UMRO BORA ČORBA! Legendarni roker preminuo u BOLNICI U LJUBLJANI!
Zvanična stranica grupe "Riblja čorba" objavila je vest o smrti rokera
podeli vest:
Legendarni roker, frontmen grupe "Riblja čorba", Bora Đorđević, preminuo je danas, 4. septembra, u 72. godini.
Bora je preminuo u bolnici u Ljubljani, gde je bio smešten zbog ozbiljnih problema koje je imao sa plućima.
Zvanična stranica grupe "Riblja čorba" objavila je vest o njegovoj smrti.
- Poštovani prijatelji, sa tugom i žalošću obaveštavamo vas da nas je napustio naš prijatelj i brat, Borisav Bora Đorđević. Počivaj u miru dragi naš Boki. Borisav Bora Đorđević. 01.11.1952- 04.09.2024 - piše u objavi.
BONUS VIDEO:
Uskoro opširnije na k1info.rs
NOVI DETALJI O STANJU BORE ČORBE! Supruga je po ceo dan sa njim, prijatelji mu šalju glasovne poruke pune podrške
Posete strogo zabranjene, ali njegovoj ženi su dozvolili da kod njega ode kad kod poželi i ostaje koliko želi
02.09.2024
BalkanNajnovije informacije o ZDRAVSTVENOM STANJU Bore Čorbe: "Lekari svakog dana govore da je stabilno..."
Borin menadžer Bane Obradović ispričao je da lekari daju sve od sebe da mu bude bolje
31.08.2024
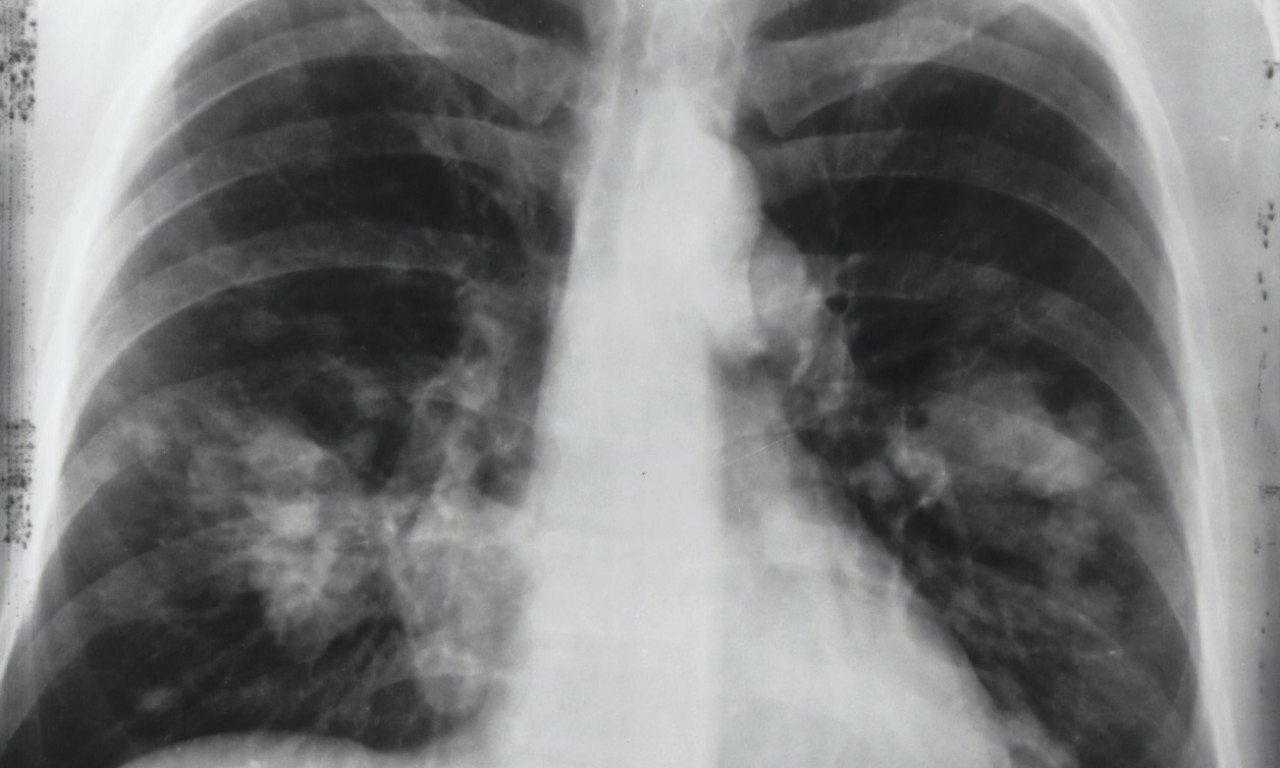
BalkanOd ove BOLESTI je umro BORA ĐORĐEVIĆ! DOKTORI objasnili koliko je opasna
Ova bolest predstavlja značajan problem u celom svetu, jer su njena učestalost i posledice u stalnom prastu
05.09.2024
VestiPredsednik VUČIĆ uputio reči podrške BORI ČORBI: "Legendo, DRŽI SE - CELA SRBIJA je uz tebe"
Frontmen grupe "Riblja čorba" hospitalizovan je zbog komplikacija uzrokovanih hroničnom obstruktivnom bolešću pluća
26.08.2024
SrbijaRASTE BROJ MRTVIH U POŽARU U DOMU PENZIONERA Svedok opisao prizor iz Tuzle: Ovo je nešto najpotresnije... (VIDEO)
Najmanje je 10 poginulih u velikom požaru u Domu penzionera u Tuzli.
pre 31 minut
RegionPROGNOZA ZA NAREDNIH 7 DANA DONOSI MRAZ I KIŠU Pogledajte kakvo će vreme biti po danima
Vremenska prognoza za narednih 7 dana u Srbiji: jutra hladna, sunčano u Vojvodini, ali biće i povremene kiše.
03.11.2025
VestiKIŠA, PLJUSKOVI I NAGLI PAD TEMPERATURE Pogledajte kada tačno nevreme stiže u vaš kraj (MAPA)
Najnovije upozorenje RHMZ odnosi se na lokalne pljuskove i nevreme koji će zahvatiti Srbiju, a nakon toga doći će i do pada temperature.
03.11.2025
Vesti
Ostavite komentar