvo vreme nas očekuje

02.02.2026

Vesti
ALARMANTNA NAJAVA METEOROLOGA: Pred nama ekstremno otopljenje – spremite prolećne jakne, stiže temperaturni šok!
facebook

ALARMANTNA NAJAVA METEOROLOGA: Pred nama ekstremno otopljenje – spremite prolećne jakne, stiže temperaturni šok!

02.02.2026

Vesti
HERCEG NOVI POZIVA NA 57. PRAZNIK MIMOZE: Prvog vikenda velika fešta na rivijeri i nastupi regionalnih zvezda (FOTO)
facebook

HERCEG NOVI POZIVA NA 57. PRAZNIK MIMOZE: Prvog vikenda velika fešta na rivijeri i nastupi regionalnih zvezda (FOTO)

pre 6 sati

foto
PRVE REČI ZDRAVKA ČOLIĆA NAKON DRAME NA DEDINJU: Objasnio šta se desilo ispred vile
facebook

PRVE REČI ZDRAVKA ČOLIĆA NAKON DRAME NA DEDINJU: Objasnio šta se desilo ispred vile

pre 10 sati

Celebrity
UNIŠTENA I IMOVINA KOMŠIJE ZDRAVKA ČOLIĆA! Bomba napravila karambol na Dedinju, staklo i srča na sve strane (FOTO)
facebook

UNIŠTENA I IMOVINA KOMŠIJE ZDRAVKA ČOLIĆA! Bomba napravila karambol na Dedinju, staklo i srča na sve strane (FOTO)

pre 11 sati

Hronika
POTRESNE SCENE NA DEDINJU Čolina ćerka Lara utučena, sedi i drži se za glavu (FOTO)
facebook

POTRESNE SCENE NA DEDINJU Čolina ćerka Lara utučena, sedi i drži se za glavu (FOTO)

pre 11 sati

Celebrity
UNA ČOLIĆ STIGLA U KUĆU POSLE BOMBAŠKOG NAPADA Evo kako je kriju ispod jakne (VIDEO+FOTO)
facebook

UNA ČOLIĆ STIGLA U KUĆU POSLE BOMBAŠKOG NAPADA Evo kako je kriju ispod jakne (VIDEO+FOTO)

pre 12 sati

Hronika
OVO JE KUĆA ZDRAVKA ČOLIĆA NA KOJU JE BAČENA BOMBA Uništena fasada i automobil, evo šta smo zatekli ispred (FOTO+VIDEO)
facebook

OVO JE KUĆA ZDRAVKA ČOLIĆA NA KOJU JE BAČENA BOMBA Uništena fasada i automobil, evo šta smo zatekli ispred (FOTO+VIDEO)

pre 13 sati

Hronika
ČOLA SE SKORO VRATIO NA DEDINJE Evo zašto je prodao vilu na Košutnjaku i šta više nije mogao da izdrži
facebook

ČOLA SE SKORO VRATIO NA DEDINJE Evo zašto je prodao vilu na Košutnjaku i šta više nije mogao da izdrži

pre 13 sati

Celebrity
STRAŠAN PRIZOR NA NOVOM BEOGRADU Lančani sudar, troje povređenih (VIDEO, FOTO)
facebook

STRAŠAN PRIZOR NA NOVOM BEOGRADU Lančani sudar, troje povređenih (VIDEO, FOTO)

pre 15 sati

Hronika
PRVI POGLEDAJTE TREJLER ZA FILM O MAJKLU DŽEKSONU Zapanjiće vas ko glumi legendu, a evo kad stiže u bioskope (FOTO)
facebook

PRVI POGLEDAJTE TREJLER ZA FILM O MAJKLU DŽEKSONU Zapanjiće vas ko glumi legendu, a evo kad stiže u bioskope (FOTO)

pre 15 sati

Film/Serija
MEDALJA U SENCI USTAŠKIH POKLIČA! Ključala mržnja, orio se Tompson! Skandalozan doček hrvatskih rukometaša (FOTO)
facebook

MEDALJA U SENCI USTAŠKIH POKLIČA! Ključala mržnja, orio se Tompson! Skandalozan doček hrvatskih rukometaša (FOTO)

pre 17 sati

Region
SVI GLEDAJU U NJEGA, A VESTI NISU DOBRE: Čuveni mrmot Fil „presudio“ – evo da li će se zima produžiti (FOTO+VIDEO)
facebook

SVI GLEDAJU U NJEGA, A VESTI NISU DOBRE: Čuveni mrmot Fil „presudio“ – evo da li će se zima produžiti (FOTO+VIDEO)

02.02.2026

Svet
PRELOMNA ODLUKA VLADE! VMA ulazi u borbu sa listama čekanja za kukove i kolena? Macut otkrio plan (VIDEO)
facebook

PRELOMNA ODLUKA VLADE! VMA ulazi u borbu sa listama čekanja za kukove i kolena? Macut otkrio plan (VIDEO)

02.02.2026

Politika
UHVATILI SMO BOBU ŽIVOJINOVIĆA NA PIJACI! Suprug Lepe Brene kao sav normalan svet, jedna stvar posebno privlači pažnju (FOTO)
facebook

UHVATILI SMO BOBU ŽIVOJINOVIĆA NA PIJACI! Suprug Lepe Brene kao sav normalan svet, jedna stvar posebno privlači pažnju (FOTO)

02.02.2026

Balkan
"ČUDO JE DA NIKO NIJE POGINUO!" K1 info kod urušene zgrade u Džordža Vašingtona, jedan detalj budi jezu (FOTO+VIDEO)
facebook

"ČUDO JE DA NIKO NIJE POGINUO!" K1 info kod urušene zgrade u Džordža Vašingtona, jedan detalj budi jezu (FOTO+VIDEO)

02.02.2026

Beograd
SNEG OKOVAO ZAPAD SRBIJE! Temperatura ispod nule, ekipe na terenu celu noć – evo kakvo je stanje na putevima (FOTO+VIDEO)
facebook

SNEG OKOVAO ZAPAD SRBIJE! Temperatura ispod nule, ekipe na terenu celu noć – evo kakvo je stanje na putevima (FOTO+VIDEO)

02.02.2026

Srbija
ER SRBIJA OTVARA VRATA SVETA: ISKORISTITE POSEBNE POGODNOSTI ZA PUTOVANJA
facebook

ER SRBIJA OTVARA VRATA SVETA: ISKORISTITE POSEBNE POGODNOSTI ZA PUTOVANJA

02.02.2026

Čuvarkuća
PUNA KESA LEKOVA ZA ĐOKOVIĆA! Otkrivamo šta je Novak tražio od medicinskog tima tokom meča (FOTO)
facebook

PUNA KESA LEKOVA ZA ĐOKOVIĆA! Otkrivamo šta je Novak tražio od medicinskog tima tokom meča (FOTO)

01.02.2026

Tenis
OKUPACIJA MELBURNA - SRBI NIKAD JAČE UZ ĐOKOVIĆA! Prizori sve govore - Australijan open u bojama srpske trobojke (FOTO)
facebook

OKUPACIJA MELBURNA - SRBI NIKAD JAČE UZ ĐOKOVIĆA! Prizori sve govore - Australijan open u bojama srpske trobojke (FOTO)

01.02.2026

Tenis
VEROVALI U "NEPROBOJNU" APLIKACIJU, PA UHAPŠENI... Ovako je razbijena narko-mreža iz Kruševca sa 5 tona droge (FOTO)
facebook

VEROVALI U "NEPROBOJNU" APLIKACIJU, PA UHAPŠENI... Ovako je razbijena narko-mreža iz Kruševca sa 5 tona droge (FOTO)

01.02.2026

Hronika
ZANEMELI POSLE REKORDNE ZAPLENE MARIHUANE KOD KRUŠEVCA Detalji sa saslušanja, ovako je funkcionisala šema šverca
facebook

ZANEMELI POSLE REKORDNE ZAPLENE MARIHUANE KOD KRUŠEVCA Detalji sa saslušanja, ovako je funkcionisala šema šverca

31.01.2026

Hronika
Zdravlje
MARIJA JE IZGUBILA OBA RODITELJA, A NJEN MUŽ JE ZBOG PUŠENJA OSTAO BEZ NOGE! Priča koju nijedan pušač ne sme da propusti
facebook

MARIJA JE IZGUBILA OBA RODITELJA, A NJEN MUŽ JE ZBOG PUŠENJA OSTAO BEZ NOGE! Priča koju nijedan pušač ne sme da propusti

Potresna ispovest novinarke iz Beograda povodom Nacionalnog dana bez duvanskog dima

31.01.2026

Vesti
RODITELJI, OPREZ! Čak 93 odsto jabuka iz prodavnica bilo bi zabranjeno u hrani za bebe, a ovo je razlog
facebook

RODITELJI, OPREZ! Čak 93 odsto jabuka iz prodavnica bilo bi zabranjeno u hrani za bebe, a ovo je razlog

29.01.2026

Vesti
DA LI JE OVO KRAJ GUBITKA MIRISA POSLE KOVIDA? Nova metoda daje rezultate bez lekova i operacija
facebook

DA LI JE OVO KRAJ GUBITKA MIRISA POSLE KOVIDA? Nova metoda daje rezultate bez lekova i operacija

29.01.2026

Vesti
SVE VIŠE MLADIH GUBI SMISAO ŽIVOTA Kako prepoznati poziv u pomoć na vreme
facebook

SVE VIŠE MLADIH GUBI SMISAO ŽIVOTA Kako prepoznati poziv u pomoć na vreme

29.01.2026

Vesti
K1
  • Vesti
  • VREME
  • Zdravlje
  • Ekonomija
  • Sport
  • Showbizz
  • Priče
  • Slobodno vreme
  • Fun Box
  • Kultura i umetnost
  • Pravila korišćenja
  • Impressum
  • O nama
  • Tanjug TV program
  • Marketing
  • Kontakt

Tel: 011 33 47 049

Email: redakcija@k1info.rs

Adresa: Dečanska 12, Beograd, Srbija

Pratite nas

facebook link icon instagram link icon youtube link icon

©2026 K1. Sva prava zadržana