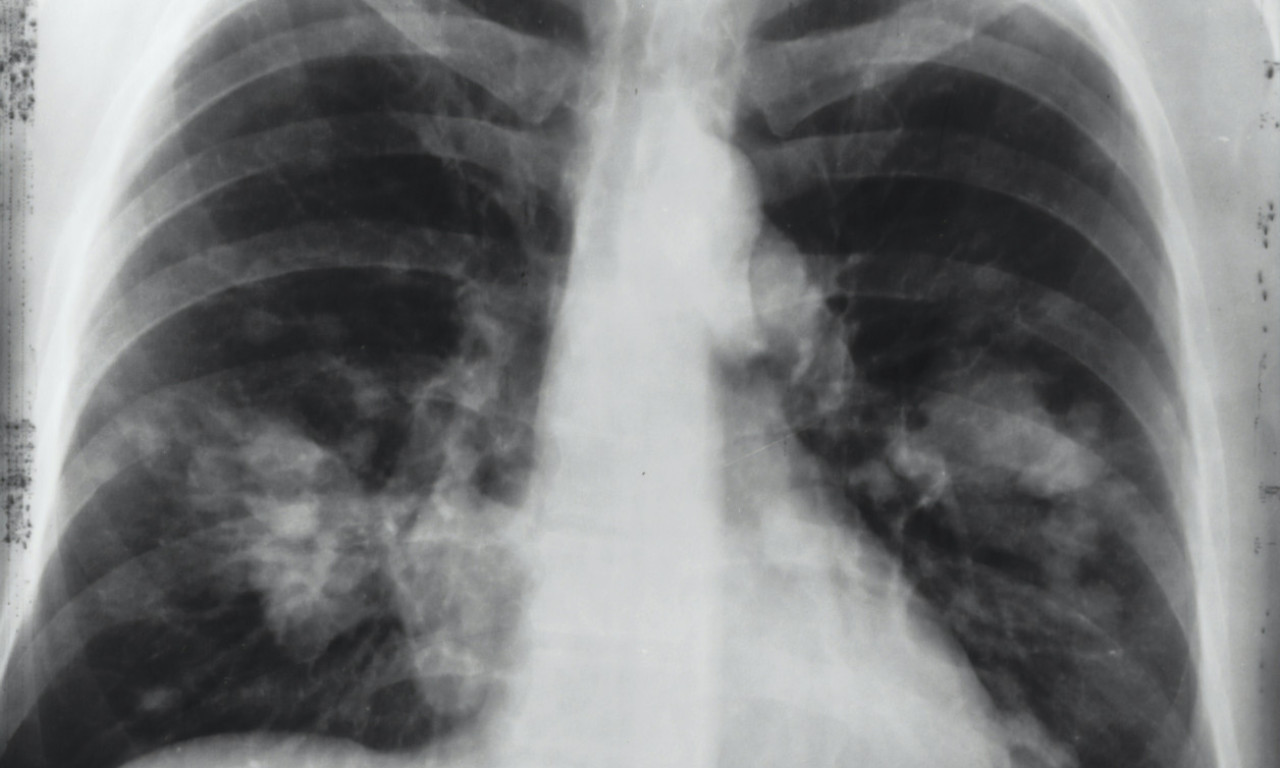
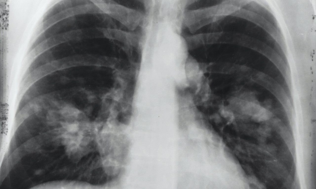
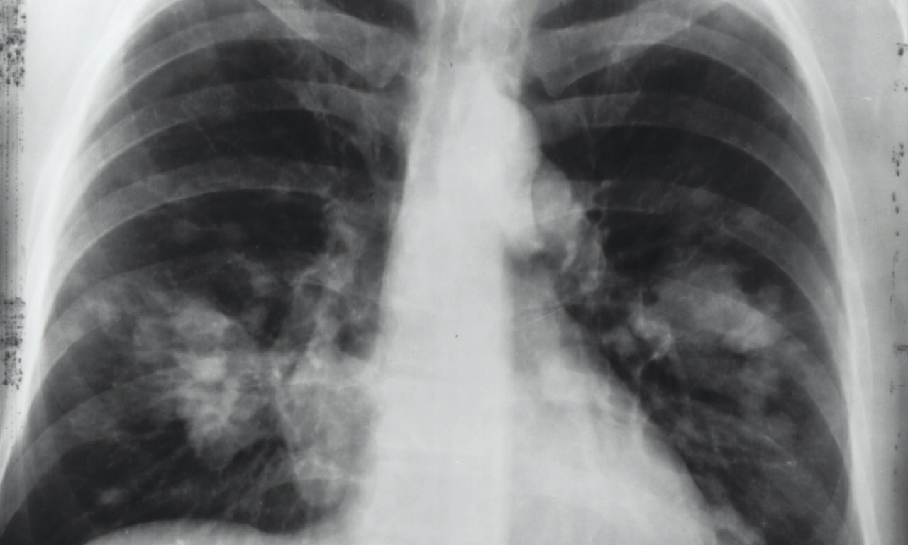
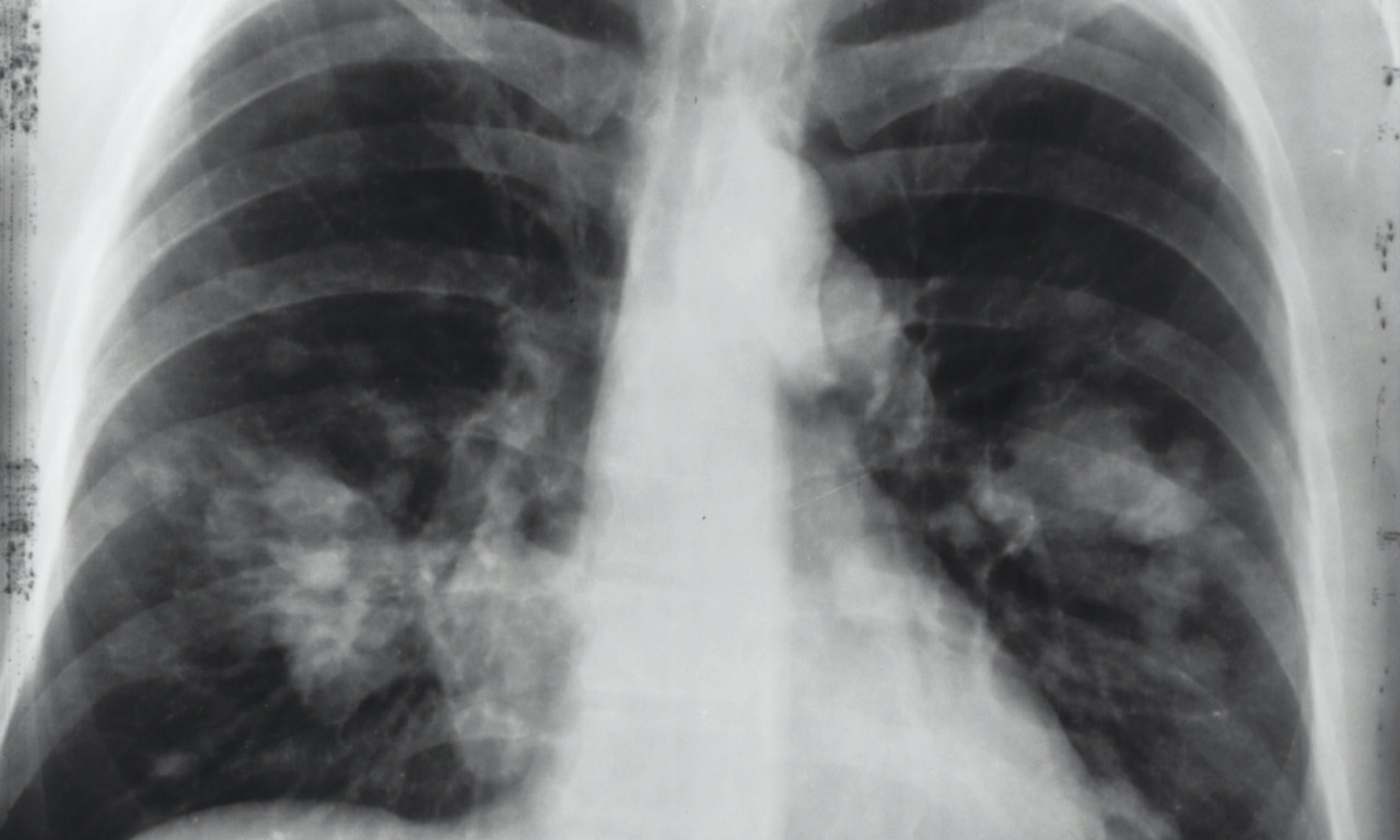
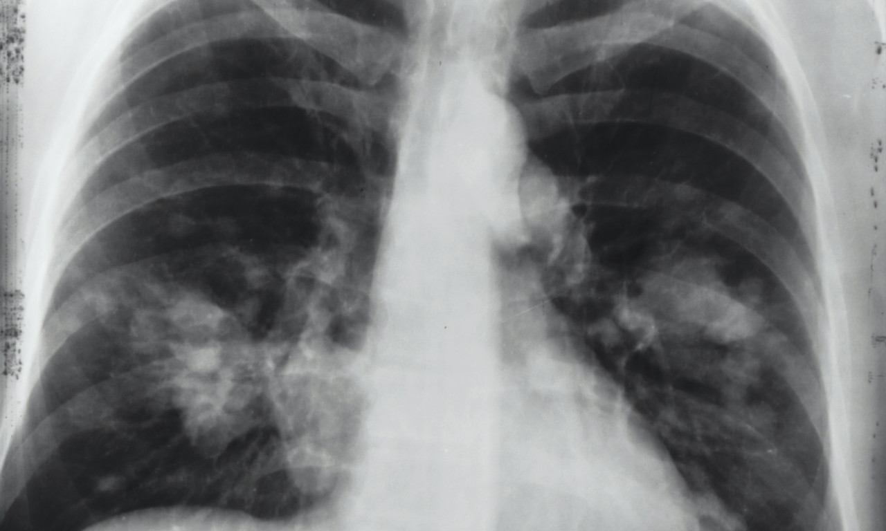
ALARMANTNI PODACI U SRBIJI! Od RAKA PLUĆA oboli 7.000 SRBA godišnje, što nas stavlja na drugo mesto u Evropi
Podatak koji ohrabruje je da se posle pojave prvih simptoma većina pacijenata odmah obrati lekaru
26.04.2024
SrbijaVesić je najavio i da će početkom decembra ove godine početi saobraćaj na brzoj pruzi do Subotice
podeli vest:
Goran Vesić, ministar građevinarstva, saobraćaja i infrastrukture izjavio je danas da je već prvog dana testiranja deonice brze pruge od Novog Sada do Subotice postignuta brzina od 202 kilometara na sat, čime je potvrđen kvalitet izgradnje te pruge.
On je na svom Instagramu naveo da je nemačka kompanija Dojče ban (DBST) koja testira brzu prugu od Novog Sada do Subotice, a koju Srbija gradi sa svojim kineskim partnerima, testirala u sredu deonicu te brze pruge.
Podatak koji ohrabruje je da se posle pojave prvih simptoma većina pacijenata odmah obrati lekaru
26.04.2024
SrbijaPored obične kiše, biće i sve više pljuskova
25.04.2024
SrbijaVesić je naglasio da su srpske brze pruge spoj kineske tehnologije i evropskih standarda i da su sve naše brze pruge izgrađene u potpunosti po evropskim standardima, u skladu sa direktivama EU i srpskim zakonom o interoperabilnosti železničkog saobraćaja.
- Brzu prugu koju sada gradimo od Novog Sada sertifikuje za standarde EU jedna od najvećih evropskih kompanija iz Holandije, a tehničku kontrolu i prijem radi ugledna nemačka kompanija Dojče ban - rekao je Vesić.
Foto: Youtube PrintScreen/K1 Televizija
Ministar je istakao i da je Srbija danas jedna od retkih zemalja Evrope u kojoj zajedno mogu da rade kineske, nemačke i holandske kompanije, zahvaljujući politici koju vodi predsednik Srbije Aleksandar Vučić.
Vesić je najavio i da će početkom decembra ove godine početi saobraćaj na brzoj pruzi do Subotice.
- Srbija će imati 183 kilometra brzih pruga. Od Beograda do Subotica stizaće se brzim vozom za 80 minuta, do Bačke Topole za 64 minuta, a do Vrbasa za 53 minuta - naveo je Vesić.
Stručnjaci kažu da je zabrinjavajuće jkoliko malo salate i voća unose deca
25.04.2024
SrbijaZa domaće lekare ovo je prilika da steknu nova znanja u cilju unapređenja dečijeg programa transplantacija bubrega sa živih donora u Srbiji
25.04.2024
SrbijaJasno je da je Beogradu potrebna nova aleja zaslužnih građana. Jedna od opcija je proširivanje Bežanijskog groblja
25.04.2024
SrbijaSigurno ste se nekad zapitali zbog čega vam je naplaćeno 100 ili 200 dinara više, a da vas banka o tome nije obavestila
25.04.2024
SrbijaDolazak plazme očekuje se u ranim jutarnjim satima, između 4 i 6 časova, dok bi sama magnetna oluja mogla da traje oko 10 sati
17.03.2026
Vesti
Ostavite komentar